相关产品推荐更多 >
万千商家帮你免费找货
0 人在求购买到急需产品
- 详细信息
- 文献和实验
- 技术资料
- 免疫原:
Purified recombinant fragment of human HK1 expressed in E. Coli.
- 亚型:
IgG1
- 形态:
Liquid
- 保存条件:
Store as concentrated solution. Centrifuge briefly prior to opening vial. For short-term storage (1-2 weeks), store at 4ºC. For long-term storage, aliquot and store at -20ºC or below. Avoid multiple freeze-thaw cycles.
- 克隆性:
Monoclonal
- 标记物:
Unconjugated
- 适应物种:
Human, Mouse, Rat
- 保质期:
12 months from the shipping date of the product.
- 抗原来源:
Human
- 目录编号:
GTX82790
- 级别:
Primary Antibodies
- 库存:
Available
- 供应商:
GeneTex
- 宿主:
Mouse
- 应用范围:
WB, ICC/IF, IHC-P, FACS, ELISA
- 靶点:
Hexokinase 1
- 抗体英文名:
Hexokinase 1 antibody [3A10]
- 抗体名:
Hexokinase 1 抗体 [3A10]
- 规格:
100 μl
FACS analysis of K562 cells using GTX82790 Hexokinase 1 antibody [3A10].
Green : Hexokinase 1
Purple : negative control
ICC/IF analysis of NIH3T3 cells using GTX82790 Hexokinase 1 antibody [3A10].
Green : Hexokinase 1
Blue: DRAQ5 fluorescent DNA dye
Red: Actin filaments
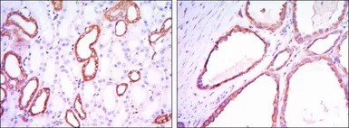
IHC-P analysis of human kidney tissue using GTX82790 Hexokinase 1 antibody [3A10].
WB analysis of Jurkat (1), HeLa (2), HepG2 (3) and NIH3T3 (4) cell lysate using GTX82790 Hexokinase 1 antibody [3A10].
风险提示:丁香通仅作为第三方平台,为商家信息发布提供平台空间。用户咨询产品时请注意保护个人信息及财产安全,合理判断,谨慎选购商品,商家和用户对交易行为负责。对于医疗器械类产品,请先查证核实企业经营资质和医疗器械产品注册证情况。
文献和实验Kavanagh Williamson M et al., Viruses 2018 (PMID:29518929)
that possess an intrinsic affinity toward each other (such as antigen and antibody, or avidin and biotin). After cell lysis, endosomes are allowed to fuse in vitro in the presence of an externally added quencher that prevents complex formation between markers
only have been done and with exception of that summarized in Table 2, none has been repeated. This is clearly unsatisfactory, particularly when there is so much variation between assays. 10. The condition of incubation are poorly defined. What is the temperature? Were antibody used
【转帖】Top 100 proteomics publications
proteins. Proc Natl Acad Sci U S A 37. Cho et al. (2006) Regulatory functions of nuclear hexokinase1 complex in glucose signaling. Cell 38. Duchaine et al. (2006) Functional Proteomics Reveals the Biochemical Niche of C. elegans DCR-1 in Multiple
技术资料暂无技术资料 索取技术资料






![Avian Influenza A virus H5N1 HA (Hemagglutinin) antibody [1D10]](https://img1.dxycdn.com/2022/0329/455/1635795322716020453-14.jpg!wh200)




