相关产品推荐更多 >
万千商家帮你免费找货
0 人在求购买到急需产品
- 详细信息
- 文献和实验
- 技术资料
- 免疫原:
Peptide with sequence QPEACVIDDRSPDT, from the C Terminus of the protein sequence according to NP_001184151.1; NP_001184150.1; NP_006194.2; NP_001098101.1; NP_001184152.1; NP_001159371.1.
- 亚型:
IgG
- 形态:
Liquid
- 保存条件:
Store as concentrated solution. Centrifuge briefly prior to opening vial. For short-term storage (1-2 weeks), store at 4ºC. For long-term storage, aliquot and store at -20ºC or below. Avoid multiple freeze-thaw cycles.
- 克隆性:
Polyclonal
- 标记物:
Unconjugated
- 适应物种:
Human
- 保质期:
12 months from the shipping date of the product.
- 抗原来源:
Human
- 目录编号:
GTX89423
- 级别:
Primary Antibodies
- 库存:
Available
- 供应商:
GeneTex
- 宿主:
Goat
- 应用范围:
WB, IHC-P, ELISA
- 浓度:
0.50 mg/ml (Please refer to the vial label for the specific concentration.)
- 靶点:
This antiobody is expected to recognize all reported isoforms.
- 抗体英文名:
PDE4D antibody, C-term
- 抗体名:
PDE4D 抗体, C-term
- 规格:
100 μg
WB analysis of COS cell transfected with human PDE4D1 (1), transfected with human PDE4D3 (2), untransfected (3) using GTX89423 PDE4D antibody, C-term.
Dilution : 1μg/ml
Loading : 25μg
IHC-P analysis of human heart using GTX89423 PDE4D antibody, C-term.
Antigen retrieval : citrate buffer pH 6
Dilution : 5μg/ml
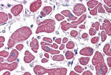
IHC-P analysis of human skeletal muscle using GTX89423 PDE4D antibody, C-term.
Antigen retrieval : citrate buffer pH 6
Dilution : 5μg/ml
风险提示:丁香通仅作为第三方平台,为商家信息发布提供平台空间。用户咨询产品时请注意保护个人信息及财产安全,合理判断,谨慎选购商品,商家和用户对交易行为负责。对于医疗器械类产品,请先查证核实企业经营资质和医疗器械产品注册证情况。
文献和实验于研究。 性能参数 LIST OF ANTBODY PRODUCTS AP8401a BDP1 N-term Antibody AP8408b MEG2 C-term Antibody AP8451b PPP3CA C-term Antibody AP8449b CTDSP1 C-term Antibody AP8408a MEG2 N-term Antibody AP8451a PPP3CA N-term Antibody AP8449
【资源】全面归类网址:毕赤酵母表达各种来源蛋白(细菌,真菌,植物,人类等)
europaea (olive tree) aeroallergen Ole e 1S, 60 mg/L, α-MF[115, 334, 391]Olea europaea 1,3-β-glucanase Ole e 9 C-term.seg.S, 100 mg/L, α-MF, active486Oleaceae sp. (lilac and privet) pollen allergensS, 30 mg/L, reactive481Pepper endo-b-1,4-glucanase cCel1S
A Comprehensive Guide to Sleeping Beauty–Based Somatic Transposon Mutagenesis in the Mouse
PBST (1× PBS with 0.1% Tween 20) Anti‐SB11 antibody (mouse monoclonal clone 324622) (R&D Systems) VectaStain Elite ABC
技术资料暂无技术资料 索取技术资料





![IMPA1 antibody [AT2G5]](https://img1.dxycdn.com/2022/0328/869/9749054918260800453-14.jpg!wh200)
![TNF alpha antibody [2TNF-H34A]](https://img1.dxycdn.com/2022/0328/579/5998100871027300453-14.jpg!wh200)




