相关产品推荐更多 >
万千商家帮你免费找货
0 人在求购买到急需产品
- 详细信息
- 文献和实验
- 技术资料
- 免疫原:
Peptide with sequence C-NKRKSNFSNSADDIK, from the internal region of the protein sequence according to NP_036249.1; NP_001120793.1; NP_001120794.1.
- 亚型:
IgG
- 形态:
Liquid
- 保存条件:
Store as concentrated solution. Centrifuge briefly prior to opening vial. For short-term storage (1-2 weeks), store at 4ºC. For long-term storage, aliquot and store at -20ºC or below. Avoid multiple freeze-thaw cycles.
- 克隆性:
Polyclonal
- 标记物:
Unconjugated
- 适应物种:
Human, Mouse
- 保质期:
12 months from the shipping date of the product.
- 抗原来源:
Human
- 目录编号:
GTX89432
- 级别:
Primary Antibodies
- 库存:
Available
- 供应商:
GeneTex
- 宿主:
Goat
- 应用范围:
WB, IHC-P, FACS
- 浓度:
0.50 mg/ml (Please refer to the vial label for the specific concentration.)
- 靶点:
HP1 alpha
- 抗体英文名:
HP1 alpha antibody, Internal
- 抗体名:
HP1 alpha 抗体, Internal
- 规格:
100 μg
FACS analysis of PFA fixed HeLa cells using GTX89432 HP1 alpha antibody, Internal.
Blue : Primary antibody
Black : Isotype control
Permeabilization : 0.5% Triton
Dilution : 10μg/ml
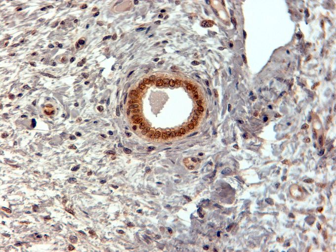
IHC-P analysis of human uterus using GTX89432 HP1 alpha antibody, Internal.
Antigen retrieval : citrate buffer pH 6
Dilution : 2μg/ml
WB analysis of K562 (A), MCF7 (B) and NIH-3T3 (C) cell lysate using GTX89432 HP1 alpha antibody, Internal.
Dilution : 0.1μg/ml
Loading : 35μg protein in RIPA buffer
风险提示:丁香通仅作为第三方平台,为商家信息发布提供平台空间。用户咨询产品时请注意保护个人信息及财产安全,合理判断,谨慎选购商品,商家和用户对交易行为负责。对于医疗器械类产品,请先查证核实企业经营资质和医疗器械产品注册证情况。
文献和实验In situ hybridisation to alpha satellite sequences (chromosome specific)
Alpha satellite sequences, whilst highly repetitive, are specific to each individual chromosome. These sequences flank the centromeres and can present a target measured in megabases. In this protocol a biotin or digoxigenin labelled DNA
Determination of Gene Dosage: Utilization of Endogenous and Exogenous Internal Standards
muscular dystrophy, spinal muscular atrophy, alpha thalassemia, growth hormone deficiency, familial hypercholesterolemia, and so on) or duplications (Charcot-Marie-Tooth, Klinefelter syndrome, Down syndrome, and so on). Furthermore, for the determination
Preparation and Assay of Acetylcholinesterase Antibody
structures mimicking external antigen results from the fact that the conformation of some of the anti-idiotypic antibodies may be complementary to the three-dimensional structure of the binding site of the first antibody, and therefore, represents
技术资料暂无技术资料 索取技术资料






![V5 tag antibody [GT1071] (HRP)](https://img1.dxycdn.com/2022/0329/843/8393989386565020453-14.jpg!wh200)




