相关产品推荐更多 >
万千商家帮你免费找货
0 人在求购买到急需产品
- 详细信息
- 文献和实验
- 技术资料
- 免疫原:
KLH conjugated synthetic peptide between 206-234 amino acids from the N-terminal region of human XDH.
- 亚型:
IgG
- 形态:
Liquid
- 保存条件:
Store as concentrated solution. Centrifuge briefly prior to opening vial. For short-term storage (1-2 weeks), store at 4ºC. For long-term storage, aliquot and store at -20ºC or below. Avoid multiple freeze-thaw cycles.
- 克隆性:
Polyclonal
- 标记物:
Unconjugated
- 适应物种:
Human, Mouse
- 保质期:
12 months from the shipping date of the product.
- 抗原来源:
Human
- 目录编号:
GTX80444
- 级别:
Primary Antibodies
- 库存:
Available
- 供应商:
GeneTex
- 宿主:
Rabbit
- 应用范围:
WB, IHC-P, FACS
- 浓度:
Batch dependent (Please refer to the vial label for the specific concentration.)
- 靶点:
Xanthine Oxidase
- 抗体英文名:
Xanthine Oxidase antibody, N-term
- 抗体名:
Xanthine Oxidase 抗体, N-term
- 规格:
400 μl
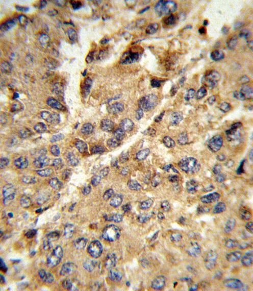
IHC-P analysis of human hepatocarcinoma using GTX80444 Xanthine Oxidase antibody, N-term.
FACS analysis of MDA-MB231 cells using GTX80444 Xanthine Oxidase antibody, N-term.
Green : primary antibody
Blue : negative control
WB analysis of mouse lung tissue lysate (35ug/lane) using GTX80444 Xanthine Oxidase antibody, N-term.
WB analysis of human fetal liver lysate using GTX80444 Xanthine Oxidase antibody, N-term.
Loading : 20 μg per lane
Dilution : 1:1000
风险提示:丁香通仅作为第三方平台,为商家信息发布提供平台空间。用户咨询产品时请注意保护个人信息及财产安全,合理判断,谨慎选购商品,商家和用户对交易行为负责。对于医疗器械类产品,请先查证核实企业经营资质和医疗器械产品注册证情况。
文献和实验Oxygen Consumption Methods: Xanthine Oxidase and Lipoxygenase
adenosine triphosphate (ATP) from the controlled four-electron reduction of O2 , to form H2 O by the mitochondrial electron-transport system. Approximately 98% of all O2 consumed by cells enters the mitochondria, where it is reduced by a terminal oxidase
氧化次黄嘌呤生成黄嘌呤,进而氧化成尿酸的酶, EC1. 2. 3. 2。一种含钼、非血红素铁、无机硫化物、 FAD的黄素酶。存在于牛乳、动物特别是鸟类的肝脏与肾脏、昆虫、细菌中。分子量 10几万— 30几万。底物专性较广,除以嘌呤衍生物为电子供体外,还可以蝶啶衍生物、醛(生成羧酸)为电子供体,表面上生成羟基化合物,氧原子来源于水。 NADH也氧化。电子受体很多,有分子氧、硝酸盐、苯醌、硝基化合物、 NAD 、铁氧还蛋白等,但依酶的来源而有所不同。在反应时生成过氧化物,引起连锁
Radiochemical Estimation of Polyamine Oxidase
1 -acetylspermine or N 1 -acetylspermidine, the preferred substrates of tissue polyamine oxidase. The effect of benzaldehyde addition on the particular polyamine oxidase being assayed should always be examined before routinely including it in the assay mixture
技术资料暂无技术资料 索取技术资料







![GSTP1 antibody [AT12C10]](https://img1.dxycdn.com/2022/0328/939/4071035115250800453-14.jpg!wh200)



