相关产品推荐更多 >
万千商家帮你免费找货
0 人在求购买到急需产品
- 详细信息
- 文献和实验
- 技术资料
- 免疫原:
Purified recombinant fragment of human Cytokeratin (aa391-483) expressed in E. Coli.
- 亚型:
IgG1
- 形态:
Liquid
- 保存条件:
Store as concentrated solution. Centrifuge briefly prior to opening vial. For short-term storage (1-2 weeks), store at 4ºC. For long-term storage, aliquot and store at -20ºC or below. Avoid multiple freeze-thaw cycles.
- 克隆性:
Monoclonal
- 标记物:
Unconjugated
- 适应物种:
Human
- 保质期:
12 months from the shipping date of the product.
- 抗原来源:
Human
- 目录编号:
GTX83140
- 级别:
Primary Antibodies
- 库存:
Available
- 供应商:
GeneTex
- 宿主:
Mouse
- 应用范围:
WB, ICC/IF, IHC-P, ELISA
- 靶点:
Cytokeratin 8
- 抗体英文名:
Cytokeratin 8 antibody [8A5D12]
- 抗体名:
Cytokeratin 8 抗体 [8A5D12]
- 规格:
100 μl
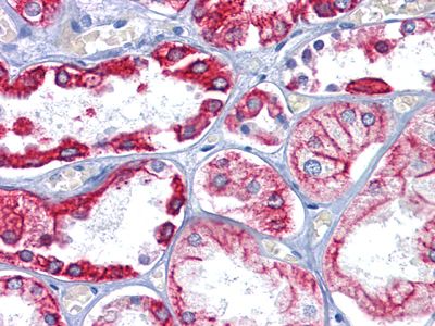
IHC-P analysis of human Kidney tissue using GTX83140 Cytokeratin 8 antibody [8A5D12].
ICC/IF analysis of methanol-fixed ECA109 cells (left) and HepG2 cells (right) using GTX83140 Cytokeratin 8 antibody [8A5D12].
Green : Cytokeratin 8
Blue: DRAQ5 fluorescent DNA dye
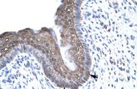
IHC-P analysis of human breast carcinoma (A), lung cancer (B) and ovarian cancer tissue (C) using GTX83140 Cytokeratin 8 antibody [8A5D12].
WB analysis of A549 (1), HeLa (2), MCF-7 (3), A431 (4) and HepG2 (5) cell lysate using GTX83140 Cytokeratin 8 antibody [8A5D12].
风险提示:丁香通仅作为第三方平台,为商家信息发布提供平台空间。用户咨询产品时请注意保护个人信息及财产安全,合理判断,谨慎选购商品,商家和用户对交易行为负责。对于医疗器械类产品,请先查证核实企业经营资质和医疗器械产品注册证情况。
文献和实验上海西唐生物科技有限公司 021-55229872, 65333639 www.westang.com 人载脂蛋白A5 (APO A5)ELISA 试剂盒 ( 用于血清、血浆、细胞培养上清液和其它生物体液内 ) 原理 本实验采用双抗体夹心 ABC-ELISA 法。用抗人 APO A5 单抗包被于酶标板上,标准品和样品中的 APO A5与单抗结合,加入生物素化的抗人 APO
人整合素a5b3(Integrin a5b3)ELISA试剂盒 说明书
第一抗体工作液( Biotinylated Antibody ) 12ml 终止液 (Stop Solution ) 12ml 准备试剂与收集血样 1. 收集标本:血清、血浆(EDTA )、细胞培养上清液、组织匀浆等尽早检测, 2-8 ℃ 保存48 小时;更长时间须
case, the antibody should be added in 1:100 to 1:500 final dilution. • For Hsp70, 3A3 and C92 did work, 4G4 and 5A5 did not. 3A3 may be used 1 μl/ sample. • HSE probe must have high-specific activity (>10,000 cpm/fmol) and be double-stranded
技术资料暂无技术资料 索取技术资料





![Pyruvate dehydrogenase kinase 1 / PDK1 antibody [4A11]](https://img1.dxycdn.com/2022/0328/013/2622060007882500453-14.jpg!wh200)


![SOCS2 antibody [GT1326]](https://img1.dxycdn.com/2022/0328/449/2731436767830800453-14.jpg!wh200)

