相关产品推荐更多 >
万千商家帮你免费找货
0 人在求购买到急需产品
- 详细信息
- 文献和实验
- 技术资料
- 免疫原:
Peptide with sequence C-DSDKEHWKNVHKQ, from the internal region of the protein sequence according to NP_002292.1; NP_059144.1.
- 亚型:
IgG
- 形态:
Liquid
- 保存条件:
Store as concentrated solution. Centrifuge briefly prior to opening vial. For short-term storage (1-2 weeks), store at 4ºC. For long-term storage, aliquot and store at -20ºC or below. Avoid multiple freeze-thaw cycles.
- 克隆性:
Polyclonal
- 标记物:
Unconjugated
- 适应物种:
Mouse
- 保质期:
12 months from the shipping date of the product.
- 抗原来源:
Human
- 目录编号:
GTX89002
- 级别:
Primary Antibodies
- 库存:
Available
- 供应商:
GeneTex
- 宿主:
Goat
- 应用范围:
WB, IHC-P
- 浓度:
0.50 mg/ml (Please refer to the vial label for the specific concentration.)
- 靶点:
Lactate Dehydrogenase C (aa 221 - 233)
- 抗体英文名:
Lactate Dehydrogenase C (aa 221 - 233) antibody, Internal
- 抗体名:
Lactate Dehydrogenase C (aa 221 - 233) 抗体, Internal
- 规格:
100 μg
WB analysis of mouse testes lysate using GTX89002 Lactate Dehydrogenase C (aa 221 - 233) antibody, Internal.
Dilution : 1μg/ml
Loading : 35μg protein in RIPA buffer
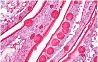
IHC-P analysis of mouse testis using GTX89002 Lactate Dehydrogenase C (aa 221 - 233) antibody, Internal.
Dilution : 1μg/ml
风险提示:丁香通仅作为第三方平台,为商家信息发布提供平台空间。用户咨询产品时请注意保护个人信息及财产安全,合理判断,谨慎选购商品,商家和用户对交易行为负责。对于医疗器械类产品,请先查证核实企业经营资质和医疗器械产品注册证情况。
文献和实验Evaluation of Antibody-Dependent Cell Cytotoxicity Using Lactate Dehydrogenase (LDH) Measurement
based on the measurement of lactate dehydrogenase (LDH) release. NK cells were purified by negative immunomagnetic selection and used as effector cells to trigger ADCC against specific target tumor cells. The LDH release measurement from lysed cells
人血小板衍化生长因子AA(PDGF-AA)ELISA试剂盒 说明书
上海西唐生物科技有限公司 021-55229872, 65333639 www.westang.com 人血小板衍化生长因子AA (PDGF-AA)ELISA 试剂盒 ( 用于血清、血浆、细胞培养上清液和其它生物体液内 ) 原理 本实验采用双抗体夹心 ABC-ELISA 法。用抗人 PDGF-AA 单抗包被于酶标板上,标准品和样品中的 PDGF-AA与单抗结合,加入生物
(either undiluted or 1:1 with PBT) or diluted polyclonal antiserum and incubate at 4 C overnight 8. Rinse with PBT 3 times, then wash 4 times for 15 minutes each 9. Add secondary antibody (usually 1:200 in PBT) and incubate 2 hours at room temperature
技术资料暂无技术资料 索取技术资料









![CD79a antibody [HM57] (PE)](https://img1.dxycdn.com/2022/0328/392/1873796415006500453-14.jpg!wh200)
