相关产品推荐更多 >

PDLIM7 Antibody - N-terminal region : FITC 抗体,orb2095998,Biorbyt
¥8216
CCDC70 Antibody - middle region : Biotin 抗体,orb2107120,Biorbyt
¥8216
Phospholipase C beta 1 Antibody (BF555) 抗体,orb1590183,Biorbyt
¥4796![Anti-IL-6 receptor [rhPM-1 (Tocilizumab)]抗体,orb396139,biorbyt](https://img1.dxycdn.com/p/s14/2025/1203/171/0004241594798316991.jpg!wh200)
Anti-IL-6 receptor [rhPM-1 (Tocilizumab)]抗体,orb396139,biorbyt
¥6890
Smad3 Antibody (HRP) 抗体,orb1602361,Biorbyt
¥4796
万千商家帮你免费找货
0 人在求购买到急需产品
- 详细信息
- 文献和实验
- 技术资料
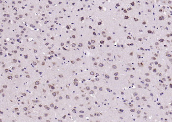
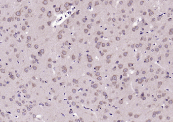
- 抗体名:
Phospho-TrkB (Tyr515) Rabbit Polyclonal Antibody抗体
- 抗体英文名:
Phospho-TrkB (Tyr515) Rabbit Polyclonal Antibody
- 靶点:
NTRK2
- 浓度:
1mg/ml
- 应用范围:
IF, IHC-Fr, IHC-P
- 宿主:
Rabbit
- 适应物种:
Mouse, Rat
- 保质期:
6-12个月
- 抗原来源:
详询
- 目录编号:
orb7122
- 级别:
科研级
- 库存:
88
- 供应商:
biorbyt
- 标记物:
Unconjugated
- 克隆性:
Polyclonal
- 形态:
Liquid
- 亚型:
IgG
- 免疫原:
KLH conjugated Synthesised phosphopeptide derived from rat NTRK2 around the phosphorylation site of Tyr515 PQ(p-Y)FG
- 规格:
50 ul
别名:TrkB(phospho Y515); p-TrkB(phospho Y515); TrkB(phospho-Tyr515); NTRK2(phospho Y515); p-NTRK2(Y515); Trk C(phospho Tyr516)(human); Tyrosine Receptor Kinase B; Tyrosine kinase, Pyk2; BDNF tropomyosine receptor kinase B; BDNF/NT 3 growth factors receptor; BDNF/NT-3 growth factors receptor; Brain derived neurotrophic factor receptor; GP145 TrkB; GP145-TrkB; GP145-TrkB/GP95-TrkB; GP95 TrkB; Neurotrophic tyrosine kinase receptor type 2; Neurotrophin receptor tyrosine kinase type 2; NTRK 2; Ntrk2; NTRK2_HUMAN; Obesity, hyperphagia, and developmental delay, included; RATTRKB1; Trk B; Trk-B; TrkB tyrosine kinase; TRKB1; tyrosine kinase receptor B; Tyrosine receptor kinase B.
免疫原:KLH conjugated Synthesised phosphopeptide derived from rat NTRK2 around the phosphorylation site of Tyr515 PQ(p-Y)FG
预测反应性:Canine, Equine, Gallus, Human, Porcine, Rabbit
分子量:92 kDa
应用稀释比例:IHC-P=1:100-500, IHC-F=1:100-500, IF=1:100-500
防腐剂:0.01M TBS (pH7.4) with 1% rAlbumin, 0.02% Proclin300 and 50% Glycerol.
纯化:Affinity purified by Protein A
保存说明:Maintain refrigerated at 2-8°C for up to 2 weeks. For long term storage store at -20°C in small aliquots to prevent freeze-thaw cycles.
UniProt ID:Q63604
Note:For research use only.




风险提示:丁香通仅作为第三方平台,为商家信息发布提供平台空间。用户咨询产品时请注意保护个人信息及财产安全,合理判断,谨慎选购商品,商家和用户对交易行为负责。对于医疗器械类产品,请先查证核实企业经营资质和医疗器械产品注册证情况。
文献和实验dongreyuan 有的抗体名称上面写着Ab-33,比如,β-catenin(Ab-33)antibody,请问,Ab-33是什么意思? bettyzyj 这个抗体是非磷酸化的抗体non-phospho-antibody ,33 代表的是基因位点 dongreyuan 谢谢了 yhwangcams bettyzyj wrote
。所以,我们建议使用微波炉或高压锅加热煮沸以达到最佳抗原修复效果。抗体:Phospho–Stat3 (Tyr705)(D3A7) XP. Rabbit mAb #9145样本:石蜡包埋人类肺部肿瘤样本煮沸设备:浴锅 (左),微波炉 (中),高压锅 (右)免疫染色—封闭在 IHC–P 中,我们建议在室温下在含有 Tween20 的 TBST 缓冲液和 5% 正常山羊血清 (NGS) 中封闭样品,时长 1 小时,以防止非特异性背景染色。在进行 IHC–F 时,在含有 0.3% Triton. X–100 的 1X
used in accordance withmanufacturer recommendationsSignalStain?DAB Substrate Kit #8059:IHC analysis of paraffin-embedded human breastcarcinoma using Phospho-Stat3 (Tyr705) (D3A7) XP? Rabbit mAb #9145. Chromogenicdetection was performed using #8059 (left
技术资料暂无技术资料 索取技术资料






