相关产品推荐更多 >
万千商家帮你免费找货
0 人在求购买到急需产品
- 详细信息
- 技术资料
- 免疫原:
Synthetic peptide located between amino acids 1-150 of B3KRV8
- 亚型:
IgG
- 形态:
Liquid
- 保存条件:
Store as concentrated solution. Centrifuge briefly prior to opening vial. For short-term storage (1-2 weeks), store at 4ºC. For long-term storage, aliquot and store at -20ºC or below. Avoid multiple freeze-thaw cycles.
- 克隆性:
Polyclonal
- 标记物:
Unconjugated
- 适应物种:
Human, Mouse, Rat, Bovine
- 保质期:
12 months from the shipping date of the product.
- 抗原来源:
Human
- 目录编号:
GTX85729
- 级别:
Primary Antibodies
- 库存:
Available
- 供应商:
GeneTex
- 宿主:
Rabbit
- 应用范围:
WB, IHC-P, ELISA
- 浓度:
1 mg/ml (Please refer to the vial label for the specific concentration.)
- 靶点:
Expect cross reactivity with multiple isoforms of this protein.
- 抗体英文名:
CASZ1 antibody
- 抗体名:
CASZ1 抗体
- 规格:
25 μg
WB analysis of various sample lysates using GTX85729 CASZ1 antibody.
Lane 1 : AS cells transfected with empty vector
Lane 2 : AS cells transfected with hCas5
Lane 3 : BE2 cells
Lane 4 : human muscle tissue
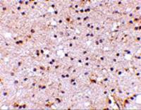
IHC-P analysis of human lung tissue using GTX85729 CASZ1 antibody.
Antigen retrieval : Heat-induced antigen retrieval
Dilution : 5 μg/ml
风险提示:丁香通仅作为第三方平台,为商家信息发布提供平台空间。用户咨询产品时请注意保护个人信息及财产安全,合理判断,谨慎选购商品,商家和用户对交易行为负责。对于医疗器械类产品,请先查证核实企业经营资质和医疗器械产品注册证情况。
技术资料暂无技术资料 索取技术资料





![UPK1B antibody [MSVA-734M] HistoMAX](https://custom.dxycdn.com/trademd/upload/pic/2013/11/12/A1383891150.jpg!small.t.1)
![OSBPL11 antibody [6H9]](https://img1.dxycdn.com/2022/0328/107/8851500358328500453-14.jpg!wh200)


![CD4 antibody [RPA-T4] (Low endotoxin, azide free)](https://img1.dxycdn.com/2022/0328/158/9446981379354400453-14.jpg!wh200)
