相关产品推荐更多 >
万千商家帮你免费找货
0 人在求购买到急需产品
- 详细信息
- 文献和实验
- 技术资料
- 免疫原:
Amino acids 1-425 of Rad50 expressed in E. coli.
- 亚型:
IgG1
- 形态:
Liquid
- 保存条件:
Store as concentrated solution. Centrifuge briefly prior to opening vial. For short-term storage (1-2 weeks), store at 4ºC. For long-term storage, aliquot and store at -20ºC or below. Avoid multiple freeze-thaw cycles.
- 克隆性:
Monoclonal
- 标记物:
Unconjugated
- 适应物种:
Human, Mouse, Rat, Monkey
- 保质期:
12 months from the shipping date of the product.
- 抗原来源:
Human
- 目录编号:
GTX70228
- 级别:
Primary Antibodies
- 库存:
Available
- 供应商:
GeneTex
- 宿主:
Mouse
- 应用范围:
WB, ICC/IF, IHC-P, IP, IHC, in vitro
- 浓度:
2.24 mg/ml (Please refer to the vial label for the specific concentration.)
- 靶点:
Rad50
- 抗体英文名:
Rad50 antibody [13B3]
- 抗体名:
Rad50 抗体 [13B3]
- 规格:
100 μl
Non-transfected (–) and transfected (+) HeLa whole cell extracts (30 μg) were separated by 5% SDS-PAGE, and the membrane was blotted with Rad50 antibody [13B3] (GTX70228) diluted at 1:500. The HRP-conjugated anti-mouse IgG antibody (GTX213111-01) was used to detect the primary antibody.
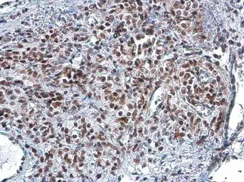
Rad50 antibody [13B3] detects Rad50 protein at nucleus by immunohistochemical analysis.
Sample: Paraffin-embedded human lung cancer.
Rad50 stained by Rad50 antibody [13B3] (GTX70228) diluted at 1:100.
Antigen Retrieval: Citrate buffer, pH 6.0, 15 min
Rad50 antibody [13B3] detects Rad50 protein at nucleus in PC-3 xenograft by immunohistochemical analysis.
Sample: Paraffin-embedded PC-3 xenograft.
Rad50 antibody [13B3] (GTX70228) diluted at 1:200.
Antigen Retrieval: Citrate buffer, pH 6.0, 15 min
HeLa whole cell and nuclear extracts (30 μg) were separated by 5% SDS-PAGE, and the membrane was blotted with Rad50 antibody [13B3] (GTX70228) diluted at 1:1000. The HRP-conjugated anti-mouse IgG antibody (GTX213111-01) was used to detect the primary antibody.
Rad50 antibody [13B3] detects Rad50 protein at nucleus in CAL 27 xenograft by immunohistochemical analysis.
Sample: Paraffin-embedded CAL 27 xenograft.
Rad50 antibody [13B3] (GTX70228) diluted at 1:200.
Antigen Retrieval: Citrate buffer, pH 6.0, 15 min
Rad50 antibody [13B3] detects Rad50 protein at nucleus by immunofluorescent analysis.
Sample: HeLa cells were fixed in 4% PFA at RT for 15 min.
Green: Rad50 protein stained by Rad50 antibody [13B3] (GTX70228) diluted at 1:200.
Red: phalloidin, a cytoskeleton marker, diluted at 1:200.
Scale bar = 10 μm.
Rad50 antibody [13B3] detects Rad50 protein at nucleus by immunohistochemical analysis.
Sample: Paraffin-embedded human lung cancer.
Rad50 stained by Rad50 antibody [13B3] (GTX70228) diluted at 1:100.
Antigen Retrieval: Citrate buffer, pH 6.0, 15 min
Various whole cell extracts (30 μg) were separated by 5% SDS-PAGE, and the membrane was blotted with Rad50 antibody [13B3] (GTX70228) diluted at 1:1000. The HRP-conjugated anti-mouse IgG antibody (GTX213111-01) was used to detect the primary antibody.
风险提示:丁香通仅作为第三方平台,为商家信息发布提供平台空间。用户咨询产品时请注意保护个人信息及财产安全,合理判断,谨慎选购商品,商家和用户对交易行为负责。对于医疗器械类产品,请先查证核实企业经营资质和医疗器械产品注册证情况。
文献和实验Knies K et al., PLoS One 2012 (PMID:23285130)
Oplustilova L et al., Cell Cycle 2012 (PMID:22983061)
Masuda Y et al., Biochem Biophys Res Commun 2011 (PMID:22037577)
Cheng Q et al., Nucleic Acids Res 2011 (PMID:21880593)
Baydoun HH et al., Blood 2011 (PMID:21427292)
Chailleux C et al., Biochem J 2010 (PMID:20070254)
Lee JH et al., EMBO J 2010 (PMID:20010693)
Collaco RF et al., Virology 2009 (PMID:19628243)
Carson CT et al., EMBO J 2009 (PMID:19197236)
Zhong ZH et al., J Biol Chem 2007 (PMID:17693401)
Bentle MS et al., Cancer Res 2007 (PMID:17638905)
Potts PR et al., Nat Struct Mol Biol 2007 (PMID:17589526)
Cho YW et al., J Biol Chem 2007 (PMID:17500065)
Bae NS et al., Mol Cell 2007 (PMID:17499040)
Lin X et al., Mol Cell Biol 2007 (PMID:17470549)
You KT et al., PLoS Biol 2007 (PMID:17456004)
Fleisig HB et al., Oncogene 2007 (PMID:17311003)
Kong LJ et al., Mol Cell 2006 (PMID:16600870)
Myers JS et al., J Biol Chem 2006 (PMID:16431910)
Tommiska J et al., Int J Cancer 2006 (PMID:16385572)
van der Burg M et al., J Clin Invest 2006 (PMID:16357942)
Mongiat-Artus P et al., Oncogene 2006 (PMID:16288216)
Oishi H et al., J Biol Chem 2006 (PMID:16260778)
Liu Y et al., J Virol 2005 (PMID:16254336)
Kim JS et al., J Cell Biol 2005 (PMID:16061690)
Koh KH et al., Lab Invest 2005 (PMID:16025146)
van Veelen LR et al., Mutat Res 2005 (PMID:15914204)
Carson CT et al., EMBO J 2003 (PMID:14657032)
Uziel T et al., EMBO J 2003 (PMID:14532133)
Xu X et al., FASEB J 2003 (PMID:14519663)
Angele S et al., Histopathology 2003 (PMID:14511253)
Harfst E et al., Mol Immunol 2000 (PMID:11282395)
Tauchi H et al., J Biol Chem 2001 (PMID:11062235)
Paull TT et al., Curr Biol 2000 (PMID:10959836)
Price AM et al., PLoS Pathog 2022 (PMID:36095031)
Sigismondo G et al., Nucleic Acids Res 2023 (PMID:36629267)
Xiao H et al., Cells 2022 (PMID:35805183)
Dullovi A et al., iScience 2023 (PMID:36852271)
Belmonte-Fern?ndez A et al., Cell Death Differ 2023 (PMID:36477079)
Eui Tae Kim et al., Nat Microbiol 2021 (PMID:33432153)
Josephine Mun Yee Ko et al., Cancers (Basel) 2021 (PMID:34572942)
Alexander M Price et al., Nucleic Acids Res 2022 (PMID:34671803)
Boddin J et al., mBio 2022 (PMID:35254132)
Herrmann C et al., Nat Microbiol 2020 (PMID:32661314)
Dybas JM et al., mSystems 2021 (PMID:34463575)
Sun J et al., Chemosphere 2021 (PMID:33310519)
Ly P et al., Nat Genet 2019 (PMID:30833795)
Godau J et al., DNA Repair (Amst) 2019 (PMID:30928893)
Anand R et al., EMBO J 2019 (PMID:30787182)
Fujiwara C et al., Sci Rep 2018 (PMID:30287851)
Johnson TE et al., Cell Rep 2018 (PMID:30089259)
Pancholi NJ et al., Virology 2018 (PMID:29547809)
Lee JH et al., Sci Signal 2018 (PMID:29317520)
Tang JY et al., Environ Toxicol 2017 (PMID:29165875)
Sanjiv K et al., Transl Oncol 2014 (PMID:24913674)
Li Z et al., Cancer Res 2017 (PMID:28512243)
Mariggio G et al., PLoS Pathog 2017 (PMID:28430817)
Henrich SM et al., Sci Rep 2017 (PMID:28128338)
Kavanaugh G et al., Mol Cell Biol 2015 (PMID:26100022)
Tammaro M et al., Nucleic Acids Res 2016 (PMID:26420828)
Johnson BA et al., Virology 2016 (PMID:27770701)
Staples CJ et al., Cell Rep 2016 (PMID:27568553)
Xiong J et al., J Cell Biol 2015 (PMID:25733712)
Lee KY et al., Nat Commun 2015 (PMID:26215093)
Bohringer M et al., Oncogene 2013 (PMID:23435420)
Virts EL et al., Hum Mol Genet 2015 (PMID:26085575)
Harten SK et al., BMC Biol 2015 (PMID:25857663)
Kinoshita E et al., Biochimie 2015 (PMID:25828805)
Huang YL et al., Hum Mol Genet 2015 (PMID:25788520)
Sanjiv K et al., Translational Oncology 2014
Ohara M et al., J Radiat Res 2014 (PMID:24614819)
Tahara M et al., Mol Cancer Ther 2014 (PMID:24577941)
Kong X et al., Mol Cell Biol 2014 (PMID:24324008)
Floyd SR et al., Nature 2013 (PMID:23728299)
Simoes M et al., Vet Microbiol 2013 (PMID:23398667)
Zhu J et al., EMBO Mol Med 2013 (PMID:23341130)
Stoepker C et al., Nat Genet 2011 (PMID:21240277)
Anderson VE et al., Cancer Res 2011 (PMID:21239475)
Matsumoto Y et al., DNA Repair (Amst) 2011 (PMID:21227757)
Luo Y et al., J Virol 2011 (PMID:21047968)
Kuroda S et al., Cancer Res 2010 (PMID:21045143)
Momcilovic O et al., PLoS One 2010 (PMID:20976220)
Machida K et al., J Immunol 2010 (PMID:20974981)
Balasubramanian N et al., J Virol 2010 (PMID:20943970)
Gomez-Godinez V et al., Nucleic Acids Res 2010 (PMID:20923785)
Palagyi A et al., Mol Cancer 2010 (PMID:20509860)
Cha H et al., Cancer Res 2010 (PMID:20460517)
Moody CA et al., PLoS Pathog 2009 (PMID:19798429)
Waltes R et al., Am J Hum Genet 2009 (PMID:19409520)
Bartkova J et al., Mol Oncol 2008 (PMID:19383352)
Schwartz RA et al., J Virol 2009 (PMID:19339345)
Zheng L et al., Nucleic Acids Res 2009 (PMID:19270065)
Schwartz RA et al., J Virol 2008 (PMID:18614635)
技术资料暂无技术资料 索取技术资料







![GRK1 antibody [G8]](https://img1.dxycdn.com/2022/0328/842/9226550544019300453-14.jpg!wh200)

![IRF7 antibody [3D9]](https://img1.dxycdn.com/2022/0329/097/3891849221307020453-14.jpg!wh200)

