相关产品推荐更多 >
万千商家帮你免费找货
0 人在求购买到急需产品
- 详细信息
- 文献和实验
- 技术资料
- 免疫原:
Amino acids 242-655 of FKHR expressed in E. coli.
- 亚型:
IgG1
- 形态:
Liquid
- 保存条件:
Store as concentrated solution. Centrifuge briefly prior to opening vial. For short-term storage (1-2 weeks), store at 4ºC. For long-term storage, aliquot and store at -20ºC or below. Avoid multiple freeze-thaw cycles.
- 克隆性:
Monoclonal
- 标记物:
Unconjugated
- 适应物种:
Human
- 保质期:
12 months from the shipping date of the product.
- 抗原来源:
Human
- 目录编号:
GTX70193
- 级别:
Primary Antibodies
- 库存:
Available
- 供应商:
GeneTex
- 宿主:
Mouse
- 应用范围:
WB, ICC/IF, IHC-P
- 浓度:
1 mg/ml (Please refer to the vial label for the specific concentration.)
- 靶点:
FOXO1
- 抗体英文名:
FOXO1 antibody [7H3]
- 抗体名:
FOXO1 抗体 [7H3]
- 规格:
100 μl
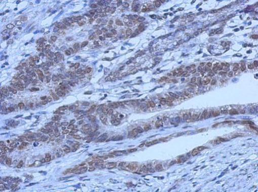
Immunohistochemical analysis of paraffin-embedded Colon ca, using FOXO1(GTX70193) antibody at 1:50 dilution.
Immunofluorescence analysis of PFA-fixed HeLa, using FOXO1(GTX70193) antibody at 1:100 dilution.
风险提示:丁香通仅作为第三方平台,为商家信息发布提供平台空间。用户咨询产品时请注意保护个人信息及财产安全,合理判断,谨慎选购商品,商家和用户对交易行为负责。对于医疗器械类产品,请先查证核实企业经营资质和医疗器械产品注册证情况。
文献和实验Detection of Histone H3 Phosphorylation in Cultured Cells and Tissue Sections by Immunostaining
. The protocol described here allows the detection of phosphorylated histones in tissue-cultured cells and tissue sections by fluorescent or bright-field immunostaining analysis. Here we used a serine 10 specific P-histone H3 antibody to determine
FACS-Based Detection of Phosphorylated Histone H3 for the Quantitation of Mitotic Cells
scanner (FACS) is described, based on the presence of an intranuclear antigen present only in mitotic cells, detected using a specific, commercially available antibody. Cell staining and FACS analysis can be done in a single day, making this a rapid
Mini-Antibody Affinity Chromatography of Lysozyme
Multiple noncovalent forces do play a role in the binding between a protein antigen and an antibody directed against that protein. An antigen is bound by the antigen binding site of an antibody that consists of three hypervariable segments
技术资料暂无技术资料 索取技术资料






![uPAR antibody [HL2169]](https://custom.dxycdn.com/trademd/upload/pic/2013/11/12/A1383891150.jpg!small.t.1)

![Bcl-2 antibody [GT11210]](https://img1.dxycdn.com/2022/0329/285/2351000252795020453-14.jpg!wh200)

