相关产品推荐更多 >
万千商家帮你免费找货
0 人在求购买到急需产品
- 详细信息
- 文献和实验
- 技术资料
- 免疫原:
Synthetic peptide corresponding to aa 379-396 of human CD116
- 形态:
Liquid
- 保存条件:
Store as concentrated solution. Centrifuge briefly prior to opening vial. Store at 4ºC. DO NOT FREEZE.
- 克隆性:
Polyclonal
- 标记物:
Unconjugated
- 适应物种:
Human
- 保质期:
12 months from the shipping date of the product.
- 抗原来源:
Human
- 目录编号:
GTX85887
- 级别:
Primary Antibodies
- 库存:
Available
- 供应商:
GeneTex
- 宿主:
Rabbit
- 应用范围:
WB, IHC-P
- 浓度:
0.2 mg/ml (Please refer to the vial label for the specific concentration.)
- 靶点:
GM-CSF Receptor alpha
- 抗体英文名:
GM-CSF Receptor alpha antibody
- 抗体名:
GM-CSF Receptor alpha 抗体
- 规格:
25 μg
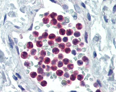
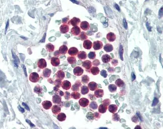
Human Neutrophils (formalin-fixed, paraffin-embedded) stained with CSF2RA antibody (GTX85887) at 10 ug/ml followed by biotinylated goat anti-rabbit IgG secondary antibody LS-D1, alkaline phosphatase-streptavidin and chromogen.
风险提示:丁香通仅作为第三方平台,为商家信息发布提供平台空间。用户咨询产品时请注意保护个人信息及财产安全,合理判断,谨慎选购商品,商家和用户对交易行为负责。对于医疗器械类产品,请先查证核实企业经营资质和医疗器械产品注册证情况。
文献和实验Interferon Alpha, GM-CSF-Activated T Cells, and IL-6 in Renal Cell Carcinoma
Treatment of renal cell carcinoma (RCC) has historically involved surgical removal of the primary tumor when localized, but when presented with metastatic disease the options have been limited. Approximately 30% of patients present
PPAR-Alpha Cloning, Expression, and Characterization
Peroxisome proliferator-activated receptor α (PPARα) is a member of the nuclear/steroid receptor gene superfamily that also comprises β, δ, and γ isoforms. PPARα is a ligand-activated transcription factor that plays
Acute myeloid leukemia (AML) has an annual incidence of 2.4 cases per 100,000 persons and is the most common form of acute leukemia in adults (1 , 2 ). AML is a model for drug-resistant human cancers, and current therapies for AML possess
技术资料暂无技术资料 索取技术资料







![Rhodopsin antibody [1D4] (Biotin)](https://img1.dxycdn.com/2022/0328/137/1875517274271700453-14.jpg!wh200)



