相关产品推荐更多 >
万千商家帮你免费找货
0 人在求购买到急需产品
- 详细信息
- 询价记录
- 技术资料
- 库存:
100
- 供应商:
上海净信/拓赫机电/雷萌生物
|
货号
|
品名
|
规格
|
|
60200
|
活细胞膜染料, 3 mM,
|
绿色荧光100 µl
|
|
60201
|
活细胞膜染料,3 mM,
|
绿色荧光 400 µl
|
|
60202
|
活细胞膜染料,3 mM,
|
红色荧光, 100 µl
|
|
60203
|
活细胞膜染料,3 mM,
|
红色荧光, 400 µl
|
|
60204
|
活细胞膜染料,3 mM,
|
深红色荧光, 100 µl
|
|
60205
|
活细胞膜染料,3 mM,
|
深红色荧光, 400 µl
|
|
60206
|
活细胞膜染料,3 mM,
|
远红外, 400 µl
|
|
60207
|
活细胞膜染料,3 mM,
|
远红外, 400 µl
|
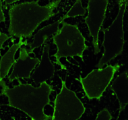
活针对活细胞质膜的一种高效的膜融合染料
偶联脂质染料能够用膜融合方式标记活细胞质膜
超高融合效率(80%-100%)
1-20分钟内完成融合过程
多种荧光颜色可供选择
应用
多种显微成像和操作技术中的活细胞标记
共培养中标记单种细胞
流式中用于细胞标记
膜融合后,细胞能够直接进行分析。膜融合方式进行活细胞标记非常高效,多数细胞在几秒钟内就能标记多大多数。

从左到右:CHO细胞分别用活细胞膜染料绿色、红色、深红色、远红外染色。
Ibidi所有的Fuse-it产品都是采用小的脂质体泡直接与哺乳动物细胞相融合时,将内容物直接释放入胞质中的。脂质体小泡遵循物理化学的原理能够和细胞的质膜直接融合。Ibidi全新的Fuse-it应用了这一原理,开发出了特异的技术,能够将外源的分子直接导入细胞膜内,而不需要胞吞,胞饮,蛋白受体识别等复杂的生物学机制辅助。
参数
参数
风险提示:丁香通仅作为第三方平台,为商家信息发布提供平台空间。用户咨询产品时请注意保护个人信息及财产安全,合理判断,谨慎选购商品,商家和用户对交易行为负责。对于医疗器械类产品,请先查证核实企业经营资质和医疗器械产品注册证情况。
- 作者
- 内容
- 询问日期
技术资料暂无技术资料 索取技术资料
活细胞膜染料 60200 60201 60202 60203 60204 60205 60206 60207
询价











