相关产品推荐更多 >
万千商家帮你免费找货
0 人在求购买到急需产品
- 详细信息
- 询价记录
- 文献和实验
- 技术资料
- 免疫原:
Full-length protein expressed in 293T cell transfected with human STK3 expression vector
- 亚型:
IgG2b
- 形态:
Liquid
- 保存条件:
Store as concentrated solution. Centrifuge briefly prior to opening vial. For short-term storage (1-2 weeks), store at 4ºC. For long-term storage, aliquot and store at -20ºC or below. Avoid multiple freeze-thaw cycles.
- 克隆性:
Monoclonal
- 标记物:
Unconjugated
- 适应物种:
Human, Mouse, Dog, Monkey
- 保质期:
12 months from the shipping date of the product.
- 抗原来源:
Human
- 目录编号:
GTX83546
- 级别:
Primary Antibodies
- 库存:
Available
- 供应商:
GeneTex
- 宿主:
Mouse
- 应用范围:
WB, IHC-P
- 浓度:
1 mg/ml (Please refer to the vial label for the specific concentration.)
- 靶点:
STK3
- 抗体英文名:
STK3 antibody [4G10]
- 抗体名:
STK3 抗体 [4G10]
- 规格:
100 μl
IHC-P analysis of ovary tissue using GTX83546 STK3 antibody [4G10].
Antigen retrieval : Heat-induced epitope retrieval by 10mM citrate buffer, pH6.0, 100ºC for 10min.
Dilution : 1:50
IHC-P analysis of endometrium tissue using GTX83546 STK3 antibody [4G10].
Antigen retrieval : Heat-induced epitope retrieval by 10mM citrate buffer, pH6.0, 100ºC for 10min.
Dilution : 1:50
WB analysis of various samples using GTX83546 STK3 antibody [4G10].
Loading : 10 ug per lane
Dilution : 1:200
WB analysis of human tissues (Lane 1-Testis ; Lane 2-Omentum ; Lane 3-Uterus ; Lane 4-Breast ; Lane 5-Brain ; Lane 6-Liver ; Lane 7-Ovary ; Lane 8-Thyroid gland ; Lane 9-colon ; Lane 10-spleen) using GTX83546 STK3 antibody [4G10].
Loading : 10 ug per lane
Dilution : 1:200
IHC-P analysis of lung tissue using GTX83546 STK3 antibody [4G10].
Antigen retrieval : Heat-induced epitope retrieval by 10mM citrate buffer, pH6.0, 100ºC for 10min.
Dilution : 1:50
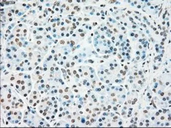
IHC-P analysis of kidney carcinoma tissue using GTX83546 STK3 antibody [4G10].
Antigen retrieval : Heat-induced epitope retrieval by 10mM citrate buffer, pH6.0, 100ºC for 10min.
Dilution : 1:50
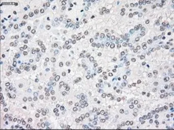
IHC-P analysis of kidney tissue using GTX83546 STK3 antibody [4G10].
Antigen retrieval : Heat-induced epitope retrieval by 10mM citrate buffer, pH6.0, 100ºC for 10min.
Dilution : 1:50
WB analysis of HEK293T cells transfected with STK3 plasmid (Right) or empty vector (Left) for 48 hrs using GTX83546 STK3 antibody [4G10].
Loading : 5 ug per lane
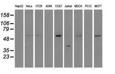
WB analysis of various cell lines using GTX83546 STK3 antibody [4G10].
Loading : 35 ug per lane
IHC-P analysis of liver tissue using GTX83546 STK3 antibody [4G10].
Antigen retrieval : Heat-induced epitope retrieval by 10mM citrate buffer, pH6.0, 100ºC for 10min.
Dilution : 1:50
IHC-P analysis of colon adenocarcinoma tissue using GTX83546 STK3 antibody [4G10].
Antigen retrieval : Heat-induced epitope retrieval by 10mM citrate buffer, pH6.0, 100ºC for 10min.
Dilution : 1:50
IHC-P analysis of colon tissue using GTX83546 STK3 antibody [4G10].
Antigen retrieval : Heat-induced epitope retrieval by 10mM citrate buffer, pH6.0, 100ºC for 10min.
Dilution : 1:50
IHC-P analysis of pancreas tissue using GTX83546 STK3 antibody [4G10].
Antigen retrieval : Heat-induced epitope retrieval by 10mM citrate buffer, pH6.0, 100ºC for 10min.
Dilution : 1:50
风险提示:丁香通仅作为第三方平台,为商家信息发布提供平台空间。用户咨询产品时请注意保护个人信息及财产安全,合理判断,谨慎选购商品,商家和用户对交易行为负责。对于医疗器械类产品,请先查证核实企业经营资质和医疗器械产品注册证情况。
- 作者
- 内容
- 询问日期
文献和实验Enrichment of Phosphotyrosine Proteome of Human Platelets by Immunoprecipitation
Proteomics offers the opportunity to comprehensively investigate the anucleate platelet. Here, we present a detailed procedure for enrichment by immunoprecipitation, using the monoclonal antibody 4G10, of the dynamic phosphotyrosine proteome
技术资料暂无技术资料 索取技术资料








![GLP1 antibody [10] (Biotin)](https://img1.dxycdn.com/2022/0329/891/0733113810457020453-14.jpg!wh200)

