相关产品推荐更多 >
万千商家帮你免费找货
0 人在求购买到急需产品
- 详细信息
- 文献和实验
- 技术资料
- 免疫原:
Human recombinant protein fragment corresponding to amino acids 22-168 of human LOX (NP_002308) produced in HEK293T cell.
- 亚型:
IgG1
- 形态:
Liquid
- 保存条件:
Store as concentrated solution. Centrifuge briefly prior to opening vial. For short-term storage (1-2 weeks), store at 4ºC. For long-term storage, aliquot and store at -20ºC or below. Avoid multiple freeze-thaw cycles.
- 克隆性:
Monoclonal
- 标记物:
Unconjugated
- 适应物种:
Human
- 保质期:
12 months from the shipping date of the product.
- 抗原来源:
Human
- 目录编号:
GTX84189
- 级别:
Primary Antibodies
- 库存:
Available
- 供应商:
GeneTex
- 宿主:
Mouse
- 应用范围:
WB, ICC/IF, IHC-P
- 浓度:
1 mg/ml (Please refer to the vial label for the specific concentration.)
- 靶点:
LOX
- 抗体英文名:
LOX antibody [9A11]
- 抗体名:
LOX 抗体 [9A11]
- 规格:
100 μl
IHC-P analysis of human colon tissue using GTX84189 LOX antibody [9A11].
Antigen retrieval : Heat-induced epitope retrieval by 10mM citrate buffer, pH6.0, 100ºC for 10min.
ICC/IF analysis of HepG2 cells using GTX84189 LOX antibody [9A11].
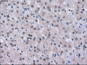
IHC-P analysis of human liver tissue using GTX84189 LOX antibody [9A11].
Antigen retrieval : Heat-induced epitope retrieval by 10mM citrate buffer, pH6.0, 100ºC for 10min.
ICC/IF analysis of COS7 cells transiently transfected with LOX plasmid using GTX84189 LOX antibody [9A11].
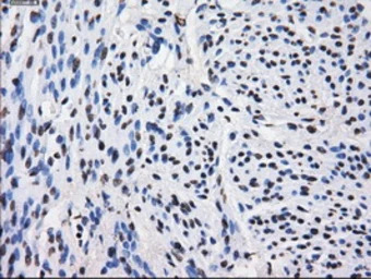
IHC-P analysis of human endometrium tissue using GTX84189 LOX antibody [9A11].
Antigen retrieval : Heat-induced epitope retrieval by 10mM citrate buffer, pH6.0, 100ºC for 10min.
WB analysis of HEK293T cells transfected with LOX plasmid (Right) or empty vector (Left) for 48 hrs using GTX84189 LOX antibody [9A11].
Loading : 5 ug per lane
风险提示:丁香通仅作为第三方平台,为商家信息发布提供平台空间。用户咨询产品时请注意保护个人信息及财产安全,合理判断,谨慎选购商品,商家和用户对交易行为负责。对于医疗器械类产品,请先查证核实企业经营资质和医疗器械产品注册证情况。
文献和实验mTn-3xHA/lacZ TR Tn3 terminal inverted repeats Xa Factor Xa cleavage recognition site loxR lox site, target for Cre recombinase
mTn-3xHA/GFP TR Tn3 terminal inverted repeats Xa Factor Xa cleavage recognition site loxR lox site, target for Cre recombinase
elements and palindromic lox regions should be avoided. Using the excision feature to HAT-epitope tag a proteinA leu2 ura3 GAL+ yeast strain is required. When transposon insertion has created an in-frame fusion to lacZ in the gene
技术资料暂无技术资料 索取技术资料










