相关产品推荐更多 >
万千商家帮你免费找货
0 人在求购买到急需产品
- 详细信息
- 文献和实验
- 技术资料
- 免疫原:
KLH conjugated synthetic peptide between 535-566 amino acids from the Central region of human SEMA3A.
- 亚型:
IgG
- 形态:
Liquid
- 保存条件:
Store as concentrated solution. Centrifuge briefly prior to opening vial. For short-term storage (1-2 weeks), store at 4ºC. For long-term storage, aliquot and store at -20ºC or below. Avoid multiple freeze-thaw cycles.
- 克隆性:
Polyclonal
- 标记物:
Unconjugated
- 适应物种:
Human
- 保质期:
12 months from the shipping date of the product.
- 抗原来源:
Human
- 目录编号:
GTX81310
- 级别:
Primary Antibodies
- 库存:
Available
- 供应商:
GeneTex
- 宿主:
Rabbit
- 应用范围:
WB, IHC-P
- 浓度:
Batch dependent (Please refer to the vial label for the specific concentration.)
- 靶点:
Semaphorin 3A
- 抗体英文名:
Semaphorin 3A antibody, Internal
- 抗体名:
Semaphorin 3A 抗体, Internal
- 规格:
400 μl
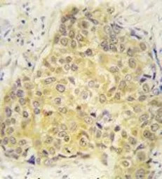
IHC-P analysis of human breast carcinoma using GTX81310 Semaphorin 3A antibody, Internal.
WB analysis of CEM cell lysate (35ug/lane) using GTX81310 Semaphorin 3A antibody, Internal.
风险提示:丁香通仅作为第三方平台,为商家信息发布提供平台空间。用户咨询产品时请注意保护个人信息及财产安全,合理判断,谨慎选购商品,商家和用户对交易行为负责。对于医疗器械类产品,请先查证核实企业经营资质和医疗器械产品注册证情况。
文献和实验上海西唐生物科技有限公司 021-55229872, 65333639 www.westang.com 大鼠 Sema3A(Sema3A)ELISA 试剂盒 原理 本实验采用双抗体夹心 ABC-ELISA 法。用抗大鼠 Sema3A 单抗包被于酶标板上,标准品和样品中的 Sema3A 与单抗结合,加入生物素化的抗大鼠 Sema3A ,形成免疫复合物连接在板上,辣根过氧化物酶标记的 Streptavidin 与生物素结合
人补体C3a (C3a)ELISA 试剂盒 ( 用于血清、血浆、细胞培养上清液和其它生物体液内 ) 原理 本实验采用双抗体夹心 ABC-ELISA 法。用抗人 C3a 单抗包被于酶标板上,标准品和样品中的 C3a与单抗结合,加入生物素化的抗人 C3a ,形成免疫复合物连接在板上,辣根过氧化物酶标记的 Streptavidin 与生物素结合,加入
上海西唐生物科技有限公司 021-55229872, 65333639 www.westang.com 小鼠补体C3a (C3a)ELISA 试剂盒 ( 用于血清、血浆、细胞培养上清液和尿液、唾液生物体液内 ) 原理 本实验采用双抗体夹心 ABC-ELISA 法。用抗小鼠 C3a 单抗包被于酶标板上,标准品和样品中的 C3a与单抗结合,加入生物素化的抗小鼠 C3a
技术资料暂无技术资料 索取技术资料





![Lcp1 antibody [HL2501]](https://custom.dxycdn.com/trademd/upload/pic/2013/11/12/A1383891150.jpg!small.t.1)



![Integrin beta 3 antibody [3C12-G2-E4-H9]](https://img1.dxycdn.com/2022/0329/407/0593843351584020453-14.jpg!wh200)

