相关产品推荐更多 >
万千商家帮你免费找货
0 人在求购买到急需产品
- 详细信息
- 文献和实验
- 技术资料
- 免疫原:
SR-BI antibody was raised against a 15 amino acid synthetic peptide near the amino terminus of human SR-BI.The immunogen is located within amino acids 70 - 120 of SR-BI.
- 亚型:
IgG
- 形态:
Liquid
- 保存条件:
Store as concentrated solution. Centrifuge briefly prior to opening vial. For short-term storage (1-2 weeks), store at 4ºC. For long-term storage, aliquot and store at -20ºC or below. Avoid multiple freeze-thaw cycles.
- 克隆性:
Polyclonal
- 标记物:
Unconjugated
- 适应物种:
Human, Mouse, Rat
- 保质期:
12 months from the shipping date of the product.
- 抗原来源:
Human
- 目录编号:
GTX31791
- 级别:
Primary Antibodies
- 库存:
Available
- 供应商:
GeneTex
- 宿主:
Rabbit
- 应用范围:
WB, IHC-P, ELISA
- 浓度:
1 mg/ml (Please refer to the vial label for the specific concentration.)
- 靶点:
At least two isoforms of SCARB1 are known to exist; this antibody can detect both isoforms.
- 抗体英文名:
SR-BI antibody
- 抗体名:
SR-BI 抗体
- 规格:
100 μg
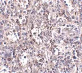
IHC-P analysis of human spleen tissue using GTX31791 SR-BI antibody.
Working concentration : 20 μg/ml
IHC-P analysis of human spleen tissue using GTX31791 SR-BI antibody.
Working concentration : 2.5 μg/ml
WB analysis of human spleen tissue lysate using GTX31791 SR-BI antibody.
Working concentration : (A) 1 and (B) 2 μg/ml
风险提示:丁香通仅作为第三方平台,为商家信息发布提供平台空间。用户咨询产品时请注意保护个人信息及财产安全,合理判断,谨慎选购商品,商家和用户对交易行为负责。对于医疗器械类产品,请先查证核实企业经营资质和医疗器械产品注册证情况。
文献和实验Purification of SR Protein Splicing Factors
In recent years, the SR protein family of precursor messenger RNA splicing factors has emerged as a key player in the assembly of the spliceosomal machinery onto pre-mRNA. The SR proteins are essential splicing factors and different family
清道夫受体 (scavenger receptor , SR) 是固有免疫中一类重要的模式识别受体,分为多种类型,主要为SRA和SRB,可能还包括SRC等,其中各自又由不同的分子组成。 注:M。:单核细胞;P1t:血小板;LTA:淋巴毒素。;LDL:低密度脂蛋白。MARCO:带胶原结构的巨噬细胞受体;LOX-1:凝集素样氧化低密度脂蛋白受体;SREC:内 皮细胞表达的清道夫受体。 SPA为三聚体缠绕的糖蛋白跨膜分子,各带有5个不同的结构域。其中胶原样结构
Side directed mutagenesis with 17kb plasmid-Molecular Bi
Hey everybody, I am working on a side-directed mutagenesis with the Stratagene℃ quickchange mutagenesis xl-kit. Here is my problem: My plasmid is 17kb big. Until now I have had no colonies on my plate. According to Stratagene℃ protocol, I used
技术资料暂无技术资料 索取技术资料





![CD20 antibody [2H7] (PE-Cy7)](https://img1.dxycdn.com/2022/0328/962/5217756584906700453-14.jpg!wh200)
![SOCS3 antibody [SO1]](https://img1.dxycdn.com/2022/0329/625/6127009424544020453-14.jpg!wh200)
![Valyl tRNA synthetase antibody [N1N2], N-term](https://img1.dxycdn.com/2022/0328/415/8393341278080300453-14.jpg!wh200)



