相关产品推荐更多 >
万千商家帮你免费找货
0 人在求购买到急需产品
- 详细信息
- 文献和实验
- 技术资料
- 免疫原:
BALB/C mice were immunized with crude extract of splenic cells from a nude mouse engrafted with MCF-7 cells.
- 亚型:
IgG1
- 形态:
Liquid
- 保存条件:
Store as concentrated solution. Centrifuge briefly prior to opening vial. Store at 4℃.
- 克隆性:
Monoclonal
- 标记物:
Unconjugated
- 适应物种:
Human
- 保质期:
12 months from the shipping date of the product.
- 抗原来源:
Human
- 目录编号:
GTX73399
- 级别:
Primary Antibodies
- 库存:
Available
- 供应商:
GeneTex
- 宿主:
Mouse
- 应用范围:
IHC-P
- 浓度:
Batch dependent (Please refer to the vial label for the specific concentration.)
- 靶点:
pan Cytokeratin
- 抗体英文名:
pan Cytokeratin antibody [MNF116] (ready-to-use)
- 抗体名:
pan Cytokeratin 抗体 [MNF116] (ready-to-use)
- 规格:
6 ml
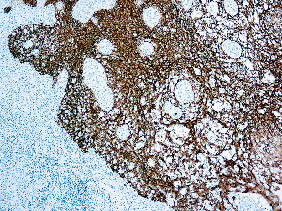
IHC-P analysis of human skin tissue using GTX73399 pan Cytokeratin antibody [MNF116] (ready-to-use).
风险提示:丁香通仅作为第三方平台,为商家信息发布提供平台空间。用户咨询产品时请注意保护个人信息及财产安全,合理判断,谨慎选购商品,商家和用户对交易行为负责。对于医疗器械类产品,请先查证核实企业经营资质和医疗器械产品注册证情况。
文献和实验Ordonez NG et al., Hum Pathol 2013 (PMID:23427873)
上皮及间皮类常用标记抗体EPITHELIAL AND MESOTHELIAL MARKERSCK (MNF 116)- MNF-116 is a pan-cytokeratin antibody.- Source: Dakopatts.- Dilution 1:50.- Antigen retrieval method: HIER (pressure cooking) using EDTA.- Staining pattern: Cytoplasmic, typically
Use of In Vivo Biotinylation for Chromatin Immunoprecipitation
PBS + protease inhibitors, ice cold: dilute 25× protease inhibitor stock (see recipe ) 1:1000 with PBS just before use 1% (w/v) agarose gel (see Voytas
The Effects of NiCl2on Spicule Formation
next week we will stain the labs with Ig8 antibody, an immunofluorescent stain. We will use this stain to identify PCMs and developing spicules. ** We will be usingHytechinus variegatus from the Florida coast. The gametes and embryos can be left at room
技术资料暂无技术资料 索取技术资料






![IKB alpha (phospho Ser36) antibody [GT1298]](https://img1.dxycdn.com/2022/0328/647/3386106260340800453-14.jpg!wh200)
![Myelin basic protein antibody [HL1033]](https://img1.dxycdn.com/2022/0329/259/5451301505088020453-14.jpg!wh200)



