相关产品推荐更多 >
万千商家帮你免费找货
0 人在求购买到急需产品
- 详细信息
- 文献和实验
- 技术资料
- 免疫原:
A recombinant His-tagged protein fragment corresponding to the extracellular region of human DC-SIGN.
- 亚型:
IgG1
- 形态:
Liquid
- 保存条件:
Store as concentrated solution. Centrifuge briefly prior to opening vial. For short-term storage (1-2 weeks), store at 4ºC. For long-term storage, aliquot and store at -20ºC or below. Avoid multiple freeze-thaw cycles.
- 克隆性:
Monoclonal
- 标记物:
Unconjugated
- 适应物种:
Human
- 保质期:
12 months from the shipping date of the product.
- 抗原来源:
Human
- 目录编号:
GTX84993
- 级别:
Primary Antibodies
- 库存:
Available
- 供应商:
GeneTex
- 宿主:
Mouse
- 应用范围:
WB, IHC-P, ELISA
- 浓度:
1 mg/ml (Please refer to the vial label for the specific concentration.)
- 靶点:
DC-SIGN
- 抗体英文名:
DC-SIGN antibody [8B6]
- 抗体名:
DC-SIGN 抗体 [8B6]
- 规格:
100 μg
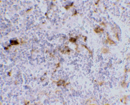
IHC-P analysis of lymph node tissue using GTX84993 DC-SIGN antibody [8B6].
Working concentration : 10 μg/ml
WB analysis of human uterus tissue lysate using GTX84993 DC-SIGN antibody [8B6].
Working concentration : (A) 1 and (B) 2 μg/ml
风险提示:丁香通仅作为第三方平台,为商家信息发布提供平台空间。用户咨询产品时请注意保护个人信息及财产安全,合理判断,谨慎选购商品,商家和用户对交易行为负责。对于医疗器械类产品,请先查证核实企业经营资质和医疗器械产品注册证情况。
文献和实验1 A transmembrane CXC chemokine is a ligand for HIV-coreceptor Bonzo DC-SIGN � ICAM-2 interaction mediates dendritic cell trafficking Cytokines, virokines and the evolution of immunity
Intracellular Cytokine Staining Protocol
anti-cytokine antibodies with excess amounts of unlabeled antibody. Alternatively, recombinant cytokines can be used for blocking.eBioscience antibodies are available as Functional Grade (FG) Purified (sterile, endotoxin-tested, no azide), Purified
Intracellular Cytokine Staining Protocol
, it is common to block the directly-conjugated anti-cytokine antibodies with excess amounts of unlabeled antibody. Alternatively, recombinant cytokines can be used for blocking. eBioscience antibodies are available as Functional Grade (FG) Purified (sterile
技术资料暂无技术资料 索取技术资料






![Neurotrophin 4 antibody [31A1]](https://img1.dxycdn.com/2022/0328/938/0795621945689400453-14.jpg!wh200)
![DR4 antibody [32A1380]](https://img1.dxycdn.com/2022/0328/931/4264651200703300453-14.jpg!wh200)
![c-Jun antibody [5B1]](https://img1.dxycdn.com/2022/0328/055/7826579668992500453-14.jpg!wh200)

