相关产品推荐更多 >
万千商家帮你免费找货
0 人在求购买到急需产品
- 详细信息
- 文献和实验
- 技术资料
- 免疫原:
Purified recombinant fragment of human CD38 expressed in E. Coli.
- 亚型:
IgG1
- 形态:
Liquid
- 保存条件:
Store as concentrated solution. Centrifuge briefly prior to opening vial. For short-term storage (1-2 weeks), store at 4ºC. For long-term storage, aliquot and store at -20ºC or below. Avoid multiple freeze-thaw cycles.
- 克隆性:
Monoclonal
- 标记物:
Unconjugated
- 适应物种:
Human
- 保质期:
12 months from the shipping date of the product.
- 抗原来源:
Human
- 目录编号:
GTX83033
- 级别:
Primary Antibodies
- 库存:
Available
- 供应商:
GeneTex
- 宿主:
Mouse
- 应用范围:
WB, IHC-P, ELISA
- 靶点:
CD38
- 抗体英文名:
CD38 antibody [6E12D]
- 抗体名:
CD38 抗体 [6E12D]
- 规格:
100 μl
WB analysis of CD38-hIgGFc transfected HEK293 cell lysate using GTX83033 CD38 antibody [6E12D].
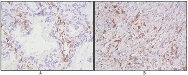
IHC-P analysis of human lung cancer (A), lymphonodus tissue (B using GTX83033 CD38 antibody [6E12D].
风险提示:丁香通仅作为第三方平台,为商家信息发布提供平台空间。用户咨询产品时请注意保护个人信息及财产安全,合理判断,谨慎选购商品,商家和用户对交易行为负责。对于医疗器械类产品,请先查证核实企业经营资质和医疗器械产品注册证情况。
文献和实验CD38 分子 CD38 常用单克隆抗体或代号: Leu17,T10,OKT10 主要表达细胞: Ta,Thy,Ba,PC [B] 分子质量(kDa)和结构: gp45 功 能: 白细胞活化,ADP环化酶,与CD31互为受体,细胞粘附 CD38 Novel enzyme capable of catalyzing multiple reactions; two enzyme products
Transient Production of scFv-Fc Fusion Proteins in Mammalian Cells
Single chain Fv (scFv) antibody fragments fused to the human immunoglobulin G (IgG) Fc moiety obtain IgG-like properties, but nevertheless they are still encoded by a single gene. As transient production of scFv-Fc proteins in mammalians
对照组;d. 细胞定位;e. 组织专一性。例如,潜在胰脏癌标记物 Glypican-1 在许多人类恶性肿瘤表达中上调。GTX104557 Glypican-1 抗体使用多种细胞进行正交策略验证(如下图),且该抗体已通过 WB、ICC/IF、IHC-P、FACS、IP 和 ELISA 的全面验证。 另一个例子,胰脏癌标记物 KRAS。当 KRAS 基因突变,细胞分裂将不受控制,形成肿瘤。其中 KRAS G12D 和 G12V 突变占这些变化的 75% 成为研究的热点。在市面上有许多 KRAS G12D
技术资料暂无技术资料 索取技术资料











