相关产品推荐更多 >
万千商家帮你免费找货
0 人在求购买到急需产品
- 详细信息
- 文献和实验
- 技术资料
- 免疫原:
Human rhabdosarcoma cell line JR1.
- 亚型:
IgM
- 形态:
Liquid
- 保存条件:
Store as concentrated solution. Centrifuge briefly prior to opening vial. For short-term storage (1-2 weeks), store at 4ºC. For long-term storage, aliquot and store at -20ºC or below. Avoid multiple freeze-thaw cycles.
- 克隆性:
Monoclonal
- 标记物:
Unconjugated
- 适应物种:
Human, Mouse, Rat, Dog
- 保质期:
12 months from the shipping date of the product.
- 抗原来源:
Human
- 目录编号:
GTX80814
- 级别:
Primary Antibodies
- 库存:
Available
- 供应商:
GeneTex
- 宿主:
Mouse
- 应用范围:
WB, ICC/IF, IHC-P, IHC
- 靶点:
Vimentin
- 抗体英文名:
Vimentin antibody [J144]
- 抗体名:
Vimentin 抗体 [J144]
- 规格:
200 μl
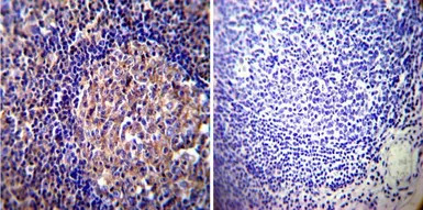
IHC-P analysis of human tonsil tissue using GTX80814 Vimentin antibody [J144].
Left : Primary antibody
Right : Negative control without primary antibody
Antigen retrieval : heat induced antigen retrieval was performed using 10mM sodium citrate (pH6.0) buffer, microwaved for 8-15 minutes
Dilution : 1:1000
ICC/IF analysis of HeLa cells untreated or treated with 1uM Actinomycin D for 19 hours using GTX80814 Vimentin antibody [J144].
Fixation : 4% PFA
Permeabilization : 0.1% Triton X-100 for 10 minutes
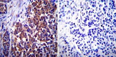
IHC-P analysis of human melanoma tissue using GTX80814 Vimentin antibody [J144].
Left : Primary antibody
Right : Negative control without primary antibody
Antigen retrieval : heat induced antigen retrieval was performed using 10mM sodium citrate (pH6.0) buffer, microwaved for 8-15 minutes
Dilution : 1:1000
ICC/IF analysis of HeLa cells using GTX80814 Vimentin antibody [J144]. Cells were probed without (right) or with(left) an antibody.
Green : Primary antibody
Blue : Nuclei
Red : Actin
Fixation : formaldehyde
Dilution : 1:200 overnight at 4ºC
WB analysis of 20 ug of indicated whole cell lysates using GTX80814 Vimentin antibody [J144].
Dilution : 1:500
ICC/IF analysis of C6 cells using GTX80814 Vimentin antibody [J144]. Cells were probed without (right) or with(left) an antibody.
Green : Primary antibody
Blue : Nuclei
Red : Actin
Fixation : formaldehyde
Dilution : 1:200 overnight at 4ºC
ICC/IF analysis of HEK293 cells using GTX80814 Vimentin antibody [J144]. Cells were probed without (right) or with(left) an antibody.
Green : Primary antibody
Blue : Nuclei
Red : Actin
Fixation : formaldehyde
Dilution : 1:200 overnight at 4ºC
风险提示:丁香通仅作为第三方平台,为商家信息发布提供平台空间。用户咨询产品时请注意保护个人信息及财产安全,合理判断,谨慎选购商品,商家和用户对交易行为负责。对于医疗器械类产品,请先查证核实企业经营资质和医疗器械产品注册证情况。
文献和实验secondary antibody review -- data from 99 publications
cytometry used as a control to detect cell responses targeted antigen 7 Alexa Fluor 488 7 Cy3 8 goat IgG Alexa Fluor 488 1:2000 detect antibody binding in human embryonic kidney 293T cells Invitrogen 9 donkey
Dynamic Monitoring of Cellular Remodeling Induced by the Transforming Growth Factor-β1
of the quality and quantity of remodeling of epithelial cells is a complex issue. It usually includes quantification of expression of epithelial and mesenchymal markers (E-cadherin, N-cadherin, and vimentin), visualization of cytoskeletal rebuilding (F-
缩写 全称 中文 AA autoantibody 自身抗体 AAF aminoacetylfluorescence 氨乙酰基荧光 Ab antibody 抗体 ABC avidin-biotin peroxidase complex 抗生物素(亲合素)-生物素-过氧化物酶复合物 ACh acetycholine 乙酰胆碱 AChR acetycholine receptor 乙酰胆碱受体 AChRAb acetycholine
技术资料暂无技术资料 索取技术资料






![TOR1AIP1 antibody [RL13]](https://img1.dxycdn.com/2022/0328/877/8120095232598600453-14.jpg!wh200)

![PMVK antibody [AT21C10]](https://img1.dxycdn.com/2022/0328/053/0990320737112400453-14.jpg!wh200)
![Aconitase 2 antibody [3G8]](https://img1.dxycdn.com/2022/0328/780/8163147894198500453-14.jpg!wh200)
