相关产品推荐更多 >
万千商家帮你免费找货
0 人在求购买到急需产品
- 详细信息
- 文献和实验
- 技术资料
- 供应商:
爱必信(上海)生物科技有限公司
- 库存:
现货
- 靶点:
-
- 级别:
-
- 目录编号:
-
- 克隆性:
-
- 抗原来源:
-
- 保质期:
Store at 2-8℃ for one year.
- 抗体英文名:
Goat anti-Rabbit and Mouse IgG (H+L) (specific for IHC) , OneStep polymer HRP, ready to use
- 抗体名:
Goat anti-Rabbit and Mouse IgG (H+L) (specific for IHC) , OneStep polymer HRP, ready to use
- 标记物:
-
- 宿主:
Goat
- 适应物种:
Rabbit, Ms
- 免疫原:
-
- 亚型:
-
- 形态:
Liquid with red color
- 应用范围:
IHC
- 保存条件:
Store at 2-8℃ for one year.
- 浓度:
-
- 规格:
5mL/25mL/50mL
| 规格: | 5mL | 产品价格: | ¥600.0 |
|---|---|---|---|
| 规格: | 25mL | 产品价格: | ¥1700.0 |
| 规格: | 50mL | 产品价格: | ¥3000.0 |
| 宿主 | Goat |
| 反应种属 | Rabbit, Ms |
| 应用 | IHC |
| 形式 | Liquid with red color |
| 纯化方法 | affinity purification |
| 类型 | Polyclonal antibody |
| 储存/保存方法 | Store at 2-8℃ for one year. |
| 标记 | HRP |
| 背景说明 | OneStep polymer HRP Goat anti-Rabbit and Mouse IgG (H+L) (specific for IHC) utilized the newest biotin-free polymerization technology to prepare super sensitive polymeric peroxidase linked conjugates. It utilizes a novel controlled and compact enzyme polymerization technology to achieve higher sensitivity without background. It provides on step detection protocol, superior sensitivity and specificity, short incubation time and faster turnaround. Prior to staining the formalin-fixed paraffin tissue sections should be deparaffinized and hydrated following heat-induced epitope retrieval or enzyme pretreatment. Endogenous peroxidase should be blocked. Then add primary antibody and incubate at optimal titration and condition. After that add OneStep polymer HRP Goat anti-Rabbit and Mouse IgG (H+L) (specific for IHC) and incubate for 10-15 minutes. Polymer HRP will catalyze DAB to form visible brown deposit at the antigen site. When color development achieved satisfactory level, the slides are washed in water to stop reaction. The stained slides may be mounted with either aqueous mounting or organic mounting medium. |
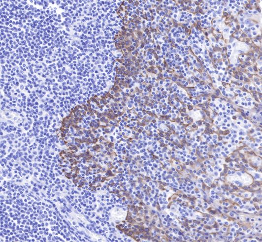
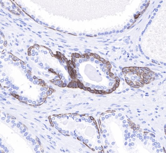
实验结果图
![]() |
IHC shows positive staining in paraffin-embedded human tonsil. Anti-Keratin 5 antibody was used at 1/4000 dilution, Secondary antibody: #abs20148 Counterstained with hematoxylin. Heat mediated antigen retrieval with Tris/EDTA buffer pH9.0 was performed before commencing with IHC staining protocol. |
![]() |
IHC shows positive staining in paraffin-embedded human prostate. Anti-Keratin 5 antibody was used at 1/4000 dilution, Secondary antibody: #abs20148 Counterstained with hematoxylin. Heat mediated antigen retrieval with Tris/EDTA buffer pH9.0 was performed before commencing with IHC staining protocol. |
风险提示:丁香通仅作为第三方平台,为商家信息发布提供平台空间。用户咨询产品时请注意保护个人信息及财产安全,合理判断,谨慎选购商品,商家和用户对交易行为负责。对于医疗器械类产品,请先查证核实企业经营资质和医疗器械产品注册证情况。
文献和实验
Isotype-specific immunostaining with mouse primary antibodies on mouse tissue
) Briefly, substitute your anti H+L pan-reactive secondary antibody with an anti-isotype heavy chain specific secondary. Be aware of possible odd crossreactivties (e.g. many goat anti mouse IgG 1 heavy chain do stain rat IgG 2a
我是用来做筛选IgG型单克隆抗体,用它做二抗,筛到的阳性克隆化和扩大培养后用SIGMA亚类试剂盒鉴定却是IgM,郁闷!!!这个试剂盒能与IGM交叉?是不是抗轻链?我这种方式不对吗?谁知道有较好的抗鼠IgG而与IgM不交叉的抗体?? 试剂盒说明书:Anti-mouse IgG-HRP Antibody FOR RESEARCH USE ONLY. NOT FOR USE IN HUMANS. R&D Systems, Inc. 1-800-343-7475 2/21/06
Immunohistochemistry (IHC) of Thymus Frozen Sections
Materials Cold Acetone (-20ºC) in Coplin jars PBS, BenchKote paper, plastic lids Anti-digoxigenin-HRP diluent: 1% BSA in PBS (store 10 mL aliquots of BSA at -20ºC) Anti-rat-digoxigenin diluent: 5% Milk powder, 10% mouse serum, 10% goat











