相关产品推荐更多 >
万千商家帮你免费找货
0 人在求购买到急需产品
- 详细信息
- 文献和实验
- 技术资料
- 免疫原:
Purified recombinant fragment of human SLC27A2 (AA: 346-405) expressed in E. Coli.
- 亚型:
IgG1
- 形态:
Liquid
- 保存条件:
Store as concentrated solution. Centrifuge briefly prior to opening vial. For short-term storage (1-2 weeks), store at 4ºC. For long-term storage, aliquot and store at -20ºC or below. Avoid multiple freeze-thaw cycles.
- 克隆性:
Monoclonal
- 标记物:
Unconjugated
- 适应物种:
Human
- 保质期:
12 months from the shipping date of the product.
- 抗原来源:
Human
- 目录编号:
GTX60795
- 级别:
Primary Antibodies
- 库存:
Available
- 供应商:
GeneTex
- 宿主:
Mouse
- 应用范围:
WB, IHC-P, ELISA
- 浓度:
1 mg/ml (Please refer to the vial label for the specific concentration.)
- 靶点:
SLC27A2
- 抗体英文名:
SLC27A2 antibody [6B3A9]
- 抗体名:
SLC27A2 抗体 [6B3A9]
- 规格:
100 μg
WB analysis of HEK293 (1) and SLC27A2 (AA: 346-405)-hIgGFc transfected HEK293 (2) cell lysate using GTX60795 SLC27A2 antibody [6B3A9].
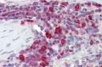
IHC-P analysis of esophageal cancer tissue using GTX60795 SLC27A2 antibody [6B3A9].
IHC-P analysis of liver cancer tissue using GTX60795 SLC27A2 antibody [6B3A9].
ELISA analysis of antigen using GTX60795 SLC27A2 antibody [6B3A9].
Black : Control antigen 100ng
Purple : Antigen 10ng
Blue : Antigen 50ng
Red : Antigen 100ng
风险提示:丁香通仅作为第三方平台,为商家信息发布提供平台空间。用户咨询产品时请注意保护个人信息及财产安全,合理判断,谨慎选购商品,商家和用户对交易行为负责。对于医疗器械类产品,请先查证核实企业经营资质和医疗器械产品注册证情况。
文献和实验人DcR3/TNFRSF6B ELISA 试剂盒 ( 用于血清、血浆、细胞培养上清液和裂解物及唾液其它生物体液内 ) 原理 本实验采用双抗体夹心 ABC-ELISA 法。用抗人 DcR3 单抗包被于酶标板上,标准品和样品中的 DcR3与单抗结合,加入生物素化的抗人 DcR3 ,形成免疫复合物连接在板上,辣根过氧化物酶标记的 Streptavidin 与生物素结合,加入底物工作液显蓝色,最后
an important role in regulation of the immune system. In the method described, hepatoma MH134 (Fas− and FasL− ) is transfected with murine Fas and FasL cDNA. A single administration of monoclonal anti-Fas antibody efficiently suppresses the growth of F6b (MH134
Quality Assessment of Recombinant Proteins Produced in Plants
validation and acceptance criteria for biological products must comply with the Food and Drug Administration (FDA) and ICH Q6B guidelines in order to initiate the regulatory approval process. Detailed product specifications will also need to be developed
技术资料暂无技术资料 索取技术资料





![DDIT4L antibody [DDIT-03]](https://img1.dxycdn.com/2022/0328/275/9671329155607700453-14.jpg!wh200)


![Avi-tag antibody [6E3]](https://custom.dxycdn.com/trademd/upload/pic/2013/11/12/A1383891150.jpg!small.t.1)

