相关产品推荐更多 >
万千商家帮你免费找货
0 人在求购买到急需产品
- 详细信息
- 询价记录
- 文献和实验
- 技术资料
- 库存:
999
- 英文名:
SuperSep Phos-tag™
- 供应商:
北京诺博莱德科技有限公司
蛋白磷酸化研究的预制胶SuperSep Phos-tag™,192-17401产品简介:
产品品牌:Wako
产品名称:蛋白磷酸化研究的预制胶SuperSep Phos-tag™
产品货号:192-17401
产品规格:5块
SuperSep Phos-tag™ 是研究蛋白磷酸化的方法,无需特异性磷酸化抗体或者同位素标记。

◆SuperSep Phos-tag™
Phos-tag™ 是一种预制胶,预先加入了 50 μmol/L 的 Phostag™ Acrylamide,打开包装即可直接使用。预制胶中含有锌作为金属离子,在中心凝胶缓冲液中保存稳定性很好,得到的带条结果也很整齐。
磷酸化蛋白和非磷酸化蛋白作为不同条带分离。
分离后,胶可用于考马斯亮蓝染色,免疫印迹和质谱实验。
◆Phos-tag™ SDS-PAGE 的原理

◆在 HighWire Search 上搜索到的论文数

◆运用
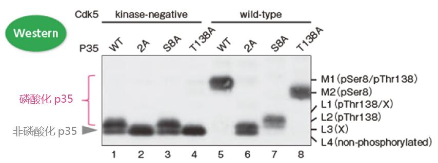
利用 p35 的bing氨酸突变体确定 Cdk5 激活 p35 的磷酸化位点
p35 常见的磷酸化位点是 Ser8 和 Thr138。但是 Ser8 和 Thr138 位点往往会发生丙氨酸突变,产生3种突变体(Ser8 突变体:S8A,Thr138 突变体:T138A,Ser8 和 Thr138 双突变体:2A)。这3种突变体、野生型 p35、Cdk5 和没有激酶活性的 Cdk5 都来源于 COS-7 细胞。这些细胞裂解液用Phos-tag™ SDS-PAGE 和 Western blotting 进行检测(检测抗体:p35 抗体)。

100 μM Phos-tag ™ bing烯酰胺, 7.5% 聚bing烯酰胺凝胶
可明确磷酸化位点和条带迁移率的关系!
- 泳道1(条带 L2 和 L4)和泳道5(条带 M1):p35 在 Cdk5 的作用下发生了磷酸化;
- 泳道1(条带 L2 和 L4)和泳道3(条带 L2 和 L4):在无激酶活性 Cdk5 的作用下,大约有一半 p35 蛋白在 Thr138 位点发生磷酸化,同样在 138 位发生突变的 p35 蛋白亦是如此。
- 泳道5 (条带 M1)和泳道6(条带 L3 和 L4):Ser8 和 Thr138 是主要的磷酸化位点;
- 泳道5(条带 M1)、泳道7(条带L1和L2)和泳道8(条带M2):条带 M1 是 Ser8 和T hr138 都发生磷酸化的条带;
条带 M2 是只有 Ser8 磷酸化的条带;条带 L1 和 L2 是只有 Thr138 磷酸化的条带。
※ 条带 L1 和 L3 中的X是不确定哪个位点发生磷酸化的条带;
※ 条带L4是非磷酸化的 p35 。
【参考文献】
▪ Quantitative Measurement of in Vivo Phosphorylation States of Cdk5 Activator p35 by Phos-tag ™ SDS-PAGE. T. Hosokawa, T. Saito, A. Asada, K. Fukunaga, and S. Hisanaga,Mol. Cell. Proteomics, Jun 2010;9: 1133 - 1143.
【结果提供】
理化学研究所 脑科学综合研究中心 回路功能研究核心 记忆功能研究团队 细川智永(Dr. T. Hosokawa)
首都大学东京 理工学研究科 生命科学专业 神经分子功能研究室 久永真市(Dr. S. Hisanaga)
检测含有 Dnmt1 磷酸化激酶的片段

我们可以确定在片段中含有目的激酶!
① 采用亲和色谱法从鼠脑提取液中纯化 GST-Dnmt1(1-290)结合蛋白
② 使用 0.3 M 和 1 M NaCl 的 DNA 纤维素柱洗脱得到目的蛋白
③ GST-Dnmt1(1-290)作为体外激酶实验的反应底物
④ Phos-tag ™ SDS-PAGE 用于Western blotting,确定迁移条带中每个片段的激酶活性
【参考文献】
The DNA-binding activity of mouse DNA methyltransferase 1 is regulated by phosphorylation with casein kinase 1delta/epsilon. Y. Sugiyama, N. Hatano, N. Sueyoshi, I. Suetake, S. Tajima, E. Kinoshita, E. Kinoshita-Kikuta, T. Koike, and I. Kameshita, Biochem. J., May 2010; 427(3): 489-97.
【结果提供】
高知大学 综合研究中心 生命、功能物质部门 实验实习机器设施 杉山康宪(Dr. Y. Sugiyama)
香川大学 农学部 应用生物科学科 动物功能生化学研究室 龟下勇(Dr. I. Kameshita)
二维电泳中的应用:分析 hnRNP K 磷酸化异构体
小鼠巨噬细胞 J774.1 经 LPS 刺激后,裂解细胞,经过免疫沉淀法分离得到 hnRNP K。在二维电泳中,一维是 IPG 胶,二维是 Phos-tag ™ SDS-PAGE,可分离 hnRNP K 的异构体。利用质谱仪,可以确认不同的点代表不同的亚型或修饰蛋白。

同一个等电点的位置上,不同位点发生磷酸化都可以被区分开来
(例: spots 6 vs. 8 and spots 4 vs. 7)
【参考文献】
▪ Characterization of multiple alternative forms of heterogeneous nuclear ribonucleoprotein K by phosphate-affinity electrophoresis. Y. Kimura, K. Nagata, N Suzuki, R. Yokoyama, Y. Yamanaka, H. Kitamura, H. Hirano, and O. Ohara, Proteomics, Nov 2010; 10(21): 3884-95.
【结果提供】
横滨市立大学 生命纳米系统科学研究科 生物体超分子系统科学专业 木村弥生(Dr. Y. Kimura)、平野久(Dr. H. Hirano)
理化学研究所 RCAI 小原收
◆备注
样品制备:
Phos-tag SDS-PAGE 对于蛋白样品中的杂质非常敏感,尤其是螯合剂,钒酸,无机盐,表面活性剂这类物质。
强烈建议在 Phos-tag SDS-PAGE 之前通过 TCA 沉淀或渗析法降低杂质含量。
转膜前处理:
另一个必须的步骤是在转膜前,用 EDTA 去除凝胶中的金属离子(Mn2+ 或者Zn2+);该步骤可提高蛋白的转膜效率。
● 分别准备 10 mmol/L 含 EDTA 和不含 EDTA 两种 1x transfer buffer。
● 将凝胶浸泡在含 10 mmol/L EDTA 的 1x transfer buffer,至少 20 分钟,温和摇晃。更换新缓冲液,重复3次。
● 将凝胶浸泡在不含 10 mmol/L EDTA 的 1x transfer buffer,10 分钟,温和摇晃。
● 转膜操作*。
* 建议用湿法转膜,以提高转膜效率。

◆质量控制
每一批 SuperSep Phos-tag™,出厂前均根据其产品规格进行测试,以保证可分离磷酸化和非磷酸化蛋白,以及他们的分离成都在正常参数内。
◆保存温度
2-10℃
◆产品信息
用于 Bio-Rad 伯乐电泳仪
| 货号 | 品名 | 电泳仪 | 规格 |
| 198-17981 | SuperSep™ Phos-tag™ (50μmol/L), 7.5%, 17well, 83×100×3.9mm |
Mini-PROTEAN® Tetra Cell (Bio-Rad Laboratories, Inc.) |
5 块 |
| 195-17991 | SuperSep™ Phos-tag™ (50μmol/L), 12.5%, 17well, 83×100×3.9mm |
5 块 |
用于 Life Technologies 电泳仪
| 货号 | 品名 | 电泳仪 | 规格 |
| 192-18001 | SuperSep™ Phos-tag™ (50μmol/L), 7.5%, 17well, 100×100×6.6mm |
XCell SureLock® Mini-Cell (Life Technologies, Inc.) |
5 块 |
| 199-18011 | SuperSep™ Phos-tag™ (50μmol/L), 12.5%, 17well, 100×100×6.6mm |
5 块 |
用于 Wako EasySeperator 电泳仪
| 产品编号 | 产品 | 凝胶浓度 | 孔数 | 包装 |
| 192-17401 | SuperSep™ Phos-tag™ (50 μmol/L) Phos-tag™ 预制胶50 μmol/L |
6.0% | 13孔 | 5块 |
| 199-17391 | 6.0% | 17孔 | 5块 | |
| 195-17371 | 7.5% | 13孔 | 5块 | |
| 192-17381 | 7.5% | 17孔 | 5块 | |
| 193-16711 | 10.0% | 13孔 | 5块 | |
| 190-16721 | 10.0% | 17孔 | 5块 | |
| 195-16391 | 12.5% | 13孔 | 5块 | |
| 193-16571 | 12.5% | 17孔 | 5块 | |
| 193-16691 | 15.0% | 13孔 | 5块 | |
| 196-16701 | 15.0% | 17孔 | 5块 | |
| 197-16851 | 17.5% | 13孔 | 5块 | |
| 194-16861 | 17.5% | 17孔 | 5块 |
◆相关产品
| 产品编号 | 产品名称 | 规格 |
| 058-07681 | EasySeparator Phos-tag预制凝胶的配套电泳槽 |
1 set |
| 产品编号 | 产品名称 | 产品规格 |
| 193-16711 | SuperSep Phos-tag™ (50 μmol/L), 10%, 13 well Phos-tag 13孔10%预制胶 |
5块 |
| 190-16721 | SuperSep Phos-tag™ (50 μmol/L), 10%, 17 well Phos-tag 17孔10%预制胶 |
5块 |
| 195-16391 | SuperSep Phos-tag™ (50 μmol/L), 12.5%, 13 well Phos-tag 13孔12.5%预制胶 |
5块 |
| 193-16571 | SuperSep Phos-tag™ (50 μmol/L), 12.5%, 17 well Phos-tag 17孔12.5%预制胶 |
5块 |
| 193-16691 | SuperSep Phos-tag™ (50 μmol/L), 15%, 13 well Phos-tag 13孔15%预制胶 |
5块 |
| 196-16701 | SuperSep Phos-tag™ (50 μmol/L), 15%, 17 well Phos-tag 17孔15%预制胶 |
5块 |
| 197-16851 | SuperSep Phos-tag™ (50 μmol/L), 17.5%, 13 well Phos-tag 13孔17.5%预制胶 |
5块 |
| 194-16861 | SuperSep Phos-tag™ (50 μmol/L), 17.5%, 17 well Phos-tag 17孔17.5%预制胶 |
5块 |
风险提示:丁香通仅作为第三方平台,为商家信息发布提供平台空间。用户咨询产品时请注意保护个人信息及财产安全,合理判断,谨慎选购商品,商家和用户对交易行为负责。对于医疗器械类产品,请先查证核实企业经营资质和医疗器械产品注册证情况。
- 作者
- 内容
- 询问日期
文献和实验位点的序列,包括肽库和肽芯片 [5,6] 的多种技术可用来鉴定激酶底物。此外,一种 λ 噬菌体 cDNA 表达文库的固相磷酸化筛选 [ 7,8 」以及不同蛋白质相互作用筛选方法,如覆盖方法 [ 9,11] 和酵母双杂交系统 [ 12,14] 已被应用在这方面。最近,蛋白激酶被改造成可接受人工合成的腺苷三磷酸盐(环戊基 ATP ) 模拟物,并用于鉴定特异底物。初步的研究已经证明,通过激酶来研究磷酸化的蛋白质芯片是可行的 [ 18,19] 。为了确定磷酸化位点,抗磷酸化蛋白表位 [6] 的抗体将用于蛋白
磷酸化化学计量的确定及磷蛋白形成动力学的测定 l 磷酸化作用化学计量的确定 1. 在冰上建立下列反应混合液: Tris-HCl ( 50mmol/L ; pH8.0 ) /MgCl2 ( 10mmol/L ) 250 μ l ATP ( 10mmol/L )
,酪氨酸磷酸化的水平估计要低2000倍。正是由于细胞中酪氨酸磷酸化的水平相当低,才能保证细胞在内外信号的刺激下,作出灵敏的反应,所以研究酪氨酸的磷酸化对于细胞信号的调控和许多重要生物现象的研究具有极为重要的意义,而对发生酪氨酸磷酸化的蛋白质的识别及磷酸化位点的鉴定对揭示细胞过程的调控和药物的作用位点起到非常重要的作用。 研究蛋白质磷酸化的相关方法: 磷酸化Western Blot 对于信号转导科研来说,抗酪氨酸磷酸化抗体的出现是一个意义重大的事件。在没有抗酪氨酸磷酸化抗体之前
技术资料暂无技术资料 索取技术资料









