相关产品推荐更多 >
万千商家帮你免费找货
0 人在求购买到急需产品
- 详细信息
- 文献和实验
- 技术资料
- 免疫原:
Purified recombinant fragment of human DDX4 expressed in E. Coli.
- 亚型:
IgG1
- 形态:
Liquid
- 保存条件:
Store as concentrated solution. Centrifuge briefly prior to opening vial. For short-term storage (1-2 weeks), store at 4ºC. For long-term storage, aliquot and store at -20ºC or below. Avoid multiple freeze-thaw cycles.
- 克隆性:
Monoclonal
- 标记物:
Unconjugated
- 适应物种:
Human
- 保质期:
12 months from the shipping date of the product.
- 抗原来源:
Human
- 目录编号:
GTX83289
- 级别:
Primary Antibodies
- 库存:
Available
- 供应商:
GeneTex
- 宿主:
Mouse
- 应用范围:
WB, ICC/IF, IHC-P, FACS, ELISA
- 靶点:
DDX4
- 抗体英文名:
DDX4 antibody [2F9H5]
- 抗体名:
DDX4 抗体 [2F9H5]
- 规格:
100 μl
WB analysis of DDX4-hIgGFc transfected HEK293 cell lysate using GTX83289 DDX4 antibody [2F9H5].
FACS analysis of MSCS cells using GTX83289 DDX4 antibody [2F9H5].
Green : DDX4
Purple : negative control
ICC/IF analysis of MSCs(left) and NTERA-2 (right) cells using GTX83289 DDX4 antibody [2F9H5].
Green : DDX4
Red: Actin filaments
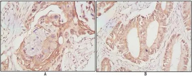
IHC-P analysis of human lung cancer (A) and rectal cancer (B) using GTX83289 DDX4 antibody [2F9H5].
风险提示:丁香通仅作为第三方平台,为商家信息发布提供平台空间。用户咨询产品时请注意保护个人信息及财产安全,合理判断,谨慎选购商品,商家和用户对交易行为负责。对于医疗器械类产品,请先查证核实企业经营资质和医疗器械产品注册证情况。
文献和实验人转录因子E2F1 ( E2F1 )ELISA 试剂盒 原理 本实验采用双抗体夹心 ABC-ELISA 法。用抗人 E2F1 单抗包被于酶标板上,标准品和样品中的 E2F1与单抗结合,加入生物素化的抗人 E2F1 ,形成免疫复合物连接在板上,辣根过氧化物酶标记的 Streptavidin 与生物素结合,加入底物工作液显蓝色,最后加终止液硫酸,在 450nm 处测 OD 值,E2F1 浓度与 OD 值成正比
Determination of Epitopes by Mass Spectrometry
located on the gp41 protein of the human immunodeficiency virus recognized by the monoclonal antibody 2F5. In this approach we coupled the antigen SOSgp140 to the antibody 2F5, which was covalently linked to an Fc-specific antibody immobilized on cyanogen
残基的出现比例。结果表明,改变补料批次条件对糖基化指数影响很小。大多数重链聚糖谱在不同的渗透压下相对稳定,尤其是对于 C56 细胞培养物中产生的 MAb。结果与文献中描述的重链抗体糖基化的性质兼容,即大量的非半乳糖基化岩藻糖基化聚糖结构(G0F),然后是具有一个(G1F)或两个(G2F)半乳糖残基的岩藻糖基化结构,具有有限的高甘露糖结构和唾液酸化的缺乏。总的来说,聚糖谱显示在高渗条件补料批次操作下基本上不影响 MAb 产物的糖基化。表 1 使用 HPLC 分析从 MAb 重链释放的聚糖注
技术资料暂无技术资料 索取技术资料









![West Nile virus Envelope antibody [GT3029]](https://img1.dxycdn.com/2022/0329/994/5109963782647020453-14.jpg!wh200)

