相关产品推荐更多 >
万千商家帮你免费找货
0 人在求购买到急需产品
- 详细信息
- 文献和实验
- 技术资料
- 免疫原:
Livin antibody was raised with a synthetic peptide corresponding to amino acids 264 to 280 of. The short form and 281 to 298 of the long form of human Livin. This sequence is identical between a and b forms of the Livin proteins.
- 形态:
liquid
- 保存条件:
Store at -20˚C
- 克隆性:
Polyclonal
- 适应物种:
Human
- 保质期:
12 months
- 抗原来源:
Rabbit
- 供应商:
南京赛戈巍生物科技有限公司
- 宿主:
Rabbit
- 应用范围:
ELISA WB IHC
- 抗体英文名:
Livin Antibody
- 规格:
50ul/100ul
配方:Supplied in PBS containing 0.02% sodium azide.
应用详情:Predicted MW: 33 kd
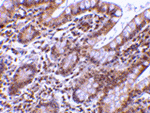
图片:

Western blot analysis of Livin expression in human Raji cell lysate with Livin antibody at 0.5 ug/mL.
,

Immunohistochemistry of Livin in human small intestine tissue with Livin antibody at 5 ug/mL.
风险提示:丁香通仅作为第三方平台,为商家信息发布提供平台空间。用户咨询产品时请注意保护个人信息及财产安全,合理判断,谨慎选购商品,商家和用户对交易行为负责。对于医疗器械类产品,请先查证核实企业经营资质和医疗器械产品注册证情况。
文献和实验人凋亡抑制蛋白(livin ) 酶联免疫分析( ELISA ) 试剂盒使用说明书 本试剂仅供研究使用 目的:本试剂盒用于测定人血清,血浆及相关液体样本中凋亡抑制蛋白(livin )的 含量。 实验原理: 本试剂盒应用双抗体夹心法测定标本中 人凋亡抑制蛋白( livin ) 水平。用纯化的 人凋亡抑制蛋白( livin )抗体 包被微孔板,制成固相抗体,往包被单抗的微孔中依次加入 凋亡抑制蛋白( livin
Generation of Antibody Molecules Through Antibody Engineering
been overcome to a large extent using genetic-engineering techniques to produce chimeric mouse/human and completely human antibodies. Such an approach is particularly suitable because of the domain structure of the antibody molecule ( 2 ), where functional
The importance of antibody molecules was first recognized in the 1890s, when it was shown that immunity to tetanus and diphtheria was caused by antibodies against the bacterial exotoxins (1 ). Around the same time, it was shown that antisera
技术资料暂无技术资料 索取技术资料





![SLAM Polyclonal Antibody[41685]](https://img1.dxycdn.com/p/s14/2025/0922/568/0046652811090600791.jpg!wh200)

![CIRH1A Polyclonal Antibody[31610]](https://img1.dxycdn.com/p/s14/2025/0923/305/2150219664296040791.jpg!wh200)
![CNOT10 Antibody[46960]](https://img1.dxycdn.com/p/s14/2025/0923/496/0462304380155040791.jpg!wh200)
![LDLR Mouse mAb[63860]](https://img1.dxycdn.com/p/s14/2025/0922/632/2321321568067599691.jpg!wh200)

