相关产品推荐更多 >
万千商家帮你免费找货
0 人在求购买到急需产品
- 详细信息
- 文献和实验
- 技术资料
- 免疫原:
Amino acids 15-374 of human p84 expressed in E. coli.
- 亚型:
IgG2b
- 形态:
Liquid
- 保存条件:
Store as concentrated solution. Centrifuge briefly prior to opening vial. For short-term storage (1-2 weeks), store at 4ºC. For long-term storage, aliquot and store at -20ºC or below. Avoid multiple freeze-thaw cycles.
- 克隆性:
Monoclonal
- 标记物:
Unconjugated
- 适应物种:
Human, Mouse, Rat, Hamster, Monkey
- 保质期:
12 months from the shipping date of the product.
- 抗原来源:
Human
- 目录编号:
GTX70220
- 级别:
Primary Antibodies
- 库存:
Available
- 供应商:
GeneTex
- 宿主:
Mouse
- 应用范围:
WB, ICC/IF, IHC-P, IP, ChIP assay, IHC
- 浓度:
1 mg/ml (Please refer to the vial label for the specific concentration.)
- 靶点:
Knockdown/Knockout validation was supported by references (PMID:25296641)
- 抗体英文名:
Nuclear Matrix Protein p84 antibody [5E10]
- 抗体名:
Nuclear Matrix Protein p84 抗体 [5E10]
- 规格:
100 μl
Various whole cell extracts (30 μg) were separated by 7.5% SDS-PAGE, and the membrane was blotted with Nuclear Matrix Protein p84 antibody [5E10] (GTX70220) diluted at 1:500. The HRP-conjugated anti-mouse IgG antibody (GTX213111-01) was used to detect the primary antibody.
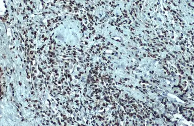
Nuclear Matrix Protein p84 antibody [5E10] detects Nuclear Matrix Protein p84 protein at nucleus by immunohistochemical analysis.
Sample: Paraffin-embedded human breast carcinoma.
Nuclear Matrix Protein p84 stained by Nuclear Matrix Protein p84 antibody [5E10] (GTX70220) diluted at 1:200.
Antigen Retrieval: Citrate buffer, pH 6.0, 15 min
Nuclear Matrix Protein p84 antibody [5E10] detects Nuclear Matrix Protein p84 protein at nucleus by immunofluorescent analysis.
Sample: HeLa cells were fixed in 4% PFA at RT for 15 min.
Green: Nuclear Matrix Protein p84 stained by Nuclear Matrix Protein p84 antibody [5E10] (GTX70220) diluted at 1:500.
Red: phalloidin, a cytoskeleton marker, diluted at 1:100.
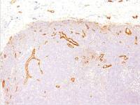
Nuclear Matrix Protein p84 antibody [5E10] detects Nuclear Matrix Protein p84 protein at nucleus by immunohistochemical analysis.
Sample: Paraffin-embedded human lung cancer.
Nuclear Matrix Protein p84 stained by Nuclear Matrix Protein p84 antibody [5E10] (GTX70220) diluted at 1:100.
Antigen Retrieval: Citrate buffer, pH 6.0, 15 min
Detection of human p84/N5 in nuclear fraction by anti-p84/N5 5E10 monoclonal antibody (GTX70220) in western blot experiment. Lane 1: total lysate, Lane 2: cytoplasmic fraction, Lane 3: membrane fraction, Lane 4: nuclear fraction.
Sample (50 μg of whole cell lysate)
A: mouse Cerebellum
7.5% SDS PAGE
GTX70220 diluted at 1:1000
The HRP-conjugated anti-mouse IgG antibody (GTX213111-01) was used to detect the primary antibody.
Sample (whole cell lysate)
A: 293T 20ug
B: 293T 10ug
C: 293T 5ug
7.5% SDS PAGE
GTX70220 diluted at 1:1000
The HRP-conjugated anti-mouse IgG antibody (GTX213111-01) was used to detect the primary antibody.
Sample (30 μg of whole cell lysate)
A: HeLa
B: HeLa nucleus
7.5% SDS PAGE
GTX70220 diluted at 1:1000
The HRP-conjugated anti-mouse IgG antibody (GTX213111-01) was used to detect the primary antibody.
p84 antibody [5E10] immunoprecipitates p84 protein in IP experiments. IP Sample: HepG2 whole cell lysate/extract A : 30 μg whole cell lysate/extract of p84 protein expressing HepG2 cells B : Control with 3 μg of pre-immune mouse IgG C : Immunoprecipitation of p84 by 3 μg of p84 antibody [5E10] (GTX70220) 7.5% SDS-PAGE The immunoprecipitated p84 protein was detected by p84 antibody [5E10] (GTX70220) diluted at 1 : 1000. EasyBlot anti-rabbit IgG (HRP) (GTX221667-01) was used as a secondary reagent.
风险提示:丁香通仅作为第三方平台,为商家信息发布提供平台空间。用户咨询产品时请注意保护个人信息及财产安全,合理判断,谨慎选购商品,商家和用户对交易行为负责。对于医疗器械类产品,请先查证核实企业经营资质和医疗器械产品注册证情况。
文献和实验Marina RJ et al., EMBO J 2016 (PMID:26711177)
Richmond BW et al., Nat Commun 2016 (PMID:27046438)
Wang SM et al., Mol Neurobiol 2015 (PMID:26510742)
Tontonoz P et al., Mol Cell Biol 2015 (PMID:25605333)
Lecona E et al., Mol Cell Biol 2015 (PMID:25605328)
Desai SS et al., J Biol Chem 2015 (PMID:26342078)
Ho SR et al., J Biol Chem 2015 (PMID:26216882)
Biswas A et al., Am J Physiol Cell Physiol 2015 (PMID:26108661)
Pitzonka L et al., Mol Cell Biol 2013 (PMID:23816884)
Lin AE et al., PLoS Pathog 2015 (PMID:25927232)
Zhu J et al., Eur J Med Chem 2015 (PMID:25874343)
Li M et al., Nat Commun 2015 (PMID:25851487)
Aguilar-Arnal L et al., Nat Struct Mol Biol 2015 (PMID:25751424)
Ip JC et al., Biomed Res Int 2015 (PMID:25834829)
Patel JP et al., J Clin Immunol 2015 (PMID:25677497)
Chen Y et al., J Biomed Sci 2014 (PMID:25030234)
Sweet RL et al., Int J Vitam Nutr Res 2013 (PMID:24846908)
Wang JT et al., Cell Rep 2014 (PMID:24746816)
Nakamura K et al., Molecular Genetics & Genomic Medicine 2014 (PMID:25077176)
Eckel-Mahan KL et al., Cell 2013 (PMID:24360271)
Reiling JH et al., Nat Cell Biol 2013 (PMID:24185178)
Haga IR et al., J Virol 2014 (PMID:24429366)
Thomas RL et al., Genes Dev 2013 (PMID:23788623)
Zhu J et al., EMBO Mol Med 2013 (PMID:23341130)
Wei PC et al., Mol Cell 2012 (PMID:23123197)
Ramachandran S et al., RNA 2011 (PMID:21937706)
Chen Y et al., Cell Cycle 2011 (PMID:21301226)
Wang X et al., Mol Cell Biol 2009 (PMID:19307311)
Bhandari R et al., Proc Natl Acad Sci U S A 2008 (PMID:18268345)
Ji Y et al., Mol Cancer Res 2007 (PMID:17951404)
Nini L et al., BMC Biochem 2007 (PMID:17880698)
Mancini A et al., Oncogene 2007 (PMID:16909111)
Wang X et al., Mol Cell Biol 2006 (PMID:16705185)
Li Y et al., Mol Cell Biol 2005 (PMID:15870275)
Gasparri F et al., FEBS Lett 2004 (PMID:15358532)
Sukhodolets KE et al., Mol Cell Biol 2003 (PMID:12509449)
Bounpheng MA et al., Gene 2000 (PMID:10721695)
Sharma M et al., Nanoscale 2013 (PMID:23503581)
Diamant G et al., Cell Rep 2012 (PMID:23041311)
Nini L et al., Endocrine 2012 (PMID:22322946)
Pang TP et al., Mol Cell Endocrinol 2012 (PMID:21872641)
Kanungo J et al., Mol Cell Biochem 2012 (PMID:21833538)
Lee SK et al., Cardiovasc Res 2011 (PMID:21467074)
Wang Y et al., Cancer Res 2011 (PMID:21127195)
Mancini A et al., BMC Biol 2010 (PMID:20051105)
El Bounkari O et al., FEBS Lett 2009 (PMID:19059247)
Yang J et al., Ann Clin Lab Sci 2008 (PMID:18469354)
Byun HS et al., Rheumatology (Oxford) 2008 (PMID:18276737)
Li Y et al., Cancer Res 2007 (PMID:17638875)
Birle DC et al., Cancer Res 2007 (PMID:17308115)
Agarwal SK et al., Proc Natl Acad Sci U S A 2003 (PMID:12960363)
Jaubert J et al., Development 2003 (PMID:12736219)
Sunn KL et al., Mol Endocrinol 2001 (PMID:11518809)
Arimoto KI et al., Nat Commun 2023 (PMID:36646704)
Petrus P et al., Sci Adv 2022 (PMID:35767612)
Justice JL et al., J Virol 2022 (PMID:35389233)
Sato T et al., Sci Rep 2022 (PMID:36056157)
Ballout F et al., J Exp Clin Cancer Res 2022 (PMID:36045416)
Raghavan S et al., Am J Respir Cell Mol Biol 2022 (PMID:34890296)
Chun SK et al., Sci Adv 2022 (PMID:35947664)
Petrus P et al., Mol Metab 2022 (PMID:35914650)
Jyun-Yi Du et al., J Immunol Res . 2022 (PMID:36530573)
Daniel Whisenant et al., Nat Commun 2022 (PMID:35654881)
Carolina Magdalen Greco et al., Sci Adv 2020 (PMID:33328229)
Amika Singla et al., Dis Model Mech 2020 (PMID:33262129)
Xue Chen et al., Elife 2021 (PMID:33526168)
Jessie Kulsuptrakul et al., Cell Rep 2021 (PMID:33730579)
Sheyne Sta Ana Choi et al., Oncol Lett 2021 (PMID:33986873)
Kevin B Koronowski et al., Cell Rep 2021 (PMID:34348140)
Josephine Mun Yee Ko et al., Cancers (Basel) 2021 (PMID:34572942)
Shujun Wang et al., Oxid Med Cell Longev 2022 (PMID:35082964)
Tolchin D et al., Am J Hum Genet 2020 (PMID:32442410)
Hsiao YW et al., Clin Transl Med 2022 (PMID:35090088)
Willmer T et al., Am J Cancer Res 2021 (PMID:34873487)
Greco CM et al., Sci Adv 2021 (PMID:34550736)
Santiago Gonz?lez DA et al., Redox Biol 2021 (PMID:34474395)
Sriramajayam K et al., Redox Biol 2021 (PMID:33887608)
Wang SM et al., Cell Death Discov 2021 (PMID:33436575)
Yu VZ et al., Transl Oncol 2021 (PMID:33395748)
Zhou X et al., Nat Commun 2020 (PMID:33257668)
Lei LC et al., Cancers (Basel) 2020 (PMID:32906798)
Shrestha R et al., Am J Cancer Res 2020 (PMID:32905449)
Treger RS et al., Immunity 2019 (PMID:30709743)
Diep J et al., Nat Microbiol 2019 (PMID:31527793)
Nicholas DA et al., Sci Rep 2020 (PMID:32747664)
Wan R et al., J Neurosci 2020 (PMID:32868463)
Costa-Guda J et al., Horm Cancer 2013 (PMID:23715670)
Deng M et al., Cancers (Basel) 2020 (PMID:32708712)
Ram?rez-Peinado S et al., J Cell Sci 2017 (PMID:28536105)
Kharade SS et al., Endocrinology 2018
Antibody Purification: Affinity Chromatography Protein A and Protein G Sepharose
Affinity chromatography relies on the reversible interaction between a protein and a specific ligand immobilized in a chromatographic matrix. The sample is applied under conditions that favor specific binding to the ligand as the result
Antibody Arrays for Determination of Relative Protein Abundances
methods for protein analyses. We have developed an Antibody Microarray, a chip-based technology for multiparallel determination of relative abundance of hundreds of proteins. The Antibody Microarray is composed of hundreds of distinct monoclonal antibodies
Antibody Production: Activity-Dependent Neuroprotective Protein (ADNP) as an Example
by a secondary antibody horseradish peroxidase conjugated anti-rabbit IgG prepared in goat and developed with ECL. All antibodies recognized intact ADNP in both cytoplasmic and nuclear fractions. This work developed antibodies against ADNP and NAP
技术资料暂无技术资料 索取技术资料







![KLHL25 antibody [C1C3]](https://img1.dxycdn.com/2022/0328/405/1869935123652300453-14.jpg!wh200)
![TXN2 antibody [AT1B1]](https://img1.dxycdn.com/2022/0328/263/8181089359850800453-14.jpg!wh200)

