相关产品推荐更多 >
万千商家帮你免费找货
0 人在求购买到急需产品
- 详细信息
- 技术资料
- 免疫原:
Pore complex-lamina fraction isolated from rat liver nuclear envelopes.
- 亚型:
IgG1
- 形态:
Liquid
- 保存条件:
Store as concentrated solution. Centrifuge briefly prior to opening vial. For short-term storage (1-2 weeks), store at 4ºC. For long-term storage, aliquot and store at -20ºC or below. Avoid multiple freeze-thaw cycles.
- 克隆性:
Monoclonal
- 标记物:
Unconjugated
- 适应物种:
Human, Mouse, Rat
- 保质期:
12 months from the shipping date of the product.
- 抗原来源:
Human
- 目录编号:
GTX17579
- 级别:
Primary Antibodies
- 库存:
Available
- 供应商:
GeneTex
- 宿主:
Mouse
- 应用范围:
WB, ICC/IF, IHC-P, IP
- 浓度:
13.5 mg/ml (Please refer to the vial label for the specific concentration.)
- 靶点:
TOR1AIP1
- 抗体英文名:
TOR1AIP1 antibody [RL13]
- 抗体名:
TOR1AIP1 抗体 [RL13]
- 规格:
200 μl
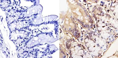
IHC-P analysis of rat colon tissue using GTX17579 TOR1AIP1 antibody [RL13].
Right : Primary antibody
Left : a negative control without primary antibody
Dilution : 1:20 overnight
Antigen retreival : 10mM sodium citrate followed by microwave treatment for 8-15 minutes.
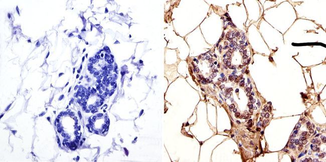
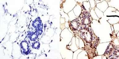
IHC-P analysis of rat breast tissue using GTX17579 TOR1AIP1 antibody [RL13].
Right : Primary antibody
Left : a negative control without primary antibody
Dilution : 1:50 overnight
Antigen retreival : 10mM sodium citrate followed by microwave treatment for 8-15 minutes.
ICC/IF analysis of mouse NS-1 cells using GTX17579 TOR1AIP1 antibody [RL13].
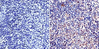
IHC-P analysis of rat lymph node tissue using GTX17579 TOR1AIP1 antibody [RL13].
Right : Primary antibody
Left : a negative control without primary antibody
Dilution : 1:50 overnight
Antigen retreival : 10mM sodium citrate followed by microwave treatment for 8-15 minutes.
风险提示:丁香通仅作为第三方平台,为商家信息发布提供平台空间。用户咨询产品时请注意保护个人信息及财产安全,合理判断,谨慎选购商品,商家和用户对交易行为负责。对于医疗器械类产品,请先查证核实企业经营资质和医疗器械产品注册证情况。
技术资料暂无技术资料 索取技术资料





![Vitronectin antibody [HV2]](https://img1.dxycdn.com/2022/0329/356/7306682454757020453-14.jpg!wh200)





