相关产品推荐更多 >
万千商家帮你免费找货
0 人在求购买到急需产品
- 详细信息
- 文献和实验
- 技术资料
- 免疫原:
A synthetic peptide of human synaptophysin.
- 亚型:
IgG
- 形态:
Liquid
- 保存条件:
Store as concentrated solution. Centrifuge briefly prior to opening vial. Store at 4ºC.
- 克隆性:
Monoclonal
- 标记物:
Unconjugated
- 适应物种:
Human
- 保质期:
12 months from the shipping date of the product.
- 抗原来源:
Human
- 目录编号:
GTX79421
- 级别:
Primary Antibodies
- 库存:
Available
- 供应商:
GeneTex
- 宿主:
Rabbit
- 应用范围:
IHC-P
- 浓度:
Batch dependent (Please refer to the vial label for the specific concentration.)
- 靶点:
Synaptophysin
- 抗体英文名:
Synaptophysin antibody [SP11]
- 抗体名:
Synaptophysin 抗体 [SP11]
- 规格:
500 μl
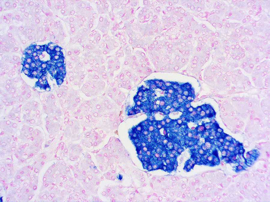
IHC-P analysis of human pancreas tissue using GTX79421 Synaptophysin antibody [SP11].
风险提示:丁香通仅作为第三方平台,为商家信息发布提供平台空间。用户咨询产品时请注意保护个人信息及财产安全,合理判断,谨慎选购商品,商家和用户对交易行为负责。对于医疗器械类产品,请先查证核实企业经营资质和医疗器械产品注册证情况。
文献和实验Immunofluorescence or IF is a technique allowing the visualization of a specific protein or antigen in cells or tissues by binding a specific antibody chemically conjugated with a fluorescence dye. Immunofluorescent staining is widely used
All-in-One Kit for Immunohistochemical Staining for Tissues with Antibodies
O2 in methanol for 10 minutes. Wash slides 3 times with 1X PBS for 2 minutes, each time and then proceed to primary antibody incubation. 3. Epitope Retrieval Protocol A sample epitope retrieval protocol developed for some Zymed® Antibodies
Immunohistochemistry / Immunocytochemistry Procedures
In these techniques an antibody is used to link a cellular antigen specifically to a stain that can be more readily seen with a microscope. Detection of antigens in tissues is known as
技术资料暂无技术资料 索取技术资料






![CD147 antibody [041]](https://img1.dxycdn.com/2022/0328/801/9039471681538700453-14.jpg!wh200)




