相关产品推荐更多 >
万千商家帮你免费找货
0 人在求购买到急需产品
- 详细信息
- 技术资料
- 免疫原:
Recombinant human Chloride intracellular channel protein 4 protein (1-253aa)
- 形态:
liquid
- 保存条件:
Store at -20˚C
- 克隆性:
Polyclonal
- 适应物种:
Human;Mouse
- 保质期:
12 months
- 抗原来源:
Rabbit
- 供应商:
南京赛戈巍生物科技有限公司
- 宿主:
Rabbit
- 应用范围:
WB IHC
- 靶点:
Uniprot:Q9Y696
- 抗体英文名:
CLIC4 Polyclonal Antibody
- 规格:
50ul/100ul
计算分子量:29kd
配方:PBS with 0.02% sodium azide, 50% glycerol, pH7.3.
应用详情:Western blotting: 1:500 - 1:2000
Immunohistochemistry: 1:20 - 1:200
图片:

All lanes:Chloride intracellular channel protein 4 antibody at 5ug/ml Lane 1:mouse kidney tissue Lane 2:mouse ovarian tissue secondary Goat polyclonal to rabbit at 1/10000 dilution predicted band size :29kDa observed band size :29kDa
,

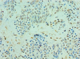
Immunohistochemical analysis of paraffin-embedded human breast cancer using #42126 at dilution of 1:100.
,

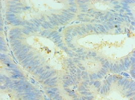
Immunohistochemical analysis of paraffin-embedded human colon cancer using #42126 at dilution of 1:100.
风险提示:丁香通仅作为第三方平台,为商家信息发布提供平台空间。用户咨询产品时请注意保护个人信息及财产安全,合理判断,谨慎选购商品,商家和用户对交易行为负责。对于医疗器械类产品,请先查证核实企业经营资质和医疗器械产品注册证情况。
技术资料暂无技术资料 索取技术资料


![CLIC4 Polyclonal Antibody[42126]](https://img1.dxycdn.com/p/s14/2025/0922/568/0046652811090600791.jpg)


![Anti-WDR61 Antibody[48328]](https://img1.dxycdn.com/p/s14/2025/0922/632/2321321568067599691.jpg!wh200)
![PRV1 Conjugated Antibody[C36325]](https://img1.dxycdn.com/p/s14/2025/0923/278/4431488150116040791.jpg!wh200)
![AKR1CL2 Antibody[34402]](https://img1.dxycdn.com/p/s14/2025/0922/359/6146153295428599691.jpg!wh200)
![Somatostatin Receptor 3 Rabbit mAb[52587]](https://img1.dxycdn.com/p/s14/2025/0922/498/0460884283108299691.jpg!wh200)
