相关产品推荐更多 >
万千商家帮你免费找货
0 人在求购买到急需产品
- 详细信息
- 文献和实验
- 技术资料
- 免疫原:
Synthetic peptide of human MUC1(NT)
- 形态:
liquid
- 保存条件:
Store at -20˚C
- 克隆性:
Polyclonal
- 适应物种:
Human
- 保质期:
12 months
- 抗原来源:
Rabbit
- 供应商:
南京赛戈巍生物科技有限公司
- 宿主:
Rabbit
- 应用范围:
IHC
- 靶点:
Uniprot:P15941
- 抗体英文名:
MUC1(NT) Antibody
- 规格:
50ul/100ul
配方:Rabbit IgG in pH7.4 PBS, 0.05% NaN3, 40% Glycerol.
应用详情:
Immunohistochemistry: 1:25-1:100
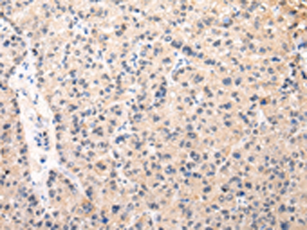
图片:

Immunohistochemical analysis of paraffin-embedded Human liver cancer tissue using #43221 at dilution 1/35.
,

Immunohistochemical analysis of paraffin-embedded Human esophagus cancer tissue using #43221 at dilution 1/35.
风险提示:丁香通仅作为第三方平台,为商家信息发布提供平台空间。用户咨询产品时请注意保护个人信息及财产安全,合理判断,谨慎选购商品,商家和用户对交易行为负责。对于医疗器械类产品,请先查证核实企业经营资质和医疗器械产品注册证情况。
文献和实验MUC1 Expression in Lung Cancer
Abnormalities in mucin-type glycoprotein expression have been documented in a variety of cancers, identifying these molecules as targets for immunologically based therapies and prognostic/diagnostic assays. Epithelial mucin proteins
力后,BNP就开始由心肌细胞合成,但是并不是直接合成BNP,而是先合成pro-BNP(可以翻译成前脑钠肽或者脑钠肽原),pro-BNP具有108个氨基酸,在血液中会分解,产生BNP,分解下来的片段是其N端的76个氨基酸,这76个氨基酸就是NT-proBNP ,也就是经常检测的那个指标,剩下的32个氨基酸才叫BNP。没有NT-BNP的概念,所谓的NT-BNP应该是指NT-proBNP。有点类似于C肽与胰岛素的关系。从这个角度上来讲,都叫脑钠肽不妥,脑钠肽英文应该叫rain(脑) natriuretic(利钠
, 日本威威VESSEL气动剪钳GT-NS5,GT-NS7,GT-NT03,GT-NT03-4,GT-NT03R,GT-NT03R-4,GT-NT05, 日本威威VESSEL气动剪钳GT-NT05-4,GT-NT05R,GT-NT05R-4,GT-NT10,GT-NT10-6,GT-NT10R,GT-NT10R-6, 日本威威VESSEL气动剪钳GT-NT20,GT-NT20-6,GT-NT20R,GT-NT20R-6,GT-NTH05,GT-NTH10,GT-NWR1,
技术资料暂无技术资料 索取技术资料





![EGFR mouse Monoclonal Antibody AP Conjugated[C92875AP]](https://img1.dxycdn.com/p/s14/2025/0922/498/0460884283108299691.jpg!wh200)
![CSE1L Polyclonal Antibody[31718]](https://img1.dxycdn.com/p/s14/2025/0923/305/2150219664296040791.jpg!wh200)
![PIK3CD Antibody[37826]](https://img1.dxycdn.com/p/s14/2025/0922/359/6146153295428599691.jpg!wh200)

