相关产品推荐更多 >
万千商家帮你免费找货
0 人在求购买到急需产品
- 详细信息
- 文献和实验
- 技术资料
- 抗体名:
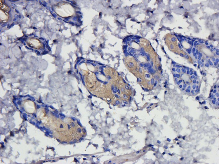
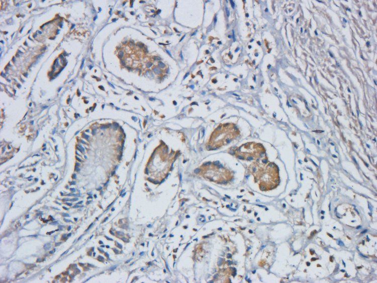
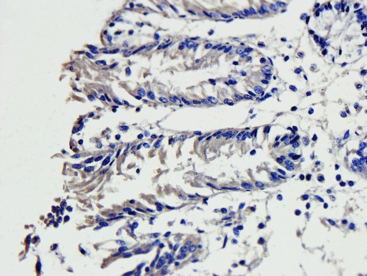
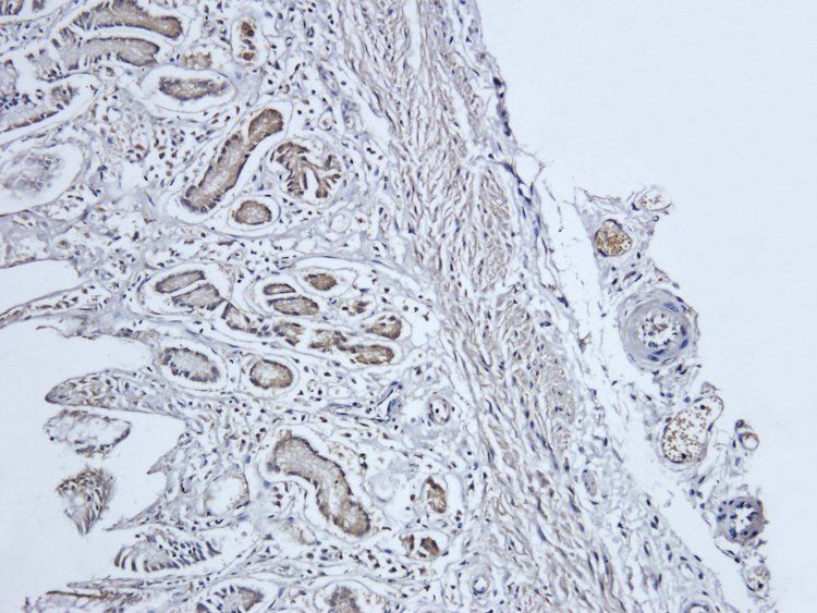
PIGR antibody抗体
- 抗体英文名:
PIGR antibody
- 靶点:
PIGR
- 浓度:
- 100 μg (in 200 μl): 0.5 mg/ml- 200 μg (in 400 μl): 0.5 mg/ml
- 应用范围:
ELISA, ICC, IF, IHC-P, WB
- 宿主:
Rabbit
- 适应物种:
Human, Porcine, Rat
- 保质期:
6-12个月
- 抗原来源:
详询
- 目录编号:
orb181788
- 级别:
科研级
- 库存:
88
- 供应商:
biorbyt
- 标记物:
Unconjugated
- 克隆性:
Polyclonal
- 形态:
10 mM PBS, 0.02% sodium azide
- 亚型:
IgG
- 免疫原:
KLH conjugated synthetic peptide derived from human PIGR. Please contact us for the exact immunogen sequence. The peptide is available as orb374823.
- 规格:
100 ug
别名:anti PIGR antibody
免疫原:KLH conjugated synthetic peptide derived from human PIGR. Please contact us for the exact 免疫原 sequence. The peptide is available as orb374823.
分子量:83 kDa
应用稀释比例:IHC-P:1:200, WB: 1:500, IF/ICC: 1:200
纯度:Polyclonal antibodies are purified by peptide affinity chromatography
保存说明:Maintain refrigerated at 2-8°C for up to 2 weeks. For long term storage store at -20°C in small aliquots to prevent freeze-thaw cycles.
NCBI:002644, 002635
Entrez:5284
UniProt ID:P01833, P15083
Note:For research use only.






风险提示:丁香通仅作为第三方平台,为商家信息发布提供平台空间。用户咨询产品时请注意保护个人信息及财产安全,合理判断,谨慎选购商品,商家和用户对交易行为负责。对于医疗器械类产品,请先查证核实企业经营资质和医疗器械产品注册证情况。
文献和实验基因突变抑制肠癌发生新机制!Nature 背靠背发文揭示肠炎患者上皮细胞定向突变的内在机制
差异对结果产生的影响,作者挑选了部分患者来源的样本进行了内部配对分析,即用于两两比对的样本均来自于同一患者,仅采集部位有所差异。结果表明,不同于正常群体,患者来源的炎性组织比非炎性组织具有更高的突变几率。这一结果进一步肯定了肠道炎性环境与细胞突变之间的关联。图片来源:Nature通过对测序结果进行更进一步的分析,作者发现:来源于炎性组织的类器官中存在免疫相关基因 —— NFKBIZ、PIGR 和 TRAF3IP2 等的累积突变,其中包括单核苷酸突变以及缺失突变。对于单核苷酸突变而言,上述两类基因发生「错义
层细胞高表达FcRn,可介导母体血中IgG进入胎儿血循环;通过肠上皮的FcRn,可将母体初乳中IgG转运到新生儿血循环。将人IgG通过肠道上皮细胞转运到肠腔结合相应的抗原,然后又将IgG/抗原复合物通过肠上皮细胞屏障又转运回黏膜固有层,被DC所加工,并提呈给局淋巴样组织中CD4+T细胞,表明IgG也是黏膜表面重要的免疫分子。 ②Fcα/μR,一种新的既可结合IgA又可结合IgM的Fc受体,人Fcα/μR基因与pIgR相邻。成熟Fcα/μR为单链跨膜蛋白,胞膜外区有3个结构
superfamily),这一基因超家族所编码的产物称为免疫球蛋白超家族(immunogloblin superfamily,IGSF)。 (一)免疫球蛋白超家族的组成 由于细胞表面标记、单克隆抗体以及基因工程研究的进展,近年来发现属于IGSF的成员已达近百种,主要包括T细胞、B细胞抗原识别受体和信号传导分子,MHC及相关分子,Ig受体,某些细胞因子受体,神经系统功能相关分子,以及部分白细胞分化抗原(CD)(表2-2)。 表2-2 免疫球蛋白超家族的组成(成员举例
技术资料暂无技术资料 索取技术资料










