相关产品推荐更多 >
万千商家帮你免费找货
0 人在求购买到急需产品
- 详细信息
- 技术资料
- 免疫原:
Synthetic peptide of human LOXL2
- 形态:
liquid
- 保存条件:
Store at -20˚C
- 克隆性:
Polyclonal
- 适应物种:
Human
- 保质期:
12 months
- 抗原来源:
Rabbit
- 供应商:
南京赛戈巍生物科技有限公司
- 宿主:
Rabbit
- 应用范围:
IHC
- 靶点:
Uniprot:Q9Y4K0
- 抗体英文名:
LOXL2 Antibody
- 规格:
50ul/100ul
别名:LOR2; WS9-14
配方:Rabbit IgG in pH7.4 PBS, 0.05% NaN3, 40% Glycerol.
应用详情:
Immunohistochemistry: 1:20-1:100
图片:
配方:Rabbit IgG in pH7.4 PBS, 0.05% NaN3, 40% Glycerol.
应用详情:
Immunohistochemistry: 1:20-1:100
图片:
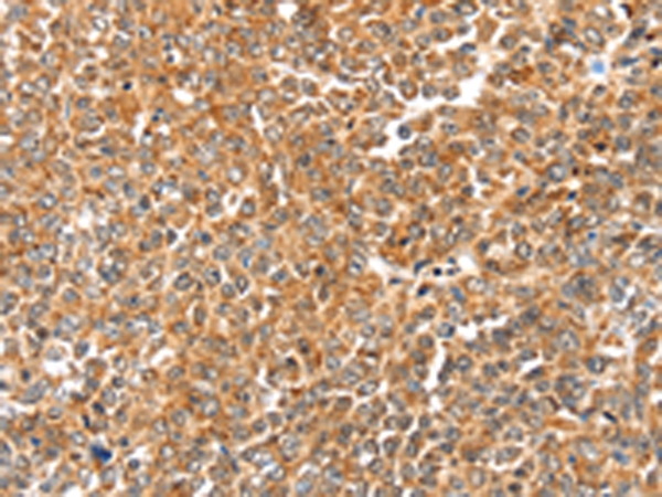
![LOXL2 Antibody[43135]](https://img1.dxycdn.com/p/s14/2025/0922/608/8448044703429600791.jpg)
Immunohistochemical analysis of paraffin-embedded Human ovarian cancer tissue using #43135 at dilution 1/25,
风险提示:丁香通仅作为第三方平台,为商家信息发布提供平台空间。用户咨询产品时请注意保护个人信息及财产安全,合理判断,谨慎选购商品,商家和用户对交易行为负责。对于医疗器械类产品,请先查证核实企业经营资质和医疗器械产品注册证情况。
技术资料暂无技术资料 索取技术资料
LOXL2 Antibody[43135]
询价


![LOXL2 Antibody[43135]](https://img1.dxycdn.com/p/s14/2025/0922/568/0046652811090600791.jpg)


![RAP1A + RAP1B Conjugated Antibody[C56620]](https://img1.dxycdn.com/p/s14/2025/0922/632/2321321568067599691.jpg!wh200)
![TEAD2 Conjugated Antibody[C33900]](https://img1.dxycdn.com/p/s14/2025/0923/278/4431488150116040791.jpg!wh200)
![QDPR Antibody[43037]](https://img1.dxycdn.com/p/s14/2025/0922/568/0046652811090600791.jpg!wh200)
![CMKLR1 Antibody[34201]](https://img1.dxycdn.com/p/s14/2025/0922/359/6146153295428599691.jpg!wh200)
