相关产品推荐更多 >
万千商家帮你免费找货
0 人在求购买到急需产品
- 详细信息
- 文献和实验
- 技术资料
- 免疫原:
Purified recombinant fragment of STYK1 expressed in E. Coli.
- 亚型:
IgG1
- 形态:
Liquid
- 保存条件:
Store as concentrated solution. Centrifuge briefly prior to opening vial. For short-term storage (1-2 weeks), store at 4ºC. For long-term storage, aliquot and store at -20ºC or below. Avoid multiple freeze-thaw cycles.
- 克隆性:
Monoclonal
- 标记物:
Unconjugated
- 适应物种:
Human
- 保质期:
12 months from the shipping date of the product.
- 抗原来源:
Human
- 目录编号:
GTX83202
- 级别:
Primary Antibodies
- 库存:
Available
- 供应商:
GeneTex
- 宿主:
Mouse
- 应用范围:
WB, IHC-P, ELISA
- 靶点:
STYK1
- 抗体英文名:
STYK1 antibody [2H2F10]
- 抗体名:
STYK1 抗体 [2H2F10]
- 规格:
100 μl
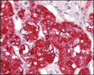
IHC-P analysis of human adrenal tissue using GTX83202 STYK1 antibody [2H2F10].
WB analysis of truncated STYK1 recombinant protein(1) and STYK1 (aa47-422)-hIgGFc transfected CHO-K1 cell lysate (2) using GTX83202 STYK1 antibody [2H2F10].
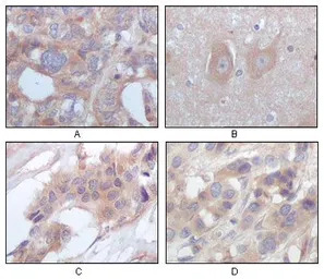
IHC-P analysis of human ovary carcinoma (A), normal cerebrum tissue (B), breast infiltrating carcinoma (C) and breast infiltrating carcinoma (D) using GTX83202 STYK1 antibody [2H2F10].
风险提示:丁香通仅作为第三方平台,为商家信息发布提供平台空间。用户咨询产品时请注意保护个人信息及财产安全,合理判断,谨慎选购商品,商家和用户对交易行为负责。对于医疗器械类产品,请先查证核实企业经营资质和医疗器械产品注册证情况。
文献和实验Antibody Staining of Ovaries 1. Dissect ovaries in EBR 2. Transfer ovaries into an Eppendorf tube and add 100 µl devitellinizing buffer and 600-µl heptane 3. Agitate gently for 10 minutes
As a complement to the intracellular antibody capture method to isolate intracellular single domain antibody fragments (iDabs) from high diverse libraries, we describe here a simple mammalian two-hybrid (M2H) protocol using a “bait-prey
IF protocol for perfusion fixed tissue
)) for 1 hour at room temperature. Incubate sections in primary antibody (at concentration stated on the datasheet) overnight at room temperature. Wash tissue sections 3-4 times in 0.01M PBS. Incubate sections in secondary antibody
技术资料暂无技术资料 索取技术资料










