相关产品推荐更多 >
万千商家帮你免费找货
0 人在求购买到急需产品
- 详细信息
- 文献和实验
- 技术资料
- 免疫原:
Mouse Dendritic cells (DCs)
- 亚型:
IgG2
- 形态:
Liquid
- 保存条件:
Store as concentrated solution. Centrifuge briefly prior to opening vial. For short-term storage (1-2 weeks), store at 4ºC. For long-term storage, aliquot and store at -20ºC or below. Avoid multiple freeze-thaw cycles.
- 克隆性:
Monoclonal
- 标记物:
Unconjugated
- 适应物种:
Mouse
- 保质期:
12 months from the shipping date of the product.
- 抗原来源:
Mouse
- 目录编号:
GTX53132
- 级别:
Primary Antibodies
- 库存:
Available
- 供应商:
GeneTex
- 宿主:
Rat
- 应用范围:
IHC-P, FACS
- 浓度:
500 μg/ml (Please refer to the vial label for the specific concentration.)
- 靶点:
Dendritic Cell Marker
- 抗体英文名:
Dendritic Cell Marker antibody [MAB0801]
- 抗体名:
Dendritic Cell Marker 抗体 [MAB0801]
- 规格:
100 μg
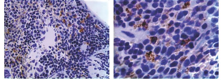
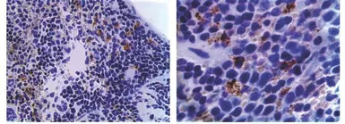
IHC-P analysis of formalin fixed mouse spleen tissue section using GTX53132 Dendritic Cell Marker antibody [MAB0801].
Left panel : 20X
Right panel : 40X
风险提示:丁香通仅作为第三方平台,为商家信息发布提供平台空间。用户咨询产品时请注意保护个人信息及财产安全,合理判断,谨慎选购商品,商家和用户对交易行为负责。对于医疗器械类产品,请先查证核实企业经营资质和医疗器械产品注册证情况。
文献和实验Hatakeyama M et al., J Immunol 2017 (PMID:28893957)
T-Cell Activation Using mAb to CD3
splenic T-cells and human peripheral T cells stimulated via CD3. Critical parameters include cell density, antibody titer and activation kinetics. Materials 1X sterile PBS Anti-mouse CD3e, Clone 145-2C11 (Functional Grade, Cat. No. 16
Uptake of Antigen-Antibody Complexes by Human Dendritic Cells
-specific T cells, leading to their expansion and maturation into effector T-cell populations. This chapter describes methodology currently in use to explore and manipulate antigen-antibody (Ag-Ab) uptake by FcyR expressed on DC.
Clinical Analysis of Dendritic Cell Subsets: The Dendritogram
Dendritic cells (DCs) are crucial in adaptive immunity because they are the only antigen-presenting cells that can present antigens to naive T lymphocytes. Plasmacytoid DCs (pDC) are also the main producers of type I Interferons in response
技术资料暂无技术资料 索取技术资料





![Fascin 1 antibody [FSCN1/417]](https://img1.dxycdn.com/2022/0328/179/7586513595360700453-14.jpg!wh200)
![Cathepsin Z antibody [AT6G11]](https://img1.dxycdn.com/2022/0328/926/8947874678500500453-14.jpg!wh200)

![CD20 antibody [rIGEL/773]](https://img1.dxycdn.com/2022/0328/938/6571144889310700453-14.jpg!wh200)

