相关产品推荐更多 >
万千商家帮你免费找货
0 人在求购买到急需产品
- 详细信息
- 文献和实验
- 技术资料
- 免疫原:
BALB/C mice were injected with purified recombinant Cdc25A.
- 亚型:
IgG2a
- 形态:
Liquid
- 保存条件:
Store as concentrated solution. Centrifuge briefly prior to opening vial. Store at 4ºC.
- 克隆性:
Monoclonal
- 标记物:
Unconjugated
- 适应物种:
Human
- 保质期:
12 months from the shipping date of the product.
- 抗原来源:
Human
- 目录编号:
GTX73947
- 级别:
Primary Antibodies
- 库存:
Available
- 供应商:
GeneTex
- 宿主:
Mouse
- 应用范围:
IHC-P
- 浓度:
Batch dependent (Please refer to the vial label for the specific concentration.)
- 靶点:
CDC25A
- 抗体英文名:
CDC25A antibody [DCS-120 + DCS-121]
- 抗体名:
CDC25A 抗体 [DCS-120 + DCS-121]
- 规格:
1 ml
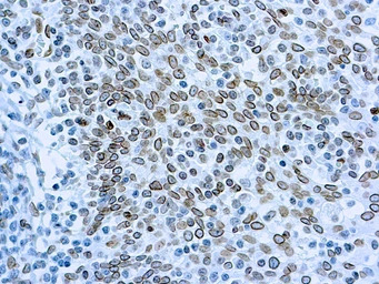
IHC-P analysis of human tonsil tissue using GTX73947 CDC25A antibody [DCS-120 + DCS-121].
风险提示:丁香通仅作为第三方平台,为商家信息发布提供平台空间。用户咨询产品时请注意保护个人信息及财产安全,合理判断,谨慎选购商品,商家和用户对交易行为负责。对于医疗器械类产品,请先查证核实企业经营资质和医疗器械产品注册证情况。
文献和实验【进展|热点】Nature Immunology: 让T细胞动起来
cells moved freely and did not swarm around antigen-bearing dendritic cells (DCs) in pancreatic lymph nodes. Inhibition of T cell antigen receptor (TCR)-driven stop signals depended on continued interactions between PD-1 and its ligand, PD
In Vitro Immunogenicity Risk Assessment of Therapeutic Proteins in Preclinical Setting
therapeutics in the product development stages. Here, we attempted a mechanism-based in vitro study as screening tool to capture clinically observed antibody-based immune response against two representative therapeutic proteins: recombinant human Erythropoietin
实验原理 Add a mixture of biotinylated monoclonal antibodies against non-DC cells to your starting sample. Add Depletion MyOne™ SA Dynabeads® and allow them to bind to the non-DCs during a short incubation. Separate
技术资料暂无技术资料 索取技术资料





![CD11b antibody [3V29]](https://img1.dxycdn.com/2022/0328/693/6103404898289400453-14.jpg!wh200)
![HPCAL1 antibody [N1C3]](https://img1.dxycdn.com/2022/0328/575/6794382031834200453-14.jpg!wh200)




