相关产品推荐更多 >
万千商家帮你免费找货
0 人在求购买到急需产品
- 详细信息
- 文献和实验
- 技术资料
- 抗体名:
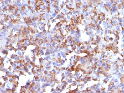
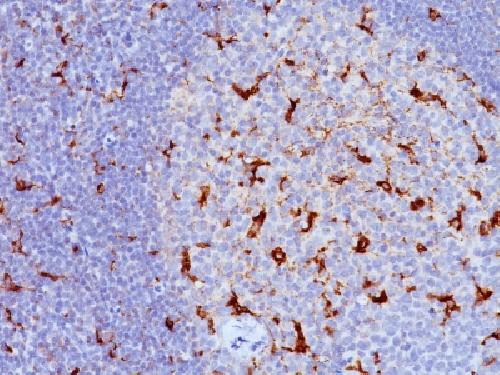
CD68 (Macrophage Marker) Antibody抗体
- 抗体英文名:
CD68 (Macrophage Marker) Antibody
- 靶点:
CD68
- 应用范围:
FC, IHC, WB
- 宿主:
Mouse
- 适应物种:
Human
- 保质期:
6-12个月
- 抗原来源:
详询
- 目录编号:
orb388938
- 级别:
科研级
- 库存:
88
- 供应商:
biorbyt
- 标记物:
Unconjugated
- 克隆性:
Monoclonal
- 保存条件:
参考说明书
- 形态:
200ug/ml of Ab purified from Bioreactor Concentrate by Protein A/G. Prepared in 10mM PBS with 0.05% rAlbumin & 0.05% azide. Also available WITHOUT rAlbumin & azide at 1.0mg/ml.
- 亚型:
IgG1
- 免疫原:
Recombinant full-length human LAMP4 / CD68 protein
- 规格:
20 ug
别名:GP110, LAMP4, Microsialin, Macrosialin, SCARD1, Scavenger Receptor Class D Member-1
免疫原:Recombinant full-length human LAMP4 / CD68 protein
克隆性:LAMP4/824
分子量:110kDa
应用稀释比例:FACS: 0.5-1 μg/million cells, IF/ICC: 0.5-1 μg/ml, IHC-P: 0.5-1 μg/ml
应用注释:CD68 (Macrophage Marker)
纯化:Protein G
保存说明:Maintain refrigerated at 2-8°C for up to 2 weeks. For long term storage store at -20°C in small aliquots to prevent freeze-thaw cycles.
UniProt ID:P34810
Note:For research use only.


风险提示:丁香通仅作为第三方平台,为商家信息发布提供平台空间。用户咨询产品时请注意保护个人信息及财产安全,合理判断,谨慎选购商品,商家和用户对交易行为负责。对于医疗器械类产品,请先查证核实企业经营资质和医疗器械产品注册证情况。
文献和实验CD68 分子 CD68 常用单克隆抗体或代号: EBM11,Ki- M7,Ki- M6 主要表达细胞: Mac,Ptac [M] 分子质量(kDa)和结构: gp110 功 能: 参与细胞摄粒作用和溶酶体运输 CD68 Aka KP-1 May have role in macrophage phagocytic activities Specific to lysosomes, not cell
Acquisition, Culture, and Phenotyping of Synovial Fibroblasts
55, CD90 (Thy-1), and cadherin-11, coupled with the absence of macrophage markers such as CD14 or CD68.
58), and costimulatory (CD80, CD86, CD40) molecules on their cell surfaces. They also express CD1a and CD83, but lack CD14. On cytocentrifuge smears stained with anti-CD68, a marker of the endocytic system that is abundant in macrophages, DCs display spotlike staining
技术资料暂无技术资料 索取技术资料










