相关产品推荐更多 >
万千商家帮你免费找货
0 人在求购买到急需产品
- 详细信息
- 文献和实验
- 技术资料
- 免疫原:
BALB/C mice were immunized with solubilized keratin extract from human stratum corneum.
- 亚型:
IgG1
- 形态:
Liquid
- 保存条件:
Store as concentrated solution. Centrifuge briefly prior to opening vial. Store at 4ºC.
- 克隆性:
Monoclonal
- 标记物:
Unconjugated
- 适应物种:
Human
- 保质期:
12 months from the shipping date of the product.
- 抗原来源:
Human
- 目录编号:
GTX73669
- 级别:
Primary Antibodies
- 库存:
Available
- 供应商:
GeneTex
- 宿主:
Mouse
- 应用范围:
IHC-P
- 浓度:
Batch dependent (Please refer to the vial label for the specific concentration.)
- 靶点:
HMW Cytokeratin
- 抗体英文名:
HMW Cytokeratin antibody [34βE12]
- 抗体名:
HMW Cytokeratin 抗体 [34βE12]
- 规格:
1 ml
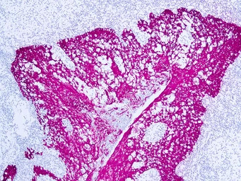
IHC-P analysis of human prostate tissue using GTX73669 Cytokeratin high MW antibody [34βE12].
风险提示:丁香通仅作为第三方平台,为商家信息发布提供平台空间。用户咨询产品时请注意保护个人信息及财产安全,合理判断,谨慎选购商品,商家和用户对交易行为负责。对于医疗器械类产品,请先查证核实企业经营资质和医疗器械产品注册证情况。
文献和实验Yang CF et al., Am J Hum Genet 2018 (PMID:29336782)
Chen J et al., Dermatology 2021 (PMID:34515096)
祝贺〖雅裕睿安〗成为Signalway Antibody(SAB)独家
、 Wnt 通道 /β- 连环素等领域提供最优质的产品。 Signalway Antibody(SAB)( 美国)多年来一直致力于磷酸化蛋白抗体的研发,生产和销售。公司拥有抗磷酸化蛋白抗体库产业化大规模技术平台,处于国内领先,国际先进水平。公司建立了一整套完善的生产、质量控制、产品保存、运输及销售的管理体系。 公司现已在美洲、欧洲和亚洲成立了销售中心,产品销往美国、英国、德国、日本等40多个国家,受到广泛好评。
, with or without accentuation beneath the cell membrane or in paranuclear region.- This antibody stains stratified squamous epithelium and squamous cell carcinomas particularly well.- Major applications:a) 34 E12 stains the basal cells of the prostate, i.e. normal/reactive
细胞类别MACS分选产品流式细胞仪抗体干祖细胞CD133 Cell Isolation KitDirect CD34 Progenitor Cell Isolation KitCD34 Progenitor Cell Isolation KitCD34 Multisort KitCD105 MicroBeadsCD117 MicroBeadsCD45/GlyA Depletion KitCD133/1(AC133)-pure/Biotin/PE/APCCD133/2(AC141)-pure
技术资料暂无技术资料 索取技术资料











