相关产品推荐更多 >
万千商家帮你免费找货
0 人在求购买到急需产品
- 详细信息
- 技术资料
- 免疫原:
Synthesized peptide derived from the Internal region of human Mucin 1.
- 形态:
liquid
- 保存条件:
Store at -20˚C
- 克隆性:
Polyclonal
- 适应物种:
Human;Mouse;Rat
- 保质期:
12 months
- 抗原来源:
Rabbit
- 供应商:
南京赛戈巍生物科技有限公司
- 宿主:
Rabbit
- 应用范围:
WB IHC ELISA
- 靶点:
Uniprot:P15941
- 抗体英文名:
Mucin 1 Polyclonal Antibody
- 规格:
50ul/100ul
配方:Liquid in PBS containing 50% glycerol, 0.5% BSA and 0.02% sodium azide.
应用详情:
Western Blot: 1/500 - 1/2000.
ELISA: 1/10000.
IHC: 1/100.
Not yet tested in other applications.
图片:

Western Blot analysis of 3T3 cells using Mucin 1 Polyclonal Antibody
,

Western Blot analysis of NIH-3T3 cells using Mucin 1 Polyclonal Antibody
,

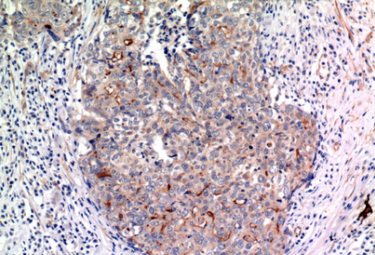
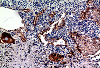
Immunohistochemical analysis of paraffin-embedded Human breast cancer tissue using #43462 at dilution 1/100.
,

Immunohistochemical analysis of paraffin-embedded Human lung cancer tissue using #43462 at dilution 1/100.
风险提示:丁香通仅作为第三方平台,为商家信息发布提供平台空间。用户咨询产品时请注意保护个人信息及财产安全,合理判断,谨慎选购商品,商家和用户对交易行为负责。对于医疗器械类产品,请先查证核实企业经营资质和医疗器械产品注册证情况。
技术资料暂无技术资料 索取技术资料


![Mucin 1 Polyclonal Antibody[41982]](https://img1.dxycdn.com/p/s14/2025/0922/568/0046652811090600791.jpg)


![UQCRC1 Mouse mAb[64390]](https://img1.dxycdn.com/p/s14/2025/0922/632/2321321568067599691.jpg!wh200)
![AKAP6 Conjugated Antibody[C37095]](https://img1.dxycdn.com/p/s14/2025/0923/278/4431488150116040791.jpg!wh200)
![MAFA Antibody[43301]](https://img1.dxycdn.com/p/s14/2025/0922/568/0046652811090600791.jpg!wh200)
