相关产品推荐更多 >
万千商家帮你免费找货
0 人在求购买到急需产品
- 详细信息
- 文献和实验
- 技术资料
- 免疫原:
Peptide with sequence C-EQLEHIKTHELHL, from the C Terminus of the protein sequence according to NP_004374.1.
- 亚型:
IgG
- 形态:
Liquid
- 保存条件:
Store as concentrated solution. Centrifuge briefly prior to opening vial. For short-term storage (1-2 weeks), store at 4ºC. For long-term storage, aliquot and store at -20ºC or below. Avoid multiple freeze-thaw cycles.
- 克隆性:
Polyclonal
- 标记物:
Unconjugated
- 适应物种:
Human, Mouse
- 保质期:
12 months from the shipping date of the product.
- 抗原来源:
Human
- 目录编号:
GTX89784
- 级别:
Primary Antibodies
- 库存:
Available
- 供应商:
GeneTex
- 宿主:
Goat
- 应用范围:
WB, IHC-P
- 浓度:
0.50 mg/ml (Please refer to the vial label for the specific concentration.)
- 靶点:
CSK
- 抗体英文名:
CSK antibody, C-term
- 抗体名:
CSK 抗体, C-term
- 规格:
100 μg
WB analysis of mouse spleen lysate using GTX89784 CSK antibody, C-term.
Dilution : 1μg/ml
Loading : 35μg protein in RIPA buffer
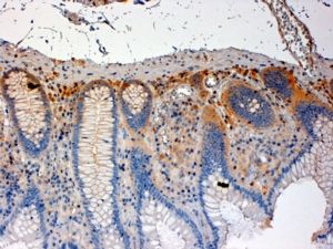
IHC-P analysis of human colon using GTX89784 CSK antibody, C-term.
Antigen retrieval : citrate buffer pH 6
Dilution : 4μg/ml
WB analysis of Jurkat lysate using GTX89784 CSK antibody, C-term.
Dilution : 0.5μg/ml
Loading : 35μg protein in RIPA buffer
风险提示:丁香通仅作为第三方平台,为商家信息发布提供平台空间。用户咨询产品时请注意保护个人信息及财产安全,合理判断,谨慎选购商品,商家和用户对交易行为负责。对于医疗器械类产品,请先查证核实企业经营资质和医疗器械产品注册证情况。
文献和实验于研究。 性能参数 LIST OF ANTBODY PRODUCTS AP8401a BDP1 N-term Antibody AP8408b MEG2 C-term Antibody AP8451b PPP3CA C-term Antibody AP8449b CTDSP1 C-term Antibody AP8408a MEG2 N-term Antibody AP8451a PPP3CA N-term Antibody AP8449
In Situ Immunofluorescence Analysis: Immunofluorescence Microscopy
of this method is dependent on the quality and specificity of the antibodies and the relative stability of antigens. Generally, the overall scheme for localization of cellular proteins involves fixation and permeabilization of cells for antibody accessibility
but also during the establishment of other patterns of gene activity. The main purpose of a combined IF and FISH analysis is, on the one hand, to preserve nuclear architecture and the antibody's epitope as far as possible but, on the other hand, to allow the penetration
技术资料暂无技术资料 索取技术资料






![Transferrin antibody [F2H8G6]](https://img1.dxycdn.com/2022/0328/626/1920742228027300453-14.jpg!wh200)




