相关产品推荐更多 >
万千商家帮你免费找货
0 人在求购买到急需产品
- 详细信息
- 文献和实验
- 技术资料
- 免疫原:
Synthetic peptide from human MYL9.
- 亚型:
IgG
- 形态:
Liquid
- 保存条件:
Store as concentrated solution. Centrifuge briefly prior to opening vial. For short-term storage (1-2 weeks), store at 4ºC. For long-term storage, aliquot and store at -20ºC or below. Avoid multiple freeze-thaw cycles.
- 克隆性:
Polyclonal
- 标记物:
Unconjugated
- 适应物种:
Human, Mouse, Rat
- 保质期:
12 months from the shipping date of the product.
- 抗原来源:
Human
- 目录编号:
GTX85778
- 级别:
Primary Antibodies
- 库存:
Available
- 供应商:
GeneTex
- 宿主:
Rabbit
- 应用范围:
WB, IHC-P, IP, ELISA
- 浓度:
1 mg/ml (Please refer to the vial label for the specific concentration.)
- 靶点:
Myosin Light Chain 2
- 抗体英文名:
Myosin Light Chain 2 antibody
- 抗体名:
Myosin Light Chain 2 抗体
- 规格:
50 μg
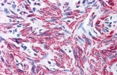
IHC-P analysis of human smooth muscle tissue using GTX85778 Myosin Light Chain 2 antibody.
Antigen retrieval : Heat-induced antigen retrieval
Dilution : 2.5 μg/ml
WB analysis of vascular myosin (rat aorta, lane 1) and cardiac myosin (mouse heart, lane2) using GTX85778 Myosin Light Chain 2 antibody.
Dilution : 1:600
风险提示:丁香通仅作为第三方平台,为商家信息发布提供平台空间。用户咨询产品时请注意保护个人信息及财产安全,合理判断,谨慎选购商品,商家和用户对交易行为负责。对于医疗器械类产品,请先查证核实企业经营资质和医疗器械产品注册证情况。
文献和实验Myosin Light Chain Preparation
in lyophilizer bottles and freeze in liquid nitrogen.Put on lyophilizer and leave until dry (overnight or over weekend). Day 5 22.Resuspend separate light chain pools 1 and 2 in a small volume of Dialyzing Solution G.Pipette into dialyzing tubing (size #20
Purification of Myosin Light Chain Kinase
RPM (4℃).Filter the supernatant through glass wool and discard the pellet (or save for light chain prep).Save 1 ml of supernatant (4℃)for assay.Add pepstatin and TLCK to final concentrations of 1 μg/ml and 40 Og/ml,respectively. Volume of supernatant
构成肌球蛋白的低分子量(1.5— 2.5万)的亚单位。一分子肌球蛋白有 4个。肌球蛋白有在腺苷三磷酸酶( ATP ase)作用中不可缺少的基本 L链和调节 ATP ase作用的调节 L链。从兔的白肌除去调节 L链( L2 :由 168个氨基酸所成)不影响肌球蛋白的作用。基本 L链( L1 ∶ 190个氨基酸、 L3 ∶ 149个氨基酸)是必要的。兔白肌的肌球蛋白分子,根据 L链的不同而分为 3种,即每分子肌球蛋白中都含有两个 L2 ,其它两个则因种类不同而异,即分 L1
技术资料暂无技术资料 索取技术资料







![IDH1 (R132S Mutant) antibody [R132S]](https://img1.dxycdn.com/2022/0328/560/9938284018190800453-14.jpg!wh200)



