相关产品推荐更多 >
万千商家帮你免费找货
0 人在求购买到急需产品
- 详细信息
- 文献和实验
- 技术资料
- 形态:
Liquid
- 保存条件:
Store as concentrated solution. Centrifuge briefly prior to opening vial. Store at 4ºC. DO NOT FREEZE.
- 标记物:
HRP
- 适应物种:
Mouse, Rat, Rabbit
- 保质期:
12 months from the shipping date of the product.
- 目录编号:
GTX83398
- 级别:
Secondary Antibodies
- 库存:
Available
- 供应商:
GeneTex
- 应用范围:
WB, IHC-P, IHC
- 浓度:
Batch dependent (Please refer to the vial label for the specific concentration.)
- 抗体英文名:
OneStep Polymer HRP anti-mouse/rat/rabbit (Ready-to-Use)
- 抗体名:
OneStep Polymer HRP anti-mouse/rat/rabbit (Ready-to-Use)
- 规格:
100 test
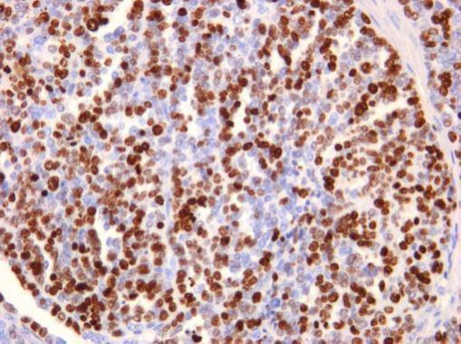
Human tonsil tissue sections stain with mouse anti-Ki67 primary antibody and detected using GeneTex
OneStep Polymer (incubation time, 15 minutes at RT).
风险提示:丁香通仅作为第三方平台,为商家信息发布提供平台空间。用户咨询产品时请注意保护个人信息及财产安全,合理判断,谨慎选购商品,商家和用户对交易行为负责。对于医疗器械类产品,请先查证核实企业经营资质和医疗器械产品注册证情况。
文献和实验Kang N et al., J Ethnopharmacol 2021 (PMID:32980486)
Chen YH et al., Cancer Manag Res 2020 (PMID:32606957)
Kang N et al., Molecules 2018 (PMID:29899232)
Xu F et al., Diabetes 2014 (PMID:24947350)
Kamp JC et al., Int J Mol Sci 2023 (PMID:36768808)
Chen YH et al., Cancers (Basel) 2023 (PMID:36672499)
Ya-Hui Chen et al., Cancers (Basel) 2021 (PMID:34572837)
Ya-Hui Chen et al., Cancers (Basel) 2022 (PMID:35406599)
Yang S et al., Am J Physiol Endocrinol Metab 2020 (PMID:32985256)
by staining in simple IHC the relevant heterologous primary antibodies. E.g. many goat anti mouse IgG1 heavy chain do stain rat IgG2a and IgG2b . Procedure: First stain HRP Developing solution Second stain AP
-biotin peroxidase(e.g rabbit anti antigen X, goat anti-rabbit biotin, avidin HRP) 1- Wash twice in TBS 0.05M pH7.5, to which 0.01% Tween 20 has been added. 2- Briefly blot
Mapping Protein Distributions on Polytene Chromosomes by Immunostaining
serum, obtained from the same species as the secondary antibody. Depending on the method employed, use anti-rabbit IgG (Fc) horseradish peroxidase (HRP) conjugate (1:100 dilution), a biotin-conjugated secondary antibody, or a fluorescence-conjugated
技术资料暂无技术资料 索取技术资料







