相关产品推荐更多 >
万千商家帮你免费找货
0 人在求购买到急需产品
- 详细信息
- 文献和实验
- 技术资料
- 免疫原:
Purified recombinant fragment of human TNFRSF11B expressed in E. Coli.
- 亚型:
IgG1
- 形态:
Liquid
- 保存条件:
Store as concentrated solution. Centrifuge briefly prior to opening vial. For short-term storage (1-2 weeks), store at 4ºC. For long-term storage, aliquot and store at -20ºC or below. Avoid multiple freeze-thaw cycles.
- 克隆性:
Monoclonal
- 标记物:
Unconjugated
- 适应物种:
Human
- 保质期:
12 months from the shipping date of the product.
- 抗原来源:
Human
- 目录编号:
GTX80404
- 级别:
Primary Antibodies
- 库存:
Available
- 供应商:
GeneTex
- 宿主:
Mouse
- 应用范围:
WB, IHC-P, ELISA
- 靶点:
OPG
- 抗体英文名:
OPG antibody [5A11]
- 抗体名:
OPG 抗体 [5A11]
- 规格:
100 μl
WB analysis of HEK293 (1) and OPG (AA: 22-401)-hIgGFc transfected HEK293 (2) cell lysate using GTX80404 OPG antibody [5A11].
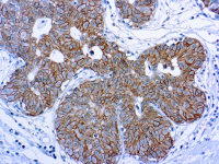
IHC-P analysis of mammary cancer tissue (left) and lung cancer tissue (right) using GTX80404 OPG antibody [5A11].
风险提示:丁香通仅作为第三方平台,为商家信息发布提供平台空间。用户咨询产品时请注意保护个人信息及财产安全,合理判断,谨慎选购商品,商家和用户对交易行为负责。对于医疗器械类产品,请先查证核实企业经营资质和医疗器械产品注册证情况。
文献和实验上海西唐生物科技有限公司 021-55229872, 65333639 www.westang.com 人骨保护素 ( OPG )ELISA 试剂盒 原理 本实验采用双抗体夹心 ABC-ELISA 法。用抗人 OPG 单抗包被于酶标板上,标准品和样品中的 OPG与单抗结合,加入生物素化的抗人 OPG ,形成免疫复合物连接在板上,辣根过氧化物酶标记的 Streptavidin 与生物素结合
上海西唐生物科技有限公司 021-55229872, 65333639 www.westang.com 大鼠骨保护素 (OPG)ELISA 试剂盒 原理 本实验采用双抗体夹心 ABC-ELISA 法。用抗大鼠 OPG 单抗包被于酶标板上,标准品和样品中的 OPG 与单抗结合,加入生物素化的抗大鼠 OPG ,形成免疫复合物连接在板上,辣根过氧化物酶标记的 Streptavidin 与生物素结合,加入底物工作液显蓝色,最后
上海西唐生物科技有限公司 021-55229872, 65333639 www.westang.com 兔骨保护素 ( OPG )ELISA 试剂盒 原理 本实验采用双抗体夹心 ABC-ELISA 法。用抗兔 OPG 单抗包被于酶标板上,标准品和样品中的 OPG与单抗结合,加入生物素化的抗兔 OPG ,形成免疫复合物连接在板上,辣根过氧化物酶标记的 Streptavidin
技术资料暂无技术资料 索取技术资料











