相关产品推荐更多 >
万千商家帮你免费找货
0 人在求购买到急需产品
- 详细信息
- 文献和实验
- 技术资料
- 免疫原:
Synthetic 19 amino acid peptide from 2nd extracellular domain of human NPBWR1.
- 亚型:
IgG
- 形态:
Liquid
- 保存条件:
Store as concentrated solution. Centrifuge briefly prior to opening vial. For short-term storage (1-2 weeks), store at 4ºC. For long-term storage, aliquot and store at -20ºC or below. Avoid multiple freeze-thaw cycles.
- 克隆性:
Polyclonal
- 标记物:
Unconjugated
- 适应物种:
Human, Rat
- 保质期:
12 months from the shipping date of the product.
- 抗原来源:
Human
- 目录编号:
GTX70567
- 级别:
Primary Antibodies
- 库存:
Available
- 供应商:
GeneTex
- 宿主:
Rabbit
- 应用范围:
IHC-P, IHC-Fr
- 浓度:
1 mg/ml (Please refer to the vial label for the specific concentration.)
- 靶点:
GPR7
- 抗体英文名:
GPR7 antibody
- 抗体名:
GPR7 抗体
- 规格:
25 μg
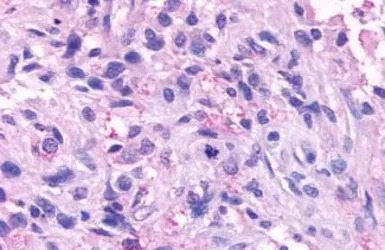
IHC-P analysis of human skin, melanoma tissue using GTX70567 GPR7 antibody.
Antigen retrieval : Heat-induced antigen retrieval
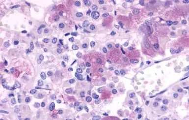
IHC-P analysis of human brain, pituitary tissue using GTX70567 GPR7 antibody.
Antigen retrieval : Heat-induced antigen retrieval
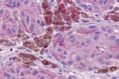
IHC-P analysis of human brain, glioblastoma tissue using GTX70567 GPR7 antibody.
Antigen retrieval : Heat-induced antigen retrieval
风险提示:丁香通仅作为第三方平台,为商家信息发布提供平台空间。用户咨询产品时请注意保护个人信息及财产安全,合理判断,谨慎选购商品,商家和用户对交易行为负责。对于医疗器械类产品,请先查证核实企业经营资质和医疗器械产品注册证情况。
文献和实验NSMB:徐华强 / 谢欣 / 蒋轶发现孤儿受体 GPR119 内源性配体的分子机制
糖尿病、脂肪肝和肥胖症等代谢性疾病已经成为影响人类健康的一大「杀手」,研究显示一些孤儿受体可能成为治疗这些疾病的重要靶点。 GPR119 又被称为葡萄糖依赖的促胰岛素受体(Glucose-dependent insulinotropic receptor),是 G 蛋白偶联受体(GPCR)超家族中的一种孤儿受体。由于其在糖代谢调控中的作用,GPR119 被认为是一种治疗糖尿病、脂肪肝和肥胖症等代谢性疾病的潜在药物靶点。GPR119 主要分布在胰岛 β 细胞和胃肠道 L 细胞,调节葡萄糖依赖
Generation of Antibody Molecules Through Antibody Engineering
been overcome to a large extent using genetic-engineering techniques to produce chimeric mouse/human and completely human antibodies. Such an approach is particularly suitable because of the domain structure of the antibody molecule ( 2 ), where functional
The importance of antibody molecules was first recognized in the 1890s, when it was shown that immunity to tetanus and diphtheria was caused by antibodies against the bacterial exotoxins (1 ). Around the same time, it was shown that antisera
技术资料暂无技术资料 索取技术资料









![alpha Synuclein antibody [KM51]](https://img1.dxycdn.com/2022/0328/948/0050930939918700453-14.jpg!wh200)
