相关产品推荐更多 >
万千商家帮你免费找货
0 人在求购买到急需产品
- 详细信息
- 询价记录
- 文献和实验
- 技术资料
蛋白磷酸化研究的预制胶
SuperSep Phos-tag™

SuperSep Phos-tag™ 是研究蛋白磷酸化的方法,无需特异性磷酸化抗体或者同位素标记。

◆SuperSep Phos-tag™
Phos-tag™ 是一种预制胶,预先加入了50 μmol/L的Phostag™ Acrylamide,打开包装即可直接使用。预制胶中含有锌作为金属离子,在中心凝胶缓冲液中保存稳定性很好,得到的带条结果也很整齐。
磷酸化蛋白和非磷酸化蛋白作为不同条带分离。
分离后,胶可用于考马斯亮蓝染色,免疫印迹和质谱实验。
◆Phos-tag™ SDS-PAGE 的原理

◆在HighWire Search 上搜索到的论文数

◆运用
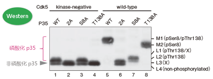
利用p35的丙氨酸突变体确定Cdk5 激活p35的磷酸化位点
p35常见的磷酸化位点是Ser8和Thr138。但是Ser8和Thr138位点往往会发生丙氨酸突变,产生3种突变体(Ser8突变体:S8A,Thr138突变体:T138A,Ser8和Thr138双突变体:2A)。这3种突变体、野生型p35、Cdk5和没有激酶活性的Cdk5都来源于COS-7细胞。这些细胞裂解液用Phos-tag™ SDS-PAGE和Western blotting 进行检测(检测抗体:p35抗体)。

100 μM Phos-tag ™ 丙烯·酰胺, 7.5% 聚丙烯·酰胺凝胶
可明确磷酸化位点和条带迁移率的关系!
- 泳道1(条带L2和L4)和泳道5(条带M1):p35在Cdk5的作用下发生了磷酸化;
- 泳道1(条带L2和L4)和泳道3(条带L2和L4):在无激酶活性Cdk5的作用下,大约有一半p35蛋白在Thr138位点
发生磷酸化,同样在138位发生突变的p35蛋白亦是如此。
- 泳道5 (条带M1)和泳道6(条带L3和L4):Ser8和Thr138是主要的磷酸化位点;
- 泳道5(条带M1)、泳道7(条带L1和L2)和泳道8(条带M2):条带M1是Ser8和Thr138都发生磷酸化的条带;
条带M2是只有Ser8磷酸化的条带;条带L1和L2是只有Thr138磷酸化的条带。
※ 条带L1和L3中的X 是不确定哪个位点发生磷酸化的条带;
※ 条带L4是非磷酸化的p35。
【参考文献】
▪ Quantitative Measurement of in Vivo Phosphorylation States of Cdk5 Activator p35 by Phos-tag ™ SDS-PAGE. T. Hosokawa, T. Saito, A. Asada, K. Fukunaga, and S. Hisanaga,Mol. Cell. Proteomics, Jun 2010;9: 1133 - 1143.
【结果提供】
理化学研究所 脑科学综合研究中心 回路功能研究核心 记忆功能研究团队 细川智永(Dr. T. Hosokawa)
首都大学东京 理工学研究科 生命科学专业 神经分子功能研究室 久永真市(Dr. S. Hisanaga)
检测含有Dnmt1磷酸化激酶的片段

我们可以确定在片段中含有目的激酶!
① 采用亲和色谱法从鼠脑提取液中纯化GST-Dnmt1(1-290)结合蛋白
② 使用0.3 M 和1 M NaCl 的DNA 纤维素柱洗脱得到目的蛋白
③ GST-Dnmt1(1-290)作为体外激酶实验的反应底物
④ Phos-tag ™ SDS-PAGE 用于Western blotting,确定迁移条带中每个片段的激酶活性
【参考文献】
▪ The DNA-binding activity of mouse DNA methyltransferase 1 is regulated by phosphorylation with casein kinase 1delta/epsilon. Y. Sugiyama, N. Hatano, N. Sueyoshi, I. Suetake, S. Tajima, E. Kinoshita, E. Kinoshita-Kikuta, T. Koike, and I. Kameshita, Biochem. J.,
【结果提供】
高知大学 综合研究中心 生命、功能物质部门 实验实习机器设施 杉山康宪(Dr. Y. Sugiyama)
香川大学 农学部 应用生物科学科 动物功能生化学研究室 龟下勇(Dr. I. Kameshita)
二维电泳中的应用:分析hnRNP K磷酸化异构体
小鼠巨噬细胞J774.1 经LPS 刺激后,裂解细胞,经过免疫沉淀法分离得到hnRNP K。在二维电泳中,一维是IPG 胶,二维是Phos-tag ™ SDS-PAGE,可分离hnRNP K 的异构体。利用质谱仪,可以确认不同的点代表不同的亚型或修饰蛋白。

同一个等电点的位置上,不同位点发生磷酸化都可以被区分开来
(例: spots 6 vs. 8 and spots 4 vs. 7)
【参考文献】
▪ Characterization of multiple alternative forms of heterogeneous nuclear ribonucleoprotein K by phosphate-affinity electrophoresis. Y. Kimura, K. Nagata, N Suzuki, R. Yokoyama, Y. Yamanaka, H. Kitamura, H. Hirano, and O. Ohara, Proteomics, Nov 2010; 10(21): 3884-95.
【结果提供】
横滨市立大学 生命纳米系统科学研究科 生物体超分子系统科学专业 木村弥生(Dr. Y. Kimura)、平野久(Dr. H. Hirano)
理化学研究所RCAI 小原收
◆备注
样品制备:
Phos-tag SDS-PAGE对于蛋白样品中的杂质非常敏感,尤其是螯合剂,钒酸,无机盐,表面活性剂这类物质。
强烈建议在Phos-tag SDS-PAGE之前通过TCA沉淀或渗析法降低杂质含量。
转膜前处理:
另一个必须的步骤是在转膜前,用EDTA去除凝胶中的金属离子(Mn2+ 或者Zn2+);
该步骤可提高蛋白的转膜效率。
● 分别准备10 mmol/L 含EDTA和不含EDTA 两种1x transfer buffer。
● 将凝胶浸泡在含10 mmol/L EDTA的1x transfer buffer,至少20分钟,温和摇晃。更换新缓冲液,重复3次。
● 将凝胶浸泡在不含10 mmol/L EDTA的1x transfer buffer,10分钟,温和摇晃。
● 转膜操作*。
* 建议用湿法转膜,以提高转膜效率。

◆质量控制
每一批SuperSep Phos-tag™,出厂前均根据其产品规格进行测试,以保证可分离磷酸化和非磷酸化蛋白,以及他们的分离成都在正常参数内。
◆保存温度
2-10℃
点击此处查看操作视频:SuperSep Phos-tag™预制胶操作视频
◆产品信息
用于Bio-Rad伯乐电泳仪
|
货号 |
品名 |
电泳仪 |
规格 |
|
198-17981 |
SuperSep™ Phos-tag™ (50μmol/L), 7.5%, 17well, 83×100×3.9mm |
Mini-PROTEAN® Tetra Cell (Bio-Rad Laboratories, Inc.) |
5 块 |
|
195-17991 |
SuperSep™ Phos-tag™ (50μmol/L), 12.5%, 17well, 83×100×3.9mm |
5 块 |
用于Life Technologies电泳仪
|
货号 |
品名 |
电泳仪 |
规格 |
|
192-18001 |
SuperSep™ Phos-tag™ (50μmol/L), 7.5%, 17well, 100×100×6.6mm |
XCell SureLock® Mini-Cell (Life Technologies, Inc.)
|
5 块 |
|
199-18011 |
SuperSep™ Phos-tag™ (50μmol/L), 12.5%, 17well, 100×100×6.6mm |
5 块 |
用于Wako EasySeperator电泳仪
| 产品编号 | 产品 | 凝胶浓度 | 孔数 | 包装 |
| 192-17401 | SuperSep™ Phos-tag™ (50 μmol/L) Phos-tag™ 预制胶50 μmol/L | 6.0% | 13孔 | 5块 |
| 199-17391 | 6.0% | 17孔 | 5块 | |
| 195-17371 | 7.5% | 13孔 | 5块 | |
| 192-17381 | 7.5% | 17孔 | 5块 | |
| 193-16711 | 10.0% | 13孔 | 5块 | |
| 190-16721 | 10.0% | 17孔 | 5块 | |
| 195-16391 | 12.5% | 13孔 | 5块 | |
| 193-16571 | 12.5% | 17孔 | 5块 | |
| 193-16691 | 15.0% | 13孔 | 5块 | |
| 196-16701 | 15.0% | 17孔 | 5块 | |
| 197-16851 | 17.5% | 13孔 | 5块 | |
| 194-16861 | 17.5% | 17孔 | 5块 |
◆相关产品
| 产品编号 | 产品名称 | 规格 |
| 058-07681 | EasySeparator Phos-tag预制凝胶的配套电泳槽 | 1 set |
风险提示:丁香通仅作为第三方平台,为商家信息发布提供平台空间。用户咨询产品时请注意保护个人信息及财产安全,合理判断,谨慎选购商品,商家和用户对交易行为负责。对于医疗器械类产品,请先查证核实企业经营资质和医疗器械产品注册证情况。
- 作者
- 内容
- 询问日期
文献和实验【参考文献】
▪ Quantitative Measurement of in Vivo Phosphorylation States of Cdk5 Activator p35 by Phos-tag ™ SDS-PAGE. T. Hosokawa, T. Saito, A. Asada, K. Fukunaga, and S. Hisanaga,Mol. Cell. Proteomics, Jun 2010;9: 1133 - 1143.
▪ The DNA-binding activity of mouse DNA methyltransferase 1 is regulated by phosphorylation with casein kinase 1delta/epsilon. Y. Sugiyama, N. Hatano, N. Sueyoshi, I. Suetake, S. Tajima, E. Kinoshita, E. Kinoshita-Kikuta, T. Koike, and I. Kameshita, Biochem. J.,
▪ Characterization of multiple alternative forms of heterogeneous nuclear ribonucleoprotein K by phosphate-affinity electrophoresis. Y. Kimura, K. Nagata, N Suzuki, R. Yokoyama, Y. Yamanaka, H. Kitamura, H. Hirano, and O. Ohara, Proteomics, Nov 2010; 10(21): 3884-95.
技术资料暂无技术资料 索取技术资料










