相关产品推荐更多 >
万千商家帮你免费找货
0 人在求购买到急需产品
- 详细信息
- 文献和实验
- 技术资料
- 免疫原:
Purified human AGR3 protein
- 亚型:
IgG1
- 形态:
Liquid
- 保存条件:
Store as concentrated solution. Centrifuge briefly prior to opening vial. Store at 4ºC. DO NOT FREEZE.
- 克隆性:
Monoclonal
- 标记物:
Unconjugated
- 适应物种:
Human
- 保质期:
12 months from the shipping date of the product.
- 抗原来源:
Human
- 目录编号:
GTX80241
- 级别:
Primary Antibodies
- 库存:
Available
- 供应商:
GeneTex
- 宿主:
Mouse
- 应用范围:
WB, ICC/IF, IHC-P, IHC-Fr
- 浓度:
1 mg/ml (Please refer to the vial label for the specific concentration.)
- 靶点:
This antibody recognizes the epitope HETTDKNLS within the AGR3 (AG3) protein (19-20 kDa); a secreted cytoplasmic protein which can serve as a marker of carcinogenesis.
- 抗体英文名:
AGR3 antibody [AGR3.1]
- 抗体名:
AGR3 抗体 [AGR3.1]
- 规格:
100 μg
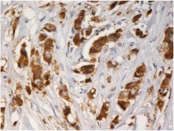
IHC-P analysis of breast carcinoma tissue using GTX80241 AGR3 antibody [AGR3.1].
WB analysis of T47D and H1229 cell lysate using GTX80241 AGR3 antibody [AGR3.1].
风险提示:丁香通仅作为第三方平台,为商家信息发布提供平台空间。用户咨询产品时请注意保护个人信息及财产安全,合理判断,谨慎选购商品,商家和用户对交易行为负责。对于医疗器械类产品,请先查证核实企业经营资质和医疗器械产品注册证情况。
文献和实验【共享】某机构发表的核酸相关研究的文章(EST,SNP等),PDF全文下载
pdf Zheng W, Rosenstiel P, Huse K, Sina C, Valentonyte R, Mah N, Zeitlmann L, Grosse J, Ruf N, Nurnberg P, Costello CM, Onnie C, Mathew C, Platzer M, Schreiber S, Hampe J (2006) Evaluation of AGR2 and AGR3 as candidate genes for inflammatory bowel
技术资料暂无技术资料 索取技术资料







![RecQ1 antibody [C1C3]](https://img1.dxycdn.com/2022/0328/723/4986351520323200453-14.jpg!wh200)



