相关产品推荐更多 >
万千商家帮你免费找货
0 人在求购买到急需产品
- 详细信息
- 文献和实验
- 技术资料
- 免疫原:
Full-length recombinant human DNA Ligase I protein
- 亚型:
IgG1
- 形态:
Liquid
- 保存条件:
Store as concentrated solution. Centrifuge briefly prior to opening vial. For short-term storage (1-2 weeks), store at 4ºC. For long-term storage, aliquot and store at -20ºC or below. Avoid multiple freeze-thaw cycles.
- 克隆性:
Monoclonal
- 标记物:
Unconjugated
- 适应物种:
Human, Mouse
- 保质期:
12 months from the shipping date of the product.
- 抗原来源:
Human
- 目录编号:
GTX70141
- 级别:
Primary Antibodies
- 库存:
Available
- 供应商:
GeneTex
- 宿主:
Mouse
- 应用范围:
WB, ICC/IF, IHC-P, IP
- 浓度:
0.5 mg/ml (Please refer to the vial label for the specific concentration.)
- 靶点:
DNA ligase I
- 抗体英文名:
DNA ligase I antibody [10H5]
- 抗体名:
DNA ligase I 抗体 [10H5]
- 规格:
100 μl
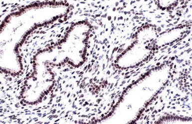
DNA ligase I antibody [10H5] detects DNA ligase I protein at nucleus by immunohistochemical analysis.
Sample: Paraffin-embedded human breast carcinoma.
DNA ligase I stained by DNA ligase I antibody [10H5] (GTX70141) diluted at 1:100.
Antigen Retrieval: Citrate buffer, pH 6.0, 15 min
DNA ligase I antibody [10H5] detects DNA ligase I protein at nucleus by immunofluorescent analysis.
Sample: HeLa cells were fixed in 4% PFA at RT for 15 min.
Green: DNA ligase I stained by DNA ligase I antibody [10H5] (GTX70141) diluted at 1:500.
Red: phalloidin, a cytoskeleton marker, diluted at 1:200.
Scale bar= 10 μm.
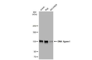
Various whole cell extracts (30 μg) were separated by 5% SDS-PAGE, and the membrane was blotted with DNA ligase I antibody [10H5] (GTX70141) diluted at 1:2000. The HRP-conjugated anti-mouse IgG antibody (GTX213111-01) was used to detect the primary antibody.
风险提示:丁香通仅作为第三方平台,为商家信息发布提供平台空间。用户咨询产品时请注意保护个人信息及财产安全,合理判断,谨慎选购商品,商家和用户对交易行为负责。对于医疗器械类产品,请先查证核实企业经营资质和医疗器械产品注册证情况。
文献和实验J Biol Chem 2007 (PMID: 17561505)
J Cell Physiol 2007 (PMID: 17492771)
Cancer Res 2005 (PMID: 15899791)
Nat Commun 2021 (PMID: 33707452)
Nat Microbiol 2020 (PMID: 32152586)
J Nucleic Acids 2017 (PMID: 28116145)
Nucleic Acids Res 2015 (PMID: 26350212)
PLoS One 2013 (PMID: 23826138)
DNA Repair (Amst) 2010 (PMID: 20006562)
Nucleic Acids Res 2009 (PMID: 19336415)
J Biol Chem 2006 (PMID: 16731526)
DNA Repair (Amst) 2013 (PMID: 23871146)
Nucleic Acids Res 2012 (PMID: 23042675)
Site-Directed Mutagenesis of Antibody-Variable Regions
has an average error rate of 0.8% (6 ,7 ). In this chapter, we described an efficient method for mutagenesis of cloned antibody fragments in which mutant oligonucleotides are utilized to initiate the synthesis of a phosphorothioate nucleotide containing DNA
Electrophoretic Mobility Shift Assays for ProteinDNA Complexes Involved in DNA Repair
damaged by ultraviolet radiation or the anticancer drug cisplatin. Ku, XRCC4/Ligase IV, and DNA–PKcs, which are involved in the repair of DNA double-strand breaks by nonhomologous end joining, assemble in complexes at DNA ends. This chapter
: 1. Prepare Whole Cell Extract. Make sure every solution DOES NOT contain DTT. 2. Add 1 or 2 μl of non-diluted monoclonal antibody (4B4 is better than 10H8 for HSF1) or 1/10 diluted polyclonal antibody to 10 μg of whole cell extract
技术资料暂无技术资料 索取技术资料










