相关产品推荐更多 >
万千商家帮你免费找货
0 人在求购买到急需产品
- 详细信息
- 文献和实验
- 技术资料
- 免疫原:
Full-length protein expressed in 293T cell transfected with human CD2 expression vector
- 亚型:
IgG1
- 形态:
Liquid
- 保存条件:
Store as concentrated solution. Centrifuge briefly prior to opening vial. For short-term storage (1-2 weeks), store at 4ºC. For long-term storage, aliquot and store at -20ºC or below. Avoid multiple freeze-thaw cycles.
- 克隆性:
Monoclonal
- 标记物:
Unconjugated
- 适应物种:
Human
- 保质期:
12 months from the shipping date of the product.
- 抗原来源:
Human
- 目录编号:
GTX84725
- 级别:
Primary Antibodies
- 库存:
Available
- 供应商:
GeneTex
- 宿主:
Mouse
- 应用范围:
WB, IHC-P
- 浓度:
1 mg/ml (Please refer to the vial label for the specific concentration.)
- 靶点:
CD2
- 抗体英文名:
CD2 antibody [9D1]
- 抗体名:
CD2 抗体 [9D1]
- 规格:
100 μl
IHC-P analysis of human lymphoma tissue using GTX84725 CD2 antibody [9D1].
Antigen retrieval : Heat-induced epitope retrieval by 10mM citrate buffer, pH6.0, 120ºC for 3min.
WB analysis of HEK293T cells transfected with CD2 plasmid (Right) or empty vector (Left) for 48 hrs using GTX84725 CD2 antibody [9D1].
Loading : 5 ug per lane
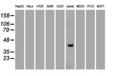
WB analysis of various cell lines using GTX84725 CD2 antibody [9D1].
Loading : 35 ug per lane
IHC-P analysis of human tonsil tissue using GTX84725 CD2 antibody [9D1].
风险提示:丁香通仅作为第三方平台,为商家信息发布提供平台空间。用户咨询产品时请注意保护个人信息及财产安全,合理判断,谨慎选购商品,商家和用户对交易行为负责。对于医疗器械类产品,请先查证核实企业经营资质和医疗器械产品注册证情况。
文献和实验Expression of Cell Surface Antigens on Mast Cells: Mast Cell Phenotyping
, adhesion molecules, and activation-linked membrane determinants. Several of these antigens (CD2, CD25, CD35, CD88, CD203c) appear to be upregulated on MCs in patients with systemic mastocytosis and therefore are used as diagnostic markers. Quantitative
MATERIALS T-cell: CD2 IgG2b, 01171D B-cell: B220 (CD45R) IgG2a, 01121A CD3 IgG2b, 28001D Monocytic: Mac1 (CD11b) IgG2b, 01711A CD5 IgG2a, 01031
Intracellular Cytokine Staining Protocol
anti-cytokine antibodies with excess amounts of unlabeled antibody. Alternatively, recombinant cytokines can be used for blocking.eBioscience antibodies are available as Functional Grade (FG) Purified (sterile, endotoxin-tested, no azide), Purified
技术资料暂无技术资料 索取技术资料






![Bacillus anthracis Lethal Factor antibody [5F502.2]](https://img1.dxycdn.com/2022/0329/938/6443216705714020453-14.jpg!wh200)


![CD57 antibody [4G2]](https://img1.dxycdn.com/2022/0328/315/8051552164332700453-14.jpg!wh200)

