相关产品推荐更多 >
万千商家帮你免费找货
0 人在求购买到急需产品
- 详细信息
- 文献和实验
- 技术资料
- 免疫原:
Purified recombinant fragment of human ALDH1A1 expressed in E. Coli.
- 亚型:
IgG1
- 形态:
Liquid
- 保存条件:
Store as concentrated solution. Centrifuge briefly prior to opening vial. For short-term storage (1-2 weeks), store at 4ºC. For long-term storage, aliquot and store at -20ºC or below. Avoid multiple freeze-thaw cycles.
- 克隆性:
Monoclonal
- 标记物:
Unconjugated
- 适应物种:
Human
- 保质期:
12 months from the shipping date of the product.
- 抗原来源:
Human
- 目录编号:
GTX82775
- 级别:
Primary Antibodies
- 库存:
Available
- 供应商:
GeneTex
- 宿主:
Mouse
- 应用范围:
WB, IHC-P, ELISA
- 靶点:
ALDH1A1
- 抗体英文名:
ALDH1A1 antibody [5A11]
- 抗体名:
ALDH1A1 抗体 [5A11]
- 规格:
100 μl
WB analysis of Raji (1), Jurkat (2), THP-1 (3) and K562 (4) cell lysate using GTX82775 ALDH1A1 antibody [5A11].
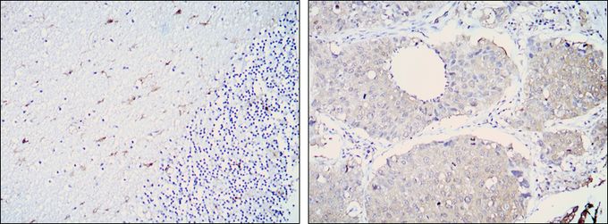
IHC-P analysis of cerebellum tissue (left) and lung cancer (right) using GTX82775 ALDH1A1 antibody [5A11].
风险提示:丁香通仅作为第三方平台,为商家信息发布提供平台空间。用户咨询产品时请注意保护个人信息及财产安全,合理判断,谨慎选购商品,商家和用户对交易行为负责。对于医疗器械类产品,请先查证核实企业经营资质和医疗器械产品注册证情况。
文献和实验1.5M Tris(PH 8.8) 100ml 18.171g (at4°C) 10% SDS 100 ml 10g (at room temperature) 10% ammonium persulfate 1ml 0.1g(replace every week store at at4°C) TEMED 8 room temprature Antibodies Primary antibody: 5A11(anti-mouse IgG) 500x-1000x Secondary
技术资料暂无技术资料 索取技术资料





![CABP1 antibody [EPR7916]](https://img1.dxycdn.com/2022/0329/789/2999260849126020453-14.jpg!wh200)

![CD3 antibody [GT0013]](https://img1.dxycdn.com/2022/0329/710/7788015776265020453-14.jpg!wh200)
![Carbonic anhydrase IV antibody [039]](https://img1.dxycdn.com/2022/0328/220/3646431043048700453-14.jpg!wh200)


