相关产品推荐更多 >
万千商家帮你免费找货
0 人在求购买到急需产品
- 详细信息
- 文献和实验
- 技术资料
- 免疫原:
Peptide with sequence CELAEKMRRTSV, from the internal region (near the C Terminus) of the protein sequence according to NP_940980.3.
- 亚型:
IgG
- 形态:
Liquid
- 保存条件:
Store as concentrated solution. Centrifuge briefly prior to opening vial. For short-term storage (1-2 weeks), store at 4ºC. For long-term storage, aliquot and store at -20ºC or below. Avoid multiple freeze-thaw cycles.
- 克隆性:
Polyclonal
- 标记物:
Unconjugated
- 适应物种:
Human
- 保质期:
12 months from the shipping date of the product.
- 抗原来源:
Human
- 目录编号:
GTX89626
- 级别:
Primary Antibodies
- 库存:
Available
- 供应商:
GeneTex
- 宿主:
Goat
- 应用范围:
WB, ICC/IF, IHC-P, EM
- 浓度:
0.50 mg/ml (Please refer to the vial label for the specific concentration.)
- 靶点:
LRRK2 (near C Terminus)
- 抗体英文名:
LRRK2 (near C Terminus) antibody, Internal
- 抗体名:
LRRK2 (near C Terminus) 抗体, Internal
- 规格:
100 μg
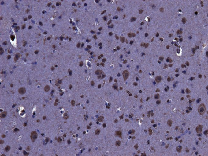
IHC-P analysis of human hippocampus CA4 using GTX89626 LRRK2 (near C Terminus) antibody, Internal.
Antigen retrieval : citrate buffer pH 6
Dilution : 1.5μg/ml
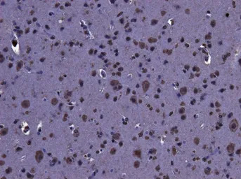
IHC-P analysis of human cortex using GTX89626 LRRK2 (near C Terminus) antibody, Internal.
Antigen retrieval : citrate buffer pH 6
Dilution : 2μg/ml
风险提示:丁香通仅作为第三方平台,为商家信息发布提供平台空间。用户咨询产品时请注意保护个人信息及财产安全,合理判断,谨慎选购商品,商家和用户对交易行为负责。对于医疗器械类产品,请先查证核实企业经营资质和医疗器械产品注册证情况。
文献和实验内环境 internal medium,internal environ ment
亦称内介质,( internal medium)就是体液。与从外面包围多细胞动物个体的外环境,即与生态学上的环境(外介质)相反,它是直接浸泡着组织细胞,是构成细胞生命的维持条件的液体介质。 C. Bernard于 1865年最先提出这概念和术语,他指出,内环境是各种生物所固有的真正的“生理学的环境”的重大意义,也就是说来自外界的影响都只有通过这个内环境才能影响到活细胞。他说:“内环境的恒定性才是为了自由生活所必需的条件。”他的有关内分泌的思想也是联系到这种内环境的另一种功能而产生
Modification of the 5′ Terminus of Oligonucleotides for Attachment of Reporter and Conjugate Groups
terminus of synthetic oligonucleotides. Tetrahedron Lett. 27:3991‐3994. Cumber, J.A., Forrester, J.A., Foxwell, B.M., Ross, W.C., and Thorpe, P.E. 1985. Preparation of antibody
transmulation effect)也是与照射作用密不可分的。因为这些特性的存在,使内照射和外照射的状态不同,所以研究方法也不尽一样。现实生活中人们已经看到了与骨视和α放射性核素造成的身体伤害与由于 3 H和 14 C这样的物质参入生物体内为重要分子而引起的细胞损伤和癌变。
技术资料暂无技术资料 索取技术资料





![HLA-G antibody [MEM-G/9] (PE)](https://img1.dxycdn.com/2022/0328/519/0245669900235500453-14.jpg!wh200)





