相关产品推荐更多 >
万千商家帮你免费找货
0 人在求购买到急需产品
- 详细信息
- 文献和实验
- 技术资料
- 免疫原:
The antiserum was produced against synthesized phosphopeptide derived from human AMPK1 around the phosphorylation site of threonine 174 (L-R-Tp-S-C).
- 亚型:
IgG
- 形态:
Liquid
- 保存条件:
Store as concentrated solution. Centrifuge briefly prior to opening vial. For short-term storage (1-2 weeks), store at 4ºC. For long-term storage, aliquot and store at -20ºC or below. Avoid multiple freeze-thaw cycles.
- 克隆性:
Polyclonal
- 标记物:
Unconjugated
- 适应物种:
Human
- 保质期:
12 months from the shipping date of the product.
- 抗原来源:
Human
- 目录编号:
GTX79143
- 级别:
Primary Antibodies
- 库存:
Available
- 供应商:
GeneTex
- 宿主:
Rabbit
- 应用范围:
IHC-P
- 浓度:
Batch dependent (Please refer to the vial label for the specific concentration.)
- 靶点:
AMPK alpha 1 (phospho Thr174)
- 抗体英文名:
AMPK alpha 1 (phospho Thr174) antibody
- 抗体名:
AMPK alpha 1 (phospho Thr174) 抗体
- 规格:
100 μg
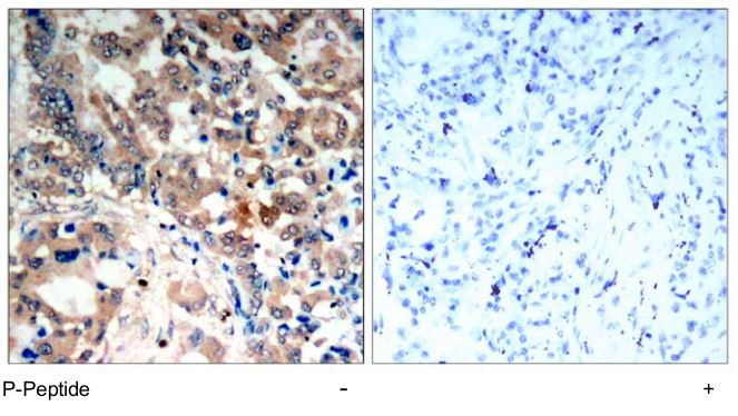
IHC-P analysis of human lung carcinoma tissue using GTX79143 AMPK alpha 1 (phospho Thr174) antibody.
风险提示:丁香通仅作为第三方平台,为商家信息发布提供平台空间。用户咨询产品时请注意保护个人信息及财产安全,合理判断,谨慎选购商品,商家和用户对交易行为负责。对于医疗器械类产品,请先查证核实企业经营资质和医疗器械产品注册证情况。
文献和实验secondary antibody review -- data from 99 publications
cytometry used as a control to detect cell responses targeted antigen 7 Alexa Fluor 488 7 Cy3 8 goat IgG Alexa Fluor 488 1:2000 detect antibody binding in human embryonic kidney 293T cells Invitrogen 9 donkey
v468. chapter 4 WNT 细胞通路 检测细胞GSK3活性与表达水平
4 ). 2. Other antibodies used were b-catenin (phospho-Thr41/Ser37/Ser33) (#9561; Cell Signaling Technology), b-catenin (#9562;Cell Signaling Technology), CRMP2 (pT514/509) (#PB-043; Kinasource, Dundee, Scotland) and CRMP2 (#AB-042;Kinasource). 3. Blocking buffer
-l1-antibody-ya4674.html 兔来源、无偶联标记、抗 PD-L1 的 IgG 单克隆抗体。 Estrogen Receptor alpha Antibody (YA450) (HY-P80663) www.medchemexpress.cn/antibody/estrogen-receptor-alpha-rabbit-mab.html 兔来源、无偶联标记、抗 Estrogen Receptor alpha 的 IgG 单克隆抗体 CDX2 Antibody (YA3498
技术资料暂无技术资料 索取技术资料







![PSA antibody [IHC654]](https://img1.dxycdn.com/2022/0328/967/9837609085955600453-14.jpg!wh200)
![alpha amylase 2A (pancreatic) antibody [6D4]](https://img1.dxycdn.com/2022/0328/163/2903330031688500453-14.jpg!wh200)


